电话:
+86 (0512) 65829739
传真:
+86 (010) 6788 5057
电子邮件:
orders@antibodies-online.cn

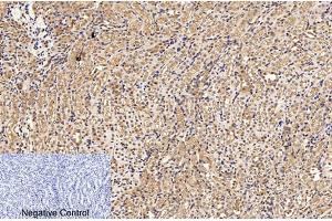
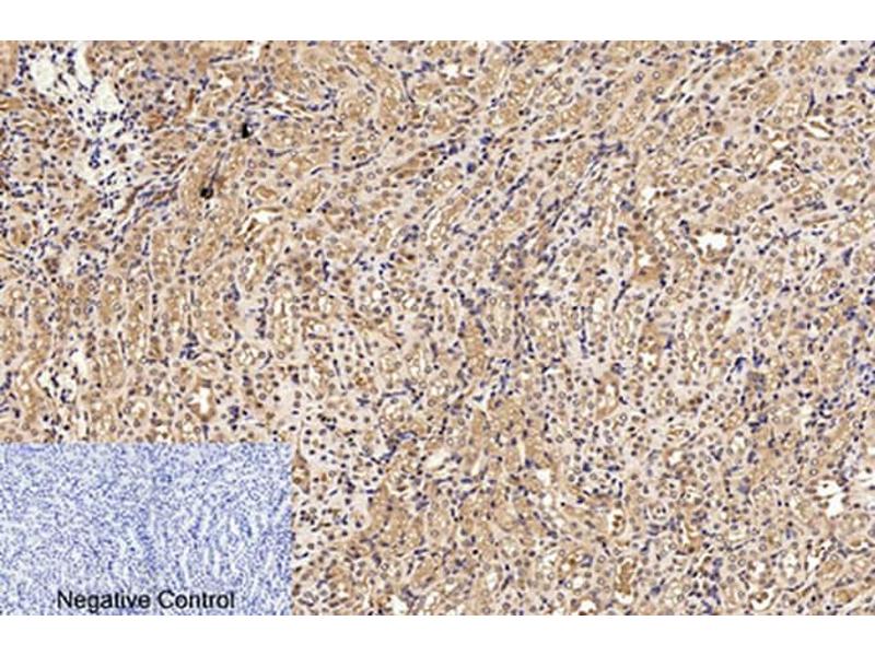
PARP1 抗体 (Cleaved-Asp214)

The 兔 多克隆 anti-PARP1 antibody (ABIN7208149) specifically detects PARP1 in WB, ELISA, IF 和 IHC (p). The antibody is reactive with 人 和 小鼠 samples.
产品编号 ABIN7208149
发货至: 中国
Contact our Customer Service for availability and price in your country. Contact Info

Our Local Distributor

中国
北京 101111
No. 88 KeChuang 6th Street
Beijing Economic Technological Development Area
Room 801-803
4A Biotech Co.,Ltd.
Tel +86 (0512) 65829739 传真 +86 (010) 6788 5057

Quick Overview for PARP1 抗体 (Cleaved-Asp214) (ABIN7208149)

抗原

See all PARP1 抗体
PARP1 (Poly (ADP-Ribose) Polymerase 1 (PARP1))

适用

  • 266
  • 87
  • 75
  • 9
  • 6
  • 5
  • 4
  • 4
  • 4
  • 4
  • 3
  • 3
  • 2
  • 1
  • 1
人, 小鼠

宿主

  • 254
  • 31
  • 1

克隆类型

  • 196
  • 90
多克隆

标记

  • 145
  • 20
  • 15
  • 14
  • 13
  • 13
  • 6
  • 6
  • 6
  • 6
  • 6
  • 6
  • 4
  • 4
  • 2
  • 2
  • 2
  • 2
  • 2
  • 2
  • 2
  • 2
  • 2
  • 2
  • 2
This PARP1 antibody is un-conjugated

应用范围

  • 202
  • 110
  • 72
  • 67
  • 63
  • 63
  • 61
  • 36
  • 27
  • 17
  • 17
  • 7
  • 6
  • 4
  • 3
  • 2
  • 1
  • 1
Western Blotting (WB), ELISA, Immunofluorescence (IF), Immunohistochemistry (Paraffin-embedded Sections) (IHC (p))
  • 抗原表位

    • 32
    • 16
    • 15
    • 15
    • 8
    • 7
    • 7
    • 7
    • 7
    • 7
    • 7
    • 7
    • 7
    • 7
    • 7
    • 7
    • 6
    • 6
    • 5
    • 5
    • 5
    • 4
    • 4
    • 4
    • 3
    • 3
    • 3
    • 3
    • 3
    • 2
    • 2
    • 2
    • 2
    • 1
    • 1
    • 1
    • 1
    • 1
    • 1
    • 1
    • 1
    • 1
    • 1
    • 1
    • 1
    • 1
    • 1
    • 1
    • 1
    • 1
    AA 140-220, Cleaved-Asp214

    原理

    Cleaved-PARP-1 (D214) Polyclonal Antibody

    特异性

    Cleaved-PARP-1 (D214) Polyclonal Antibody detects endogenous levels of fragment of activated PARP-1 protein resulting from cleavage adjacent to D214.

    纯化方法

    The antibody was affinity-purified from rabbit antiserum by affinity-chromatography using epitope-specific immunogen

    免疫原

    Synthesized peptide derived from the Internal region of human PARP-1 at AA range: 140-220

    亚型

    IgG
  • 应用备注

    Optimal working dilutions should be determined experimentally by the investigator. Suggested starting dilutions are as follows: WB (1:500-1:2000), IF (1:50-1:300), IHC-P (1:50-1:300), ELISA (1:20000). Not yet tested in other applications.

    限制

    仅限研究用
  • 状态

    Liquid

    浓度

    1 mg/mL

    缓冲液

    PBS containing 50 % Glycerol, 0.5 % BSA and 0.02 % Sodium Azide.

    储存液

    Sodium azide

    注意事项

    This product contains Sodium azide: a POISONOUS AND HAZARDOUS SUBSTANCE which should be handled by trained staff only.

    储存条件

    -20 °C

    储存方法

    Stable for one year at -20°C from date of shipment. For maximum recovery of product, centrifuge the original vial after thawing and prior to removing the cap. Aliquot to avoid repeated freezing and thawing.
  • 抗原

    PARP1 (Poly (ADP-Ribose) Polymerase 1 (PARP1))

    别名

    PARP-1

    背景

    Rabbit Anti-Cleaved-PARP-1 (D214) Polyclonal Antibody,PARP1, ADPRT, PPOL, Poly [ADP-ribose] polymerase 1, PARP-1, ADP-ribosyltransferase diphtheria toxin-like 1, ARTD1, NAD(+) ADP-ribosyltransferase 1, ADPRT 1, Poly[ADP-ribose] synthase 1,PARP1 encodes a chromatin-associated enzyme, poly(ADP-ribosyl)transferase, which modifies various nuclear proteins by poly(ADP-ribosyl)ation. The modification is dependent on DNA and is involved in the regulation of various important cellular processes such as differentiation, proliferation, and tumor transformation and also in the regulation of the molecular events involved in the recovery of cell from DNA damage. In addition, poly(ADP-ribose) polymerase 1 may be the site of mutation in Fanconi anemia, and may participate in the pathophysiology of type I diabetes.,Poly [ADP-ribose] polymerase 1

    基因ID

    142

    UniProt

    P09874

    途径

    Apoptosis, Caspase Cascade in Apoptosis, DNA Damage Repair, Production of Molecular Mediator of Immune Response, Maintenance of Protein Location
You are here: