电话:
+86 (0512) 65829739
传真:
+86 (010) 6788 5057
电子邮件:
orders@antibodies-online.cn

IL-8 抗体 (C-Term)

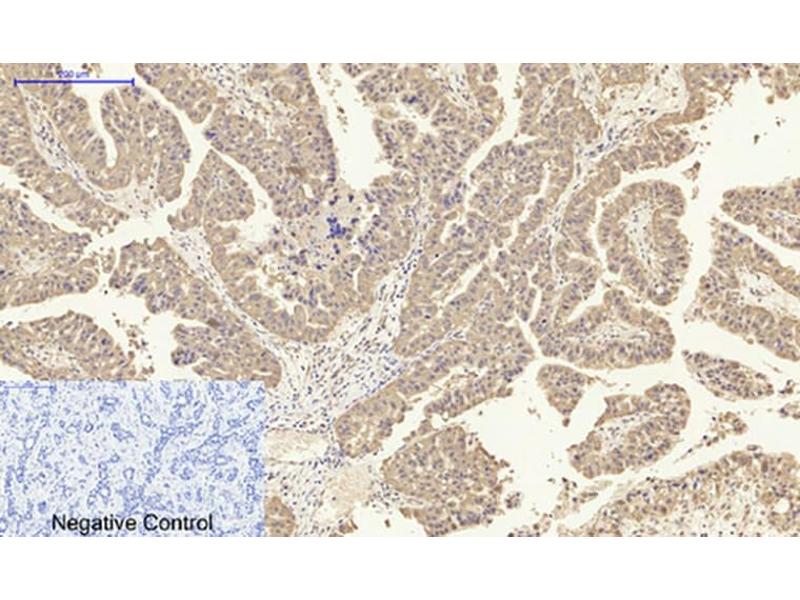
This 兔 多克隆 antibody specifically detects IL-8 in WB, ELISA, IF 和 IHC (p). It exhibits reactivity toward 人.
产品编号 ABIN7205561
发货至: 中国
Contact our Customer Service for availability and price in your country. Contact Info

Our Local Distributor

中国
北京 101111
No. 88 KeChuang 6th Street
Beijing Economic Technological Development Area
Room 801-803
4A Biotech Co.,Ltd.
Tel +86 (0512) 65829739 传真 +86 (010) 6788 5057

Quick Overview for IL-8 抗体 (C-Term) (ABIN7205561)

抗原

See all IL-8 (IL8) 抗体
IL-8 (IL8) (Interleukin 8 (IL8))

适用

  • 138
  • 23
  • 17
  • 14
  • 14
  • 11
  • 10
  • 10
  • 9
  • 7
  • 4
  • 4
  • 4
  • 4
  • 3
  • 1

宿主

  • 129
  • 100
  • 8
  • 4
  • 4
  • 3
  • 2
  • 1

克隆类型

  • 140
  • 109
  • 2
多克隆

标记

  • 137
  • 47
  • 29
  • 10
  • 6
  • 5
  • 2
  • 2
  • 2
  • 2
  • 2
  • 2
  • 2
  • 2
  • 2
This IL-8 antibody is un-conjugated

应用范围

  • 167
  • 99
  • 91
  • 49
  • 47
  • 22
  • 16
  • 15
  • 14
  • 13
  • 11
  • 8
  • 8
  • 4
  • 3
  • 2
  • 2
  • 2
  • 2
  • 2
  • 2
  • 2
  • 2
  • 2
  • 1
  • 1
  • 1
  • 1
  • 1
Western Blotting (WB), ELISA, Immunofluorescence (IF), Immunohistochemistry (Paraffin-embedded Sections) (IHC (p))
  • 抗原表位

    • 49
    • 17
    • 8
    • 6
    • 6
    • 6
    • 6
    • 5
    • 3
    • 2
    • 2
    • 1
    • 1
    • 1
    • 1
    • 1
    • 1
    C-Term

    原理

    IL-8 Polyclonal Antibody

    特异性

    IL-8 Polyclonal Antibody detects endogenous levels of IL-8 protein.

    纯化方法

    The antibody was affinity-purified from rabbit antiserum by affinity-chromatography using epitope-specific immunogen

    免疫原

    Synthesized peptide derived from the C-terminal region of human IL-8

    亚型

    IgG
  • 应用备注

    Optimal working dilutions should be determined experimentally by the investigator. Suggested starting dilutions are as follows: WB (1:500-1:2000), IF (1:50-1:200), IHC-P (1:100-1:300), ELISA (1:20000). Not yet tested in other applications.

    限制

    仅限研究用
  • 状态

    Liquid

    浓度

    1 mg/mL

    缓冲液

    PBS containing 50 % Glycerol, 0.5 % BSA and 0.02 % Sodium Azide.

    储存液

    Sodium azide

    注意事项

    This product contains Sodium azide: a POISONOUS AND HAZARDOUS SUBSTANCE which should be handled by trained staff only.

    储存条件

    -20 °C

    储存方法

    Stable for one year at -20°C from date of shipment. For maximum recovery of product, centrifuge the original vial after thawing and prior to removing the cap. Aliquot to avoid repeated freezing and thawing.
  • 抗原

    IL-8 (IL8) (Interleukin 8 (IL8))

    别名

    IL-8

    背景

    Rabbit Anti-IL-8 Polyclonal Antibody,IL8, CXCL8, Interleukin-8, IL-8, C-X-C motif chemokine 8, Emoctakin, Granulocyte chemotactic protein 1, GCP-1, Monocyte-derived neutrophil chemotactic factor, MDNCF,Monocyte-derived neutrophil-activating peptide, MONAP, Neutrophil-activating protein 1, NAP-1, Protein 3-10C, T-cell chemotactic factor,Interleukin-8 encoded by CXCL8 is a member of the CXC chemokine family. This chemokine is one of the major mediators of the inflammatory response. This chemokine is secreted by several cell types. It functions as a chemoattractant, and is also a potent angiogenic factor. This gene is believed to play a role in the pathogenesis of bronchiolitis, a common respiratory tract disease caused by viral infection. This gene and other ten members of the CXC chemokine gene family form a chemokine gene cluster in a region mapped to chromosome 4q.,Interleukin-8

    基因ID

    3576

    UniProt

    P10145

    途径

    TLR signaling, Cellular Response to Molecule of Bacterial Origin, Regulation of G-Protein Coupled Receptor Protein Signaling, ER-Nucleus Signaling, Hepatitis C, Autophagy
You are here: