电话:
+86 (0512) 65829739
传真:
+86 (010) 6788 5057
电子邮件:
orders@antibodies-online.cn

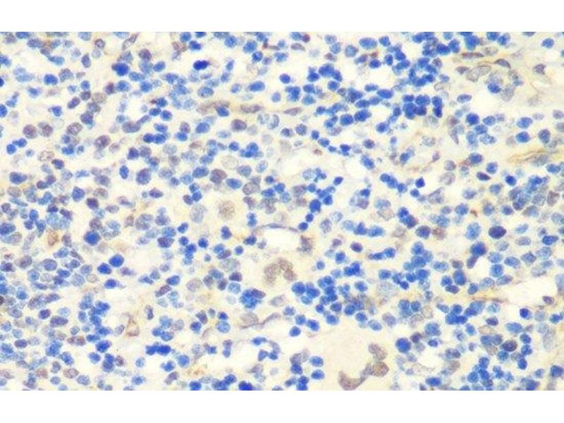
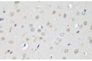
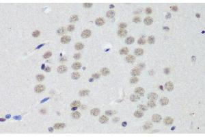
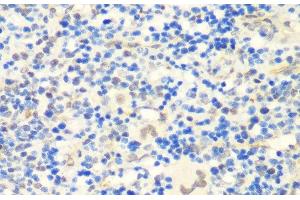
CTCF 抗体

The 兔 多克隆 anti-CTCF antibody is suitable to detect CTCF in samples from 人, 小鼠 和 大鼠. It has been validated for IHC 和 IF.
产品编号 ABIN7256766
发货至: 中国
Contact our Customer Service for availability and price in your country. Contact Info

Our Local Distributor

中国
北京 101111
No. 88 KeChuang 6th Street
Beijing Economic Technological Development Area
Room 801-803
4A Biotech Co.,Ltd.
Tel +86 (0512) 65829739 传真 +86 (010) 6788 5057

Quick Overview for CTCF 抗体 (ABIN7256766)

抗原

See all CTCF 抗体
CTCF (CCCTC-Binding Factor (Zinc Finger Protein) (CTCF))

适用

  • 62
  • 44
  • 41
  • 8
  • 8
  • 7
  • 7
  • 5
  • 5
  • 4
  • 4
  • 2
  • 1
  • 1
人, 小鼠, 大鼠

宿主

  • 55
  • 6
  • 2
  • 1
  • 1

克隆类型

  • 35
  • 30
多克隆

标记

  • 42
  • 3
  • 3
  • 3
  • 3
  • 3
  • 3
  • 3
  • 1
  • 1
This CTCF antibody is un-conjugated

应用范围

  • 45
  • 22
  • 20
  • 15
  • 11
  • 9
  • 6
  • 5
  • 5
  • 2
  • 1
  • 1
  • 1
  • 1
  • 1
  • 1
Immunohistochemistry (IHC), Immunofluorescence (IF)
  • 产品特性

    Polyclonal Antibody

    纯化方法

    Affinity purification

    免疫原

    Recombinant fusion protein of human CTCF (NP_006556.1).

    亚型

    IgG
  • 应用备注

    IHC 1:50-1:200 IF 1:50-1:200

    限制

    仅限研究用
  • 状态

    Liquid

    浓度

    1 mg/mL

    缓冲液

    PBS with 0.02 % sodium azide, 50 % glycerol, pH 7.3

    储存液

    Sodium azide

    注意事项

    This product contains Sodium azide: a POISONOUS AND HAZARDOUS SUBSTANCE which should be handled by trained staff only.

    储存条件

    -20 °C

    储存方法

    Store at -20°C. Avoid freeze / thaw cycles.
  • 抗原

    CTCF (CCCTC-Binding Factor (Zinc Finger Protein) (CTCF))

    别名

    CTCF

    背景

    This gene is a member of the BORIS + CTCF gene family and encodes a transcriptional regulator protein with 11 highly conserved zinc finger (ZF) domains. This nuclear protein is able to use different combinations of the ZF domains to bind different DNA target sequences and proteins. Depending upon the context of the site, the protein can bind a histone acetyltransferase (HAT)-containing complex and function as a transcriptional activator or bind a histone deacetylase (HDAC)-containing complex and function as a transcriptional repressor. If the protein is bound to a transcriptional insulator element, it can block communication between enhancers and upstream promoters, thereby regulating imprinted expression. Mutations in this gene have been associated with invasive breast cancers, prostate cancers, and Wilms' tumors. Alternatively spliced transcript variants encoding different isoforms have been found for this gene.

    基因ID

    10664

    UniProt

    P49711
You are here: