电话:
+86 (0512) 65829739
传真:
+86 (010) 6788 5057
电子邮件:
orders@antibodies-online.cn

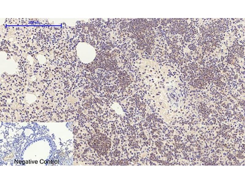
E2F1 抗体 (AA 100-170)

The 兔 多克隆 anti-E2F1 antibody (ABIN7203460) specifically detects E2F1 in WB, ELISA, IF 和 IHC (p). The antibody is reactive with 人, 小鼠 和 大鼠 samples.
产品编号 ABIN7203460
发货至: 中国
Contact our Customer Service for availability and price in your country. Contact Info

Our Local Distributor

中国
北京 101111
No. 88 KeChuang 6th Street
Beijing Economic Technological Development Area
Room 801-803
4A Biotech Co.,Ltd.
Tel +86 (0512) 65829739 传真 +86 (010) 6788 5057

Quick Overview for E2F1 抗体 (AA 100-170) (ABIN7203460)

抗原

See all E2F1 抗体
E2F1 (E2F Transcription Factor 1 (E2F1))

适用

  • 223
  • 123
  • 77
  • 6
  • 6
  • 6
  • 5
  • 5
  • 3
  • 3
  • 3
  • 1
  • 1
  • 1
人, 小鼠, 大鼠

宿主

  • 225
  • 14
  • 2

克隆类型

  • 193
  • 48
多克隆

标记

  • 103
  • 16
  • 15
  • 11
  • 8
  • 5
  • 5
  • 5
  • 5
  • 5
  • 5
  • 5
  • 5
  • 5
  • 5
  • 5
  • 5
  • 4
  • 4
  • 4
  • 4
  • 4
  • 4
  • 2
  • 2
This E2F1 antibody is un-conjugated

应用范围

  • 205
  • 92
  • 66
  • 66
  • 61
  • 45
  • 39
  • 34
  • 29
  • 28
  • 19
  • 17
  • 6
  • 2
  • 1
Western Blotting (WB), ELISA, Immunofluorescence (IF), Immunohistochemistry (Paraffin-embedded Sections) (IHC (p))
  • 抗原表位

    • 25
    • 24
    • 20
    • 15
    • 15
    • 9
    • 8
    • 8
    • 8
    • 7
    • 5
    • 5
    • 4
    • 3
    • 3
    • 2
    • 2
    • 2
    • 2
    • 2
    • 2
    • 2
    • 2
    • 1
    • 1
    • 1
    • 1
    • 1
    • 1
    • 1
    • 1
    • 1
    • 1
    • 1
    • 1
    • 1
    • 1
    • 1
    • 1
    • 1
    • 1
    • 1
    • 1
    • 1
    • 1
    • 1
    • 1
    • 1
    • 1
    • 1
    AA 100-170

    原理

    E2F-1 Polyclonal Antibody

    特异性

    The antibody detects endogenous E2F-1 protein.

    纯化方法

    The antibody was affinity-purified from rabbit serum by affinity-chromatography using specific immunogen

    免疫原

    Synthetic peptide from human protein at AA range: 100-170

    亚型

    IgG
  • 应用备注

    Optimal working dilutions should be determined experimentally by the investigator. Suggested starting dilutions are as follows: WB (1:500-1:2000), IF (1:50-1:200), IHC-P (1:50-1:300), ELISA (1:10000-1:20000). Not yet tested in other applications.

    限制

    仅限研究用
  • 状态

    Liquid

    浓度

    1 mg/mL

    缓冲液

    PBS, pH 7.4, containing 0.02 % Sodium Azide as preservative and 50 % Glycerol.

    储存液

    Sodium azide

    注意事项

    This product contains Sodium azide: a POISONOUS AND HAZARDOUS SUBSTANCE which should be handled by trained staff only.

    储存条件

    -20 °C

    储存方法

    Stable for one year at -20°C from date of shipment. For maximum recovery of product, centrifuge the original vial after thawing and prior to removing the cap. Aliquot to avoid repeated freezing and thawing.
  • 抗原

    E2F1 (E2F Transcription Factor 1 (E2F1))

    别名

    E2F-1

    背景

    Rabbit Anti-E2F-1 Polyclonal Antibody,E2F1 RBBP3,The protein encoded by E2F1 (E2F transcription factor 1) is a member of the E2F family of transcription factors. The E2F family plays a crucial role in the control of cell cycle and action of tumor suppressor proteins and is also a target of the transforming proteins of small DNA tumor viruses. The E2F proteins contain several evolutionally conserved domains found in most members of the family. These domains include a DNA binding domain, a dimerization domain which determines interaction with the differentiation regulated transcription factor proteins (DP), a transactivation domain enriched in acidic amino acids, and a tumor suppressor protein association domain which is embedded within the transactivation domain. This protein and another 2 members, E2F2 and E2F3, have an additional cyclin binding domain. This protein binds preferentially to retinoblastoma protein pRB in a cell-cycle dependent manner. It can mediate both cell proliferation and p53-dependent/independent apoptosis.,E2F transcription factor 1

    基因ID

    1869

    UniProt

    Q01094

    途径

    p53 Pathway, Cell Division Cycle, Mitotic G1-G1/S Phases, DNA Replication, M Phase, Autophagy
You are here: