电话:
+86 (0512) 65829739
传真:
+86 (010) 6788 5057
电子邮件:
orders@antibodies-online.cn

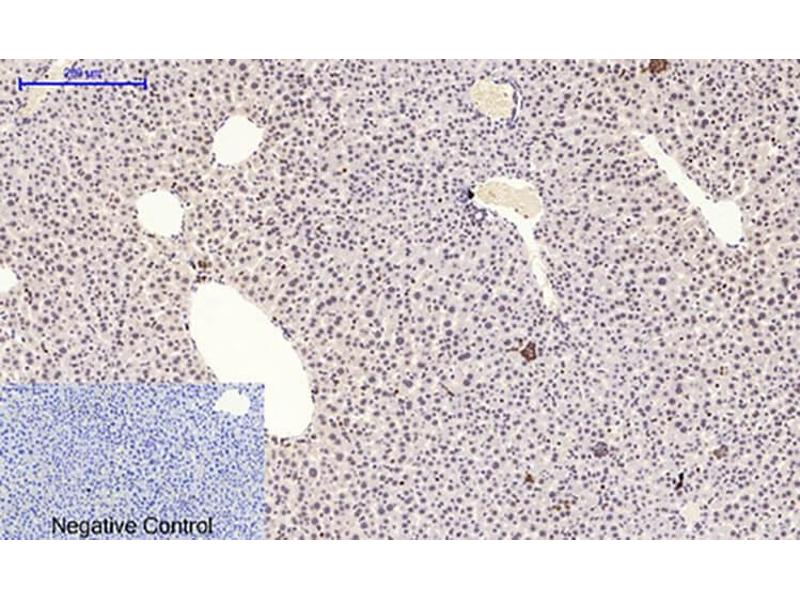
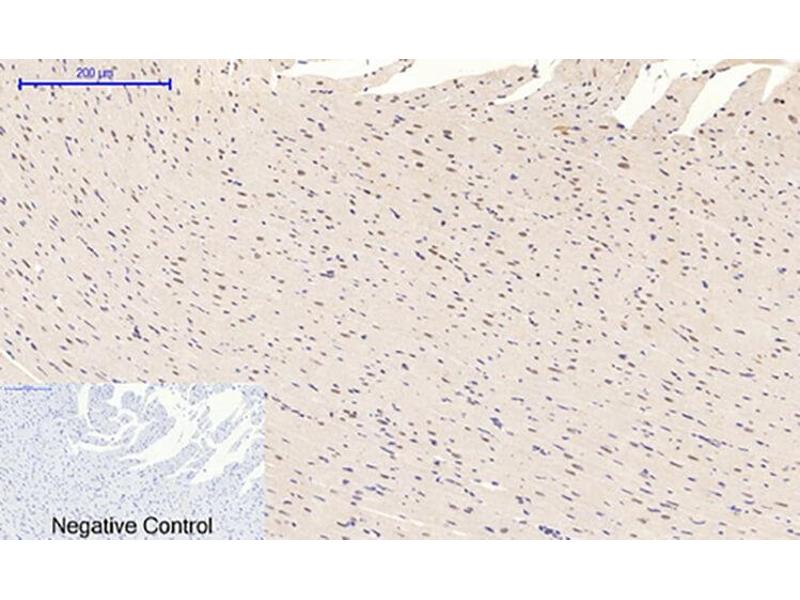
MAPK14 抗体 (pThr180)

The 兔 多克隆 anti-MAPK14 antibody is suitable to detect MAPK14 in samples from 人, 小鼠, 大鼠 和 豚鼠. It has been validated for WB, ELISA, IF 和 IHC (p).
产品编号 ABIN7206474
发货至: 中国
Contact our Customer Service for availability and price in your country. Contact Info

Our Local Distributor

中国
北京 101111
No. 88 KeChuang 6th Street
Beijing Economic Technological Development Area
Room 801-803
4A Biotech Co.,Ltd.
Tel +86 (0512) 65829739 传真 +86 (010) 6788 5057

Quick Overview for MAPK14 抗体 (pThr180) (ABIN7206474)

抗原

See all MAPK14 抗体
MAPK14 (Mitogen-Activated Protein Kinase 14 (MAPK14))

适用

  • 280
  • 183
  • 173
  • 29
  • 25
  • 24
  • 16
  • 15
  • 14
  • 13
  • 9
  • 7
  • 6
  • 4
  • 3
  • 3
  • 2
  • 1
  • 1
  • 1
  • 1
  • 1
人, 小鼠, 大鼠, 豚鼠

宿主

  • 238
  • 44
  • 2
  • 2

克隆类型

  • 191
  • 97
多克隆

标记

  • 154
  • 14
  • 10
  • 7
  • 7
  • 6
  • 6
  • 6
  • 6
  • 6
  • 6
  • 5
  • 3
  • 3
  • 3
  • 3
  • 3
  • 3
  • 3
  • 3
  • 3
  • 3
  • 3
  • 3
  • 3
  • 2
  • 2
  • 2
  • 2
  • 1
  • 1
  • 1
  • 1
  • 1
  • 1
  • 1
  • 1
This MAPK14 antibody is un-conjugated

应用范围

  • 226
  • 105
  • 94
  • 66
  • 62
  • 54
  • 51
  • 42
  • 28
  • 23
  • 10
  • 10
  • 9
  • 5
  • 4
  • 2
  • 2
  • 2
  • 2
  • 1
  • 1
  • 1
  • 1
  • 1
  • 1
Western Blotting (WB), ELISA, Immunofluorescence (IF), Immunohistochemistry (Paraffin-embedded Sections) (IHC (p))
  • 抗原表位

    • 43
    • 35
    • 18
    • 16
    • 15
    • 7
    • 6
    • 6
    • 5
    • 5
    • 5
    • 4
    • 4
    • 4
    • 3
    • 2
    • 2
    • 2
    • 2
    • 2
    • 2
    • 2
    • 2
    • 2
    • 2
    • 2
    • 2
    • 2
    • 1
    • 1
    • 1
    • 1
    • 1
    • 1
    • 1
    • 1
    • 1
    • 1
    • 1
    • 1
    • 1
    • 1
    • 1
    • 1
    • 1
    • 1
    • 1
    • 1
    • 1
    pThr180

    原理

    p38 (phospho Thr180/Y182) Polyclonal Antibody

    特异性

    Phospho-p38 (T180/Y182) Polyclonal Antibody detects endogenous levels of p38 protein only when phosphorylated at T180/Y182.

    纯化方法

    The antibody was affinity-purified from rabbit antiserum by affinity-chromatography using epitope-specific immunogen

    免疫原

    Synthesized peptide derived from human p38 Phospho-Thr180/Y182

    亚型

    IgG
  • 应用备注

    Optimal working dilutions should be determined experimentally by the investigator. Suggested starting dilutions are as follows: WB (1:500-1:2000), IF (1:50-1:200), IHC-P (1:100-1:300), ELISA (1:5000). Not yet tested in other applications.

    限制

    仅限研究用
  • 状态

    Liquid

    浓度

    1 mg/mL

    缓冲液

    PBS containing 50 % Glycerol, 0.5 % BSA and 0.02 % Sodium Azide.

    储存液

    Sodium azide

    注意事项

    This product contains Sodium azide: a POISONOUS AND HAZARDOUS SUBSTANCE which should be handled by trained staff only.

    储存条件

    -20 °C

    储存方法

    Stable for one year at -20°C from date of shipment. For maximum recovery of product, centrifuge the original vial after thawing and prior to removing the cap. Aliquot to avoid repeated freezing and thawing.
  • 抗原

    MAPK14 (Mitogen-Activated Protein Kinase 14 (MAPK14))

    别名

    p38

    背景

    Rabbit Anti-p38 (phospho Thr180/Y182) Polyclonal Antibody,MAPK14, CSBP, CSBP1, CSBP2, CSPB1, MXI2, SAPK2A, Mitogen-activated protein kinase 14, MAP kinase 14, MAPK 14, Cytokine suppressive anti-inflammatory drug-binding protein, CSAID-binding protein, CSBP, MAP kinase MXI2, MAX-interacting protein,Mitogen-activated protein kinase 14 encoded by MAPK14 is a member of the MAP kinase family. MAP kinases act as an integration point for multiple biochemical signals, and are involved in a wide variety of cellular processes such as proliferation, differentiation, transcription regulation and development. Mitogen-activated protein kinase 14 is activated by various environmental stresses and proinflammatory cytokines. The activation requires its phosphorylation by MAP kinase kinases (MKKs), or its autophosphorylation triggered by the interaction of MAP3K7IP1/TAB1 protein with mitogen-activated protein kinase 14.The substrates of mitogen-activated protein kinase 14 include transcription regulator ATF2, MEF2C, and MAX, cell cycle regulator CDC25B, and tumor suppressor p53, which suggest the roles of mitogen-activated protein kinase 14 in stress related transcription and cell cycle regulation, as well as in genotoxic stress response. Four alternatively spliced transcript variants of MAPK14 encoding distinct isoforms have been reported.,Mitogen-activated protein kinase 14

    基因ID

    1432

    UniProt

    Q16539

    途径

    MAPK Pathway, Neurotrophin Signaling Pathway, Activation of Innate immune Response, Cellular Response to Molecule of Bacterial Origin, Regulation of Muscle Cell Differentiation, Regulation of Cell Size, Hepatitis C, Toll-Like Receptors Cascades, Autophagy, Thromboxane A2 Receptor Signaling, BCR Signaling, S100 Proteins
You are here: