电话:
+86 (0512) 65829739
传真:
+86 (010) 6788 5057
电子邮件:
orders@antibodies-online.cn

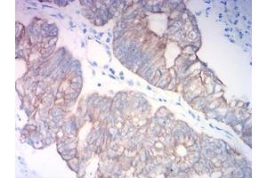
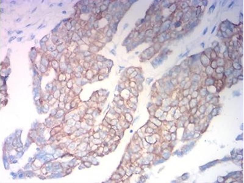
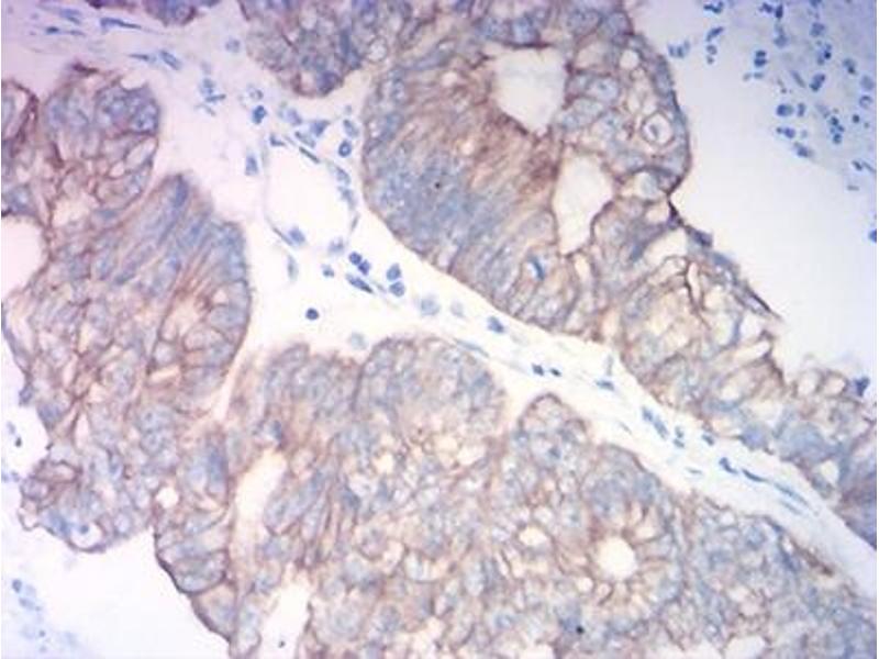
Cytokeratin 18 抗体 (AA 1-150)

This 小鼠 单克隆 antibody specifically detects Cytokeratin 18 in WB, IHC, FACS, ELISA 和 ICC. It exhibits reactivity toward 人.
产品编号 ABIN7193470
发货至: 中国
Contact our Customer Service for availability and price in your country. Contact Info

Our Local Distributor

中国
北京 101111
No. 88 KeChuang 6th Street
Beijing Economic Technological Development Area
Room 801-803
4A Biotech Co.,Ltd.
Tel +86 (0512) 65829739 传真 +86 (010) 6788 5057

Quick Overview for Cytokeratin 18 抗体 (AA 1-150) (ABIN7193470)

抗原

See all Cytokeratin 18 (KRT18) 抗体
Cytokeratin 18 (KRT18) (Keratin 18 (KRT18))

适用

  • 331
  • 165
  • 139
  • 74
  • 65
  • 57
  • 53
  • 49
  • 39
  • 38
  • 34
  • 34
  • 34
  • 19
  • 11
  • 9
  • 7
  • 7
  • 4
  • 3
  • 2
  • 1

宿主

  • 198
  • 170
  • 3
  • 1
  • 1
  • 1
小鼠

克隆类型

  • 230
  • 141
  • 3
单克隆

标记

  • 184
  • 32
  • 22
  • 10
  • 6
  • 6
  • 6
  • 6
  • 6
  • 6
  • 5
  • 5
  • 5
  • 5
  • 5
  • 5
  • 5
  • 4
  • 4
  • 4
  • 4
  • 4
  • 4
  • 4
  • 4
  • 4
  • 4
  • 4
  • 2
  • 2
  • 2
  • 1
  • 1
  • 1
  • 1
  • 1
  • 1
This Cytokeratin 18 antibody is un-conjugated

应用范围

  • 312
  • 193
  • 129
  • 126
  • 80
  • 78
  • 60
  • 54
  • 47
  • 43
  • 33
  • 31
  • 13
  • 8
  • 7
  • 6
  • 5
  • 4
  • 2
  • 1
  • 1
Western Blotting (WB), Immunohistochemistry (IHC), Flow Cytometry (FACS), ELISA, Immunocytochemistry (ICC)

克隆位点

6G12F2
  • 抗原表位

    • 26
    • 16
    • 15
    • 14
    • 13
    • 13
    • 8
    • 6
    • 6
    • 5
    • 4
    • 2
    • 2
    • 2
    • 2
    • 2
    • 2
    • 2
    • 2
    • 2
    • 2
    • 2
    • 1
    • 1
    • 1
    • 1
    • 1
    • 1
    • 1
    • 1
    • 1
    • 1
    • 1
    • 1
    • 1
    • 1
    • 1
    • 1
    • 1
    • 1
    • 1
    • 1
    AA 1-150

    原理

    KRT18 Antibody

    纯化方法

    Purified antibody

    免疫原

    Purified recombinant fragment of human KRT18 (AA: 1-150) expressed in E. Coli.

    亚型

    IgG1
  • 应用备注

    ELISA: 1/10000

    FCM: 1/200 - 1/400

    ICC: 1/500 - 1/2000

    限制

    仅限研究用
  • 状态

    Liquid

    缓冲液

    Purified antibody in PBS with 0.05 % sodium azide.

    储存液

    Sodium azide

    注意事项

    This product contains Sodium azide: a POISONOUS AND HAZARDOUS SUBSTANCE which should be handled by trained staff only.

    储存条件

    4 °C,-20 °C

    储存方法

    Store at 4°C short term. Aliquot and store at -20°C long term. Avoid freeze/thaw cycles.
  • 抗原

    Cytokeratin 18 (KRT18) (Keratin 18 (KRT18))

    别名

    KRT18

    背景

    KRT18 encodes the type I intermediate filament chain keratin 18. Keratin 18, together with its filament partner keratin 8, are perhaps the most commonly found members of the intermediate filament gene family. They are expressed in single layer epithelial tissues of the body. Mutations in this gene have been linked to cryptogenic cirrhosis. Two transcript variants encoding the same protein have been found for this gene. [provided by RefSeq, Jul 2008]

    分子量

    48 kDa

    基因ID

    3875

    UniProt

    P05783

    途径

    Apoptosis, Caspase Cascade in Apoptosis
You are here: