电话:
+86 (0512) 65829739
传真:
+86 (010) 6788 5057
电子邮件:
orders@antibodies-online.cn

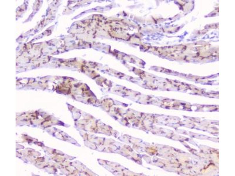
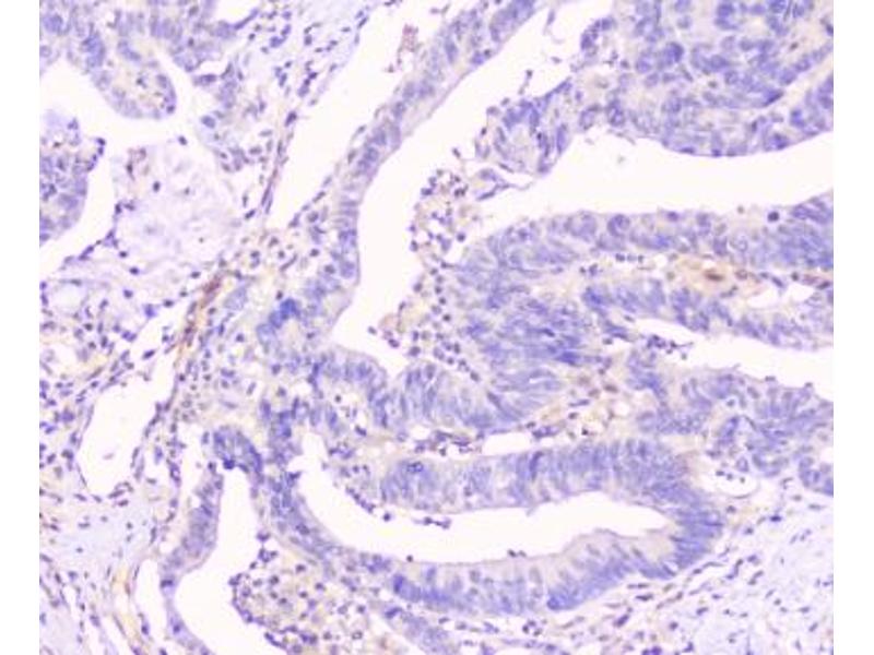
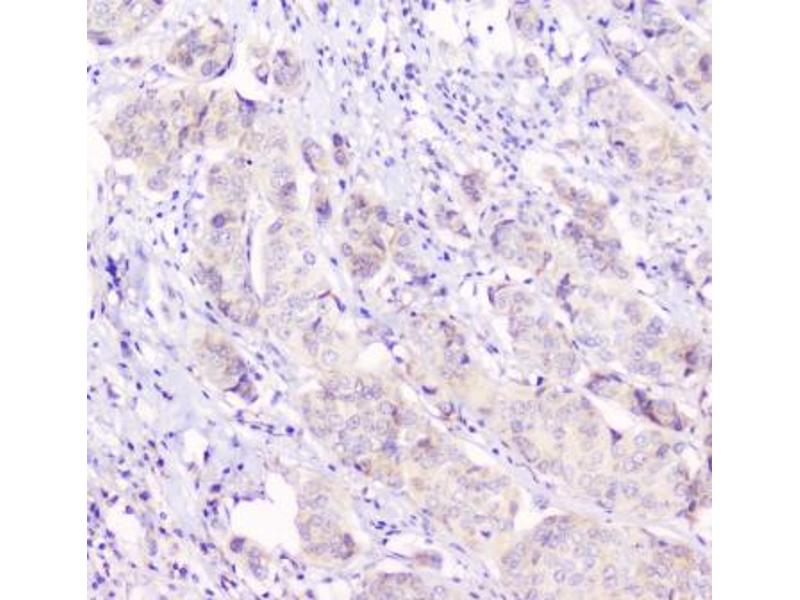
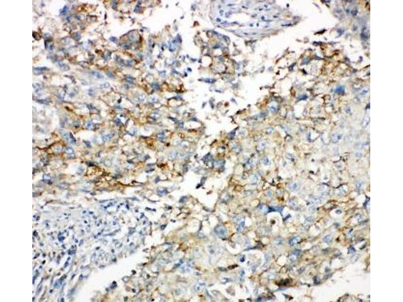
Connexin 43/GJA1 抗体 (AA 351-367)

The 兔 多克隆 anti-Connexin 43/GJA1 antibody is suitable to detect Connexin 43/GJA1 in samples from 人, 小鼠 和 大鼠. It has been validated for WB, IHC (p), ICC 和 IHC (fro).
产品编号 ABIN3031019
发货至: 中国
Contact our Customer Service for availability and price in your country. Contact Info

Our Local Distributor

中国
北京 101111
No. 88 KeChuang 6th Street
Beijing Economic Technological Development Area
Room 801-803
4A Biotech Co.,Ltd.
Tel +86 (0512) 65829739 传真 +86 (010) 6788 5057

Quick Overview for Connexin 43/GJA1 抗体 (AA 351-367) (ABIN3031019)

抗原

See all Connexin 43/GJA1 (GJA1) 抗体
Connexin 43/GJA1 (GJA1) (Gap Junction Protein, alpha 1, 43kDa (GJA1))

适用

  • 133
  • 90
  • 87
  • 31
  • 11
  • 10
  • 8
  • 8
  • 8
  • 7
  • 6
  • 4
  • 4
  • 3
  • 2
  • 2
  • 2
  • 1
  • 1
  • 1
  • 1
  • 1
  • 1
  • 1
  • 1
人, 小鼠, 大鼠

宿主

  • 133
  • 8
  • 3
  • 1
  • 1

克隆类型

  • 135
  • 10
多克隆

标记

  • 90
  • 6
  • 4
  • 4
  • 4
  • 4
  • 4
  • 4
  • 3
  • 2
  • 2
  • 2
  • 2
  • 2
  • 2
  • 1
  • 1
  • 1
  • 1
  • 1
  • 1
  • 1
  • 1
  • 1
  • 1
  • 1
This Connexin 43/GJA1 antibody is un-conjugated

应用范围

  • 100
  • 57
  • 55
  • 23
  • 23
  • 17
  • 13
  • 13
  • 11
  • 10
  • 6
  • 4
  • 2
  • 2
  • 1
  • 1
Western Blotting (WB), Immunohistochemistry (Paraffin-embedded Sections) (IHC (p)), Immunocytochemistry (ICC), Immunohistochemistry (Frozen Sections) (IHC (fro))
  • 抗原表位

    • 19
    • 16
    • 11
    • 9
    • 8
    • 8
    • 7
    • 7
    • 7
    • 4
    • 3
    • 3
    • 3
    • 3
    • 2
    • 2
    • 2
    • 2
    • 2
    • 2
    • 1
    • 1
    • 1
    • 1
    • 1
    • 1
    • 1
    • 1
    • 1
    • 1
    • 1
    • 1
    • 1
    • 1
    • 1
    • 1
    • 1
    • 1
    • 1
    • 1
    AA 351-367

    纯化方法

    Antigen affinity

    免疫原

    Amino acids 351-367 (HELQPLAIVDQRPSSRA-human) were used as the immunogen for this Cx43 antibody (100% conserved in mouse and rat).

    亚型

    IgG
  • 应用备注

    Titration of the Cx43 antibody may be required due to differences in protocols and secondary/substrate sensitivity.\. Western blot: 0.5-1 μg/mL,IHC (Paraffin): 0.5-1 μg/mL,IHC (Frozen): 0.5-1 μg/mL,Immunocytochemistry: 0.5-1 μg/mL

    限制

    仅限研究用
  • 缓冲液

    0.5 mg/mL if reconstituted with 0.2 mL sterile DI water

    储存条件

    -20 °C

    储存方法

    The lyophilized Cx43 antibody can be stored at 4°C to -20°C. After reconstitution, aliquot and store at -20°C. Avoid repeated freezing and thawing.
  • 抗原

    Connexin 43/GJA1 (GJA1) (Gap Junction Protein, alpha 1, 43kDa (GJA1))

    别名

    Cx43 Connexin 43

    背景

    Connexin 43 (Cx43), also called GAP Junction Protein, alpha, is a member of the connexin gene family and is abundantly expressed in the heart and liver. Connexin 43, the major protein of gap junctions in the heart, is targeted by several protein kinases that regulate myocardial cell-cell coupling. Cx43 also plays a critical role in the physiology of hearing, presumably by participating in the recycling of potassium to the cochlear endolymph.

    UniProt

    P17302

    途径

    MAPK Pathway, Myometrial Relaxation and Contraction, Cell-Cell Junction Organization
You are here: