电话:
+86 (0512) 65829739
传真:
+86 (010) 6788 5057
电子邮件:
orders@antibodies-online.cn

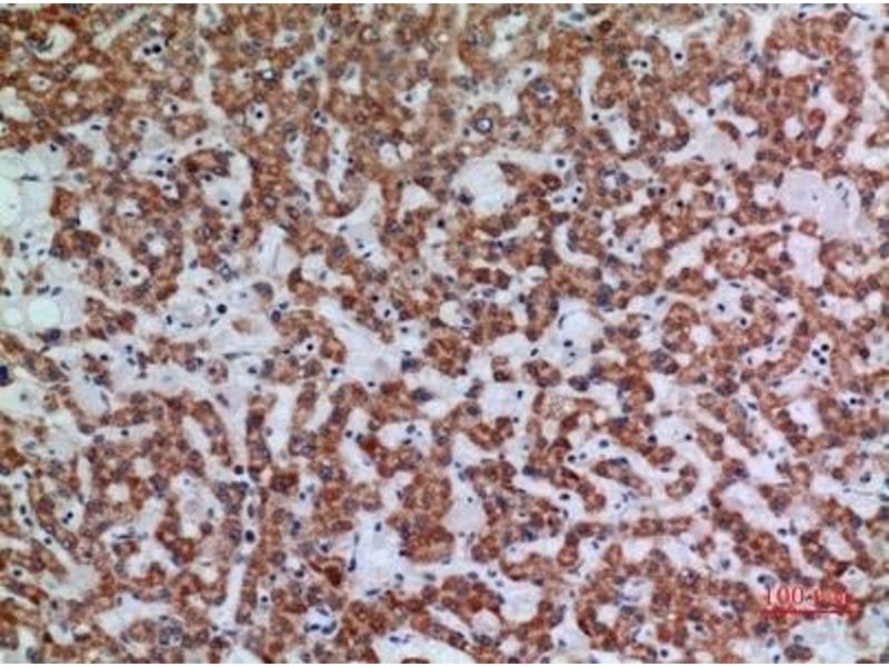
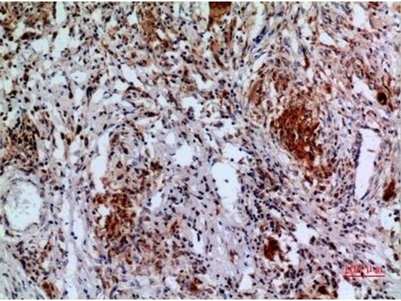
APAF1 抗体 (Internal Region)

The 兔 多克隆 anti-APAF1 antibody is suitable to detect APAF1 in samples from 人, 小鼠 和 大鼠. It has been validated for WB, ELISA 和 IHC (p).
产品编号 ABIN7218288
发货至: 中国
Contact our Customer Service for availability and price in your country. Contact Info

Our Local Distributor

中国
北京 101111
No. 88 KeChuang 6th Street
Beijing Economic Technological Development Area
Room 801-803
4A Biotech Co.,Ltd.
Tel +86 (0512) 65829739 传真 +86 (010) 6788 5057

Quick Overview for APAF1 抗体 (Internal Region) (ABIN7218288)

抗原

See all APAF1 抗体
APAF1 (Apoptotic Peptidase Activating Factor 1 (APAF1))

适用

  • 110
  • 69
  • 56
  • 15
  • 2
人, 小鼠, 大鼠

宿主

  • 102
  • 9
  • 7
  • 1

克隆类型

  • 84
  • 35
多克隆

标记

  • 54
  • 5
  • 4
  • 4
  • 4
  • 4
  • 4
  • 4
  • 4
  • 3
  • 2
  • 2
  • 2
  • 2
  • 2
  • 2
  • 2
  • 2
  • 2
  • 2
  • 2
  • 2
  • 2
  • 1
  • 1
  • 1
This APAF1 antibody is un-conjugated

应用范围

  • 70
  • 34
  • 27
  • 27
  • 27
  • 26
  • 22
  • 18
  • 18
  • 16
  • 7
  • 3
Western Blotting (WB), ELISA, Immunohistochemistry (Paraffin-embedded Sections) (IHC (p))
  • 抗原表位

    • 16
    • 15
    • 10
    • 9
    • 5
    • 4
    • 3
    • 2
    • 2
    • 2
    • 2
    • 2
    • 2
    • 1
    • 1
    • 1
    • 1
    • 1
    • 1
    • 1
    • 1
    • 1
    • 1
    Internal Region

    原理

    Apaf-1 Polyclonal Antibody

    特异性

    Apaf-1 Polyclonal Antibody detects endogenous levels of Apaf-1 protein.

    纯化方法

    The antibody was affinity-purified from rabbit antiserum by affinity-chromatography using epitope-specific immunogen

    免疫原

    Synthesized peptide derived from the Internal region of human Apaf-1

    亚型

    IgG
  • 应用备注

    Optimal working dilutions should be determined experimentally by the investigator. Suggested starting dilutions are as follows: WB (1:500-1:2000), IHC-P (1:100-1:300), ELISA (1:20000). Not yet tested in other applications.

    说明

    Primary Antibody

    限制

    仅限研究用
  • 状态

    Liquid

    浓度

    1 mg/mL

    缓冲液

    PBS containing 50 % Glycerol, 0.5 % BSA and 0.02 % Sodium Azide.

    储存液

    Sodium azide

    注意事项

    This product contains Sodium azide: a POISONOUS AND HAZARDOUS SUBSTANCE which should be handled by trained staff only.

    储存条件

    -20 °C

    储存方法

    Stable for one year at -20°C from date of shipment. For maximum recovery of product, centrifuge the original vial after thawing and prior to removing the cap. Aliquot to avoid repeated freezing and thawing.
  • 抗原

    APAF1 (Apoptotic Peptidase Activating Factor 1 (APAF1))

    别名

    Apaf-1

    背景

    Rabbit Anti-Apaf-1 Polyclonal Antibody,APAF1, KIAA0413, Apoptotic protease-activating factor 1, APAF-1,APAF1 encodes a cytoplasmic protein that initiates apoptosis. Apoptotic protease-activating factor 1 contains several copies of the WD-40 domain, a caspase recruitment domain (CARD), and an ATPase domain (NB-ARC). Upon binding cytochrome c and dATP, this protein forms an oligomeric apoptosome. The apoptosome binds and cleaves caspase 9 preproprotein, releasing its mature, activated form. Activated caspase 9 stimulates the subsequent caspase cascade that commits the cell to apoptosis. Alternative splicing results in several transcript variants encoding different isoforms.,Apoptotic protease-activating factor 1

    基因ID

    317

    UniProt

    O14727

    途径

    p53 Pathway, Apoptosis, Caspase Cascade in Apoptosis, Tube Formation, Positive Regulation of Endopeptidase Activity
You are here: