电话:
+86 (0512) 65829739
传真:
+86 (010) 6788 5057
电子邮件:
orders@antibodies-online.cn

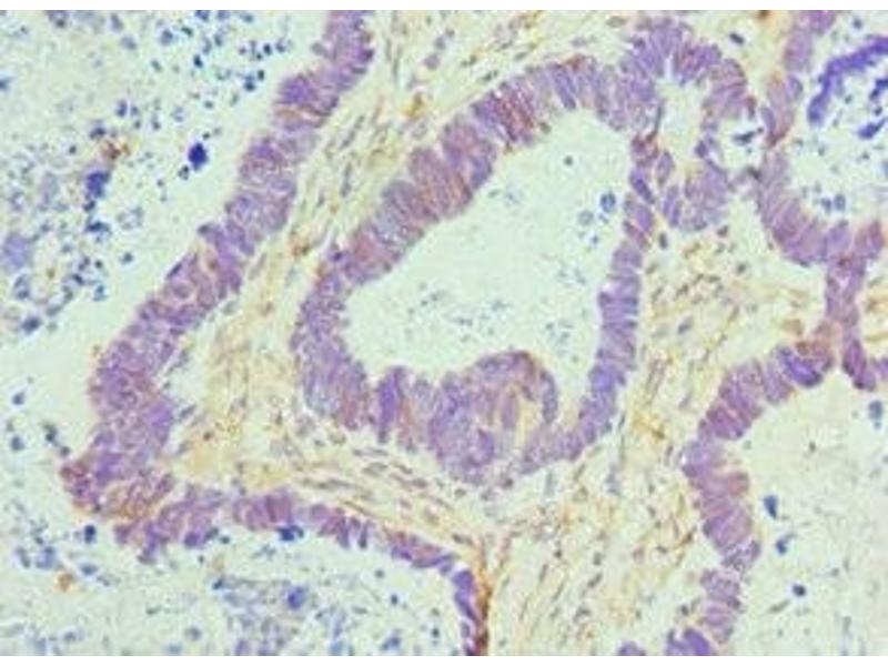
CTCF 抗体 (AA 1-260)

The 兔 多克隆 anti-CTCF antibody (ABIN7172779) specifically detects CTCF in WB, IHC, ELISA 和 ChIP. The antibody is reactive with 人 samples.
产品编号 ABIN7172779
发货至: 中国
Contact our Customer Service for availability and price in your country. Contact Info

Our Local Distributor

中国
北京 101111
No. 88 KeChuang 6th Street
Beijing Economic Technological Development Area
Room 801-803
4A Biotech Co.,Ltd.
Tel +86 (0512) 65829739 传真 +86 (010) 6788 5057

Quick Overview for CTCF 抗体 (AA 1-260) (ABIN7172779)

抗原

See all CTCF 抗体
CTCF (CCCTC-Binding Factor (Zinc Finger Protein) (CTCF))

适用

  • 62
  • 45
  • 42
  • 8
  • 8
  • 7
  • 7
  • 5
  • 5
  • 4
  • 4
  • 2
  • 1
  • 1

宿主

  • 55
  • 6
  • 2
  • 1
  • 1

克隆类型

  • 35
  • 30
多克隆

标记

  • 42
  • 3
  • 3
  • 3
  • 3
  • 3
  • 3
  • 3
  • 1
  • 1
This CTCF antibody is un-conjugated

应用范围

  • 44
  • 22
  • 21
  • 15
  • 10
  • 9
  • 6
  • 5
  • 4
  • 2
  • 1
  • 1
  • 1
  • 1
  • 1
  • 1
Western Blotting (WB), Immunohistochemistry (IHC), ELISA, Chromatin Immunoprecipitation (ChIP)
  • 抗原表位

    • 5
    • 4
    • 4
    • 2
    • 2
    • 2
    • 1
    • 1
    • 1
    • 1
    • 1
    • 1
    • 1
    • 1
    • 1
    AA 1-260

    原理

    CTCF Antibody

    纯化方法

    Antigen Affinity Purified

    免疫原

    Recombinant Human Transcriptional repressor CTCF protein (1-260AA)

    亚型

    IgG
  • 应用备注

    Optimal working dilution should be determined by the investigator.

    限制

    仅限研究用
  • 状态

    Liquid

    缓冲液

    PBS with 0.02 % sodium azide, 50 % glycerol, pH 7.3.

    储存液

    Sodium azide

    注意事项

    This product contains Sodium azide: a POISONOUS AND HAZARDOUS SUBSTANCE which should be handled by trained staff only.

    储存条件

    -20 °C,-80 °C

    储存方法

    Upon receipt, store at -20°C or -80°C. Avoid repeated freeze.
  • 抗原

    CTCF (CCCTC-Binding Factor (Zinc Finger Protein) (CTCF))

    别名

    CTCF

    背景

    Background: Chromatin binding factor that binds to DNA sequence specific sites. Involved in transcriptional regulation by binding to chromatin insulators and preventing interaction between promoter and nearby enhancers and silencers. Acts as transcriptional repressor binding to promoters of vertebrate MYC gene and BAG1 gene. Also binds to the PLK and PIM1 promoters. Acts as a transcriptional activator of APP. Regulates APOA1/C3/A4/A5 gene cluster and controls MHC class II gene expression. Plays an essential role in oocyte and preimplantation embryo development by activating or repressing transcription. Seems to act as tumor suppressor. Plays a critical role in the epigenetic regulation. Participates in the allele-specific gene expression at the imprinted IGF2/H19 gene locus. On the maternal allele, binding within the H19 imprinting control region (ICR) mediates maternally inherited higher-order chromatin conformation to restrict enhancer access to IGF2. Plays a critical role in gene silencing over considerable distances in the genome. Preferentially interacts with unmethylated DNA, preventing spreading of CpG methylation and maintaining methylation-free zones. Inversely, binding to target sites is prevented by CpG methylation. Plays a important role in chromatin remodeling. Can dimerize when it is bound to different DNA sequences, mediating long-range chromatin looping. Mediates interchromosomal association between IGF2/H19 and WSB1/NF1 and may direct distant DNA segments to a common transcription factory. Causes local loss of histone acetylation and gain of histone methylation in the beta-globin locus, without affecting transcription. When bound to chromatin, it provides an anchor point for nucleosomes positioning. Seems to be essential for homologous X-chromosome pairing. May participate with Tsix in establishing a regulatable epigenetic switch for X chromosome inactivation. May play a role in preventing the propagation of stable methylation at the escape genes from X- inactivation. Involved in sister chromatid cohesion. Associates with both centromeres and chromosomal arms during metaphase and required for cohesin localization to CTCF sites. Regulates asynchronous replication of IGF2/H19.

    Aliases: 11 zinc finger protein antibody, 11 zinc finger transcriptional repressor antibody, 11-zinc finger protein antibody, CCCTC binding factor (zinc finger protein) antibody, CCCTC binding factor antibody, CCCTC-binding factor antibody, Ctcf antibody, CTCF_HUMAN antibody, CTCFL paralog antibody, MRD21 antibody, Transcriptional repressor CTCF antibody

    UniProt

    P49711
You are here: