电话:
+86 (0512) 65829739
传真:
+86 (010) 6788 5057
电子邮件:
orders@antibodies-online.cn

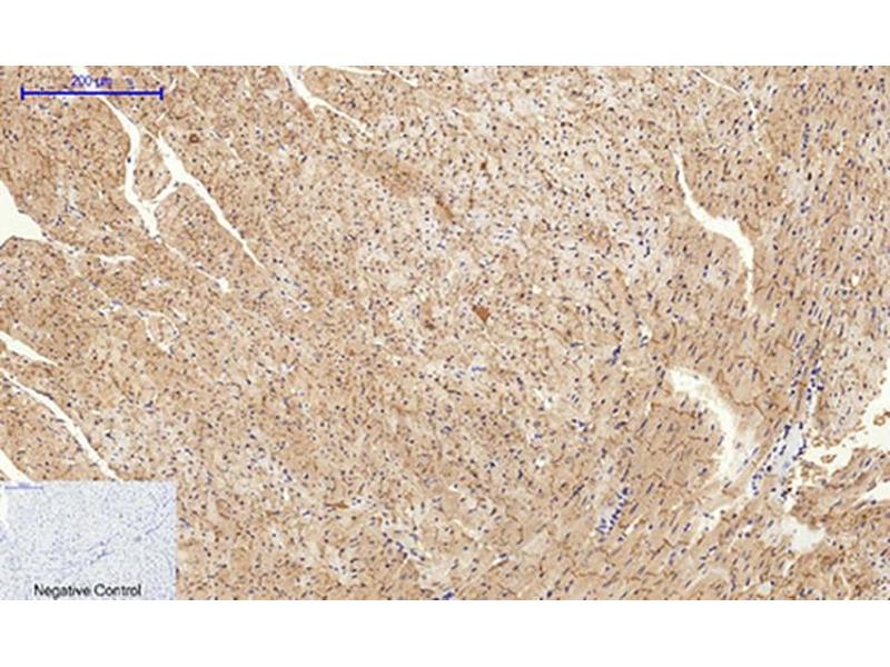
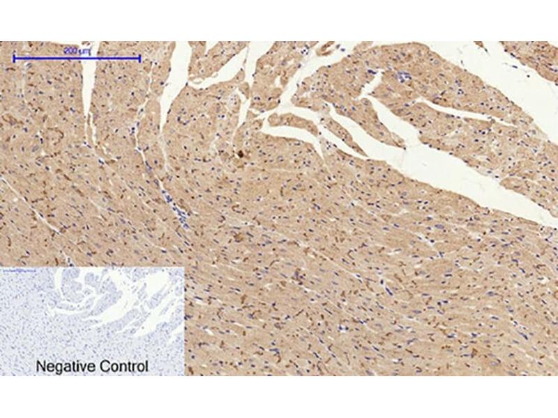
Connexin 43/GJA1 抗体 (AA 310-390)

The 兔 多克隆 anti-Connexin 43/GJA1 antibody is suitable to detect Connexin 43/GJA1 in samples from 人, 小鼠 和 大鼠. It has been validated for WB, ELISA, IF 和 IHC (p).
产品编号 ABIN7204290
发货至: 中国
Contact our Customer Service for availability and price in your country. Contact Info

Our Local Distributor

中国
北京 101111
No. 88 KeChuang 6th Street
Beijing Economic Technological Development Area
Room 801-803
4A Biotech Co.,Ltd.
Tel +86 (0512) 65829739 传真 +86 (010) 6788 5057

Quick Overview for Connexin 43/GJA1 抗体 (AA 310-390) (ABIN7204290)

抗原

See all Connexin 43/GJA1 (GJA1) 抗体
Connexin 43/GJA1 (GJA1) (Gap Junction Protein, alpha 1, 43kDa (GJA1))

适用

  • 133
  • 89
  • 86
  • 31
  • 11
  • 10
  • 8
  • 8
  • 8
  • 7
  • 6
  • 4
  • 4
  • 3
  • 2
  • 2
  • 2
  • 1
  • 1
  • 1
  • 1
  • 1
  • 1
  • 1
  • 1
人, 小鼠, 大鼠

宿主

  • 132
  • 8
  • 3
  • 1
  • 1

克隆类型

  • 134
  • 10
多克隆

标记

  • 89
  • 6
  • 4
  • 4
  • 4
  • 4
  • 4
  • 4
  • 3
  • 2
  • 2
  • 2
  • 2
  • 2
  • 2
  • 1
  • 1
  • 1
  • 1
  • 1
  • 1
  • 1
  • 1
  • 1
  • 1
  • 1
This Connexin 43/GJA1 antibody is un-conjugated

应用范围

  • 100
  • 56
  • 54
  • 23
  • 22
  • 17
  • 13
  • 13
  • 11
  • 11
  • 7
  • 4
  • 2
  • 2
  • 1
  • 1
Western Blotting (WB), ELISA, Immunofluorescence (IF), Immunohistochemistry (Paraffin-embedded Sections) (IHC (p))
  • 抗原表位

    • 19
    • 16
    • 11
    • 8
    • 8
    • 8
    • 7
    • 7
    • 7
    • 4
    • 3
    • 3
    • 3
    • 3
    • 2
    • 2
    • 2
    • 2
    • 2
    • 2
    • 2
    • 1
    • 1
    • 1
    • 1
    • 1
    • 1
    • 1
    • 1
    • 1
    • 1
    • 1
    • 1
    • 1
    • 1
    • 1
    • 1
    • 1
    • 1
    AA 310-390

    原理

    Connexin 43 Polyclonal Antibody

    特异性

    Connexin 43 Polyclonal Antibody detects endogenous levels of Connexin 43 protein.

    纯化方法

    The antibody was affinity-purified from rabbit antiserum by affinity-chromatography using epitope-specific immunogen

    免疫原

    Synthesized peptide derived from the C-terminal region of human Connexin 43 at AA range: 310-390

    亚型

    IgG
  • 应用备注

    Optimal working dilutions should be determined experimentally by the investigator. Suggested starting dilutions are as follows: WB (1:500-1:2000), IF (1:200-1:1000), IHC-P (1:100-1:300), ELISA (1:10000). Not yet tested in other applications.

    限制

    仅限研究用
  • 状态

    Liquid

    浓度

    1 mg/mL

    缓冲液

    PBS containing 50 % Glycerol, 0.5 % BSA and 0.02 % Sodium Azide.

    储存液

    Sodium azide

    注意事项

    This product contains Sodium azide: a POISONOUS AND HAZARDOUS SUBSTANCE which should be handled by trained staff only.

    储存条件

    -20 °C

    储存方法

    Stable for one year at -20°C from date of shipment. For maximum recovery of product, centrifuge the original vial after thawing and prior to removing the cap. Aliquot to avoid repeated freezing and thawing.
  • 抗原

    Connexin 43/GJA1 (GJA1) (Gap Junction Protein, alpha 1, 43kDa (GJA1))

    别名

    Connexin 43

    背景

    Rabbit Anti-Connexin 43 Polyclonal Antibody,GJA1, GJAL, Gap junction alpha-1 protein, Connexin-43, Cx43, Gap junction 43 kDa heart protein,GJA1 is a member of the connexin gene family. Gap junction protein alpha 1 is a component of gap junctions, which are composed of arrays of intercellular channels that provide a route for the diffusion of low molecular weight materials from cell to cell. Gap junction protein alpha 1 is the major protein of gap junctions in the heart that are thought to have a crucial role in the synchronized contraction of the heart and in embryonic development. A related intronless pseudogene has been mapped to chromosome 5. Mutations in GJA1 have been associated with oculodentodigital dysplasia, autosomal recessive craniometaphyseal dysplasia and heart malformations.,Gap junction alpha-1 protein

    基因ID

    2697

    UniProt

    P17302

    途径

    MAPK Pathway, Myometrial Relaxation and Contraction, Cell-Cell Junction Organization
You are here: