电话:
+86 (0512) 65829739
传真:
+86 (010) 6788 5057
电子邮件:
orders@antibodies-online.cn

FGFR4 抗体

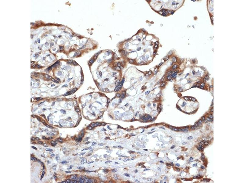
The 兔 单克隆 anti-FGFR4 antibody is suitable to detect FGFR4 in samples from 人. It has been validated for WB 和 IHC.
产品编号 ABIN7267193
发货至: 中国
Contact our Customer Service for availability and price in your country. Contact Info

Our Local Distributor

中国
北京 101111
No. 88 KeChuang 6th Street
Beijing Economic Technological Development Area
Room 801-803
4A Biotech Co.,Ltd.
Tel +86 (0512) 65829739 传真 +86 (010) 6788 5057

Quick Overview for FGFR4 抗体 (ABIN7267193)

抗原

See all FGFR4 抗体
FGFR4 (Fibroblast Growth Factor Receptor 4 (FGFR4))

适用

  • 100
  • 45
  • 33
  • 2
  • 1

宿主

  • 71
  • 24
  • 6
  • 4

克隆类型

  • 65
  • 36
  • 2
单克隆

标记

  • 53
  • 9
  • 8
  • 6
  • 4
  • 4
  • 2
  • 1
  • 1
  • 1
  • 1
  • 1
  • 1
  • 1
  • 1
  • 1
  • 1
  • 1
  • 1
  • 1
  • 1
  • 1
  • 1
  • 1
This FGFR4 antibody is un-conjugated

应用范围

  • 52
  • 39
  • 23
  • 20
  • 13
  • 13
  • 11
  • 9
  • 7
  • 4
  • 3
  • 2
  • 1
  • 1
  • 1
  • 1
  • 1
  • 1
  • 1
Western Blotting (WB), Immunohistochemistry (IHC)
  • 原理

    FGFR4 Rabbit mAb

    交叉反应

    人, 小鼠

    产品特性

    Monoclonal Antibodies

    纯化方法

    Affinity purification

    免疫原

    A synthesized peptide derived from human FGFR4

    亚型

    IgG
  • 应用备注

    WB,1:500 - 1:2000,IHC,1:50 - 1:200

    限制

    仅限研究用
  • 状态

    Liquid

    缓冲液

    PBS with 0.02 % sodium azide,0.05 % BSA,50 % glycerol, pH 7.3.

    储存液

    Sodium azide

    注意事项

    This product contains Sodium azide: a POISONOUS AND HAZARDOUS SUBSTANCE which should be handled by trained staff only.

    储存条件

    -20 °C

    储存方法

    Store at -20°C. Avoid freeze / thaw cycles.
  • 抗原

    FGFR4 (Fibroblast Growth Factor Receptor 4 (FGFR4))

    别名

    FGFR4

    背景

    The protein encoded by this gene is a member of the fibroblast growth factor receptor family, where amino acid sequence is highly conserved between members and throughout evolution. FGFR family members differ from one another in their ligand affinities and tissue distribution. A full-length representative protein would consist of an extracellular region, composed of three immunoglobulin-like domains, a single hydrophobic membrane-spanning segment and a cytoplasmic tyrosine kinase domain. The extracellular portion of the protein interacts with fibroblast growth factors, setting in motion a cascade of downstream signals, ultimately influencing mitogenesis and differentiation. The genomic organization of this gene, compared to members 1-3, encompasses 18 exons rather than 19 or 20. Although alternative splicing has been observed, there is no evidence that the C-terminal half of the IgIII domain of this protein varies between three alternate forms, as indicated for members 1-3. This particular family member preferentially binds acidic fibroblast growth factor and, although its specific function is unknown, it is overexpressed in gynecological tumor samples, suggesting a role in breast and ovarian tumorigenesis. [provided by RefSeq, Jul 2008],CD334, JTK2, TKF,Angiogenesis,Cancer,Cardiovascular,CDs,Cell Biology & Developmental Biology,Cell Type Marker,Cell Type Marker_Neural Stem Cell marker,ESC Pluripotency and Differentiation,Growth factors,Immunology & Inflammation,Kinase,Kinase_Tyrosine kinases,Neural Stem Cells,Neuroscience,Signal Transduction,Stem Cells,FGFR4

    分子量

    88kDa

    基因ID

    2264

    UniProt

    P22455

    途径

    RTK signaling, Fc-epsilon Receptor Signaling Pathway, EGFR Signaling Pathway, Neurotrophin Signaling Pathway, Carbohydrate Homeostasis, Growth Factor Binding
You are here: