电话:
+86 (0512) 65829739
传真:
+86 (010) 6788 5057
电子邮件:
orders@antibodies-online.cn

Collagen IV 抗体

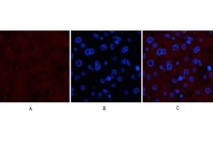
The 小鼠 单克隆 anti-Collagen IV antibody (Clone 8E5) (ABIN7212370) specifically detects Collagen IV in IHC (p) 和 IF. The antibody is reactive with 人, 小鼠 和 大鼠 samples.
产品编号 ABIN7212370
发货至: 中国
Contact our Customer Service for availability and price in your country. Contact Info

Our Local Distributor

中国
北京 101111
No. 88 KeChuang 6th Street
Beijing Economic Technological Development Area
Room 801-803
4A Biotech Co.,Ltd.
Tel +86 (0512) 65829739 传真 +86 (010) 6788 5057

Quick Overview for Collagen IV 抗体 (ABIN7212370)

抗原

See all Collagen IV (COL4) 抗体
Collagen IV (COL4) (Collagen, Type IV (COL4))

适用

  • 96
  • 47
  • 39
  • 22
  • 17
  • 12
  • 2
  • 2
人, 小鼠, 大鼠

宿主

  • 64
  • 28
  • 12
小鼠

克隆类型

  • 74
  • 30
单克隆

标记

  • 48
  • 10
  • 7
  • 6
  • 3
  • 2
  • 2
  • 2
  • 2
  • 2
  • 2
  • 2
  • 2
  • 2
  • 2
  • 2
  • 1
  • 1
  • 1
  • 1
  • 1
  • 1
  • 1
  • 1
This Collagen IV antibody is un-conjugated

应用范围

  • 63
  • 48
  • 34
  • 32
  • 30
  • 26
  • 26
  • 24
  • 15
  • 11
  • 9
  • 8
  • 5
  • 3
  • 3
  • 2
  • 2
  • 1
  • 1
  • 1
  • 1
Immunohistochemistry (Paraffin-embedded Sections) (IHC (p)), Immunofluorescence (IF)

克隆位点

8E5
  • 原理

    Collagen IV Mouse Monoclonal Antibody (8E5)

    特异性

    The antibody detects endogenous Collagen IV protein.

    纯化方法

    The antibody was affinity-purified from mouse ascites by affinity-chromatography using specific immunogen

    免疫原

    Synthetic Peptide of Collagen IV

    亚型

    IgG1
  • 应用备注

    Optimal working dilutions should be determined experimentally by the investigator. Suggested starting dilutions are as follows: IHC-P (1:50-1:200).

    说明

    Primary Antibody

    限制

    仅限研究用
  • 状态

    Liquid

    浓度

    1 mg/mL

    缓冲液

    PBS, pH 7.4, containing 0.02 % Sodium Azide as preservative and 50 % Glycerol.

    储存液

    Sodium azide

    注意事项

    This product contains Sodium azide: a POISONOUS AND HAZARDOUS SUBSTANCE which should be handled by trained staff only.

    储存条件

    -20 °C

    储存方法

    Stable for one year at -20°C from date of shipment. For maximum recovery of product, centrifuge the original vial after thawing and prior to removing the cap. Aliquot to avoid repeated freezing and thawing.
  • 抗原

    Collagen IV (COL4) (Collagen, Type IV (COL4))

    别名

    Collagen IV

    背景

    Mouse Anti-Collagen IV Mouse Monoclonal Antibody (8E5),Collagen alpha-1(IV) chain [Cleaved into: Arresten],COL4A1 (collagen type IV alpha 1 chain) encodes a type IV collagen alpha protein. Type IV collagen proteins are integral components of basement membranes. COL4A1 shares a bidirectional promoter with a paralogous gene on the opposite strand. The protein consists of an amino-terminal 7S domain, a triple-helix forming collagenous domain, and a carboxy-terminal non-collagenous domain. It functions as part of a heterotrimer and interacts with other extracellular matrix components such as perlecans, proteoglycans, and laminins. In addition, proteolytic cleavage of the non-collagenous carboxy-terminal domain results in a biologically active fragment known as arresten, which has anti-angiogenic and tumor suppressor properties. Mutations in COL4A1 cause porencephaly, cerebrovascular disease, and renal and muscular defects. Alternative splicing results in multiple transcript variants.,Collagen alpha-1(IV) chain [Cleaved into: Arresten]

    分子量

    observerd band 161kDa

    基因ID

    1282
You are here: