电话:
+86 (0512) 65829739
传真:
+86 (010) 6788 5057
电子邮件:
orders@antibodies-online.cn

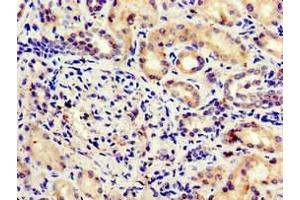
GBL 抗体 (AA 159-220)

The 兔 多克隆 anti-GBL antibody (ABIN7171522) specifically detects GBL in ELISA, IHC 和 IF. The antibody is reactive with 人 samples.
产品编号 ABIN7171522
发货至: 中国
Contact our Customer Service for availability and price in your country. Contact Info

Our Local Distributor

中国
北京 101111
No. 88 KeChuang 6th Street
Beijing Economic Technological Development Area
Room 801-803
4A Biotech Co.,Ltd.
Tel +86 (0512) 65829739 传真 +86 (010) 6788 5057

Quick Overview for GBL 抗体 (AA 159-220) (ABIN7171522)

抗原

See all GBL 抗体
GBL (G protein beta subunit-like (GBL))

适用

  • 54
  • 38
  • 35
  • 3
  • 3
  • 3
  • 3
  • 3
  • 3
  • 2
  • 2
  • 1
  • 1
  • 1
  • 1
  • 1

宿主

  • 65
  • 3
  • 2

克隆类型

  • 69
  • 1
多克隆

标记

  • 35
  • 5
  • 4
  • 4
  • 3
  • 2
  • 1
  • 1
  • 1
  • 1
  • 1
  • 1
  • 1
  • 1
  • 1
  • 1
  • 1
  • 1
  • 1
  • 1
  • 1
  • 1
  • 1
This GBL antibody is un-conjugated

应用范围

  • 43
  • 23
  • 13
  • 13
  • 11
  • 9
  • 4
  • 3
  • 3
  • 2
  • 2
  • 2
  • 1
ELISA, Immunohistochemistry (IHC), Immunofluorescence (IF)
  • 抗原表位

    • 15
    • 8
    • 7
    • 6
    • 6
    • 4
    • 2
    • 2
    • 2
    • 2
    • 2
    • 1
    • 1
    • 1
    AA 159-220

    原理

    MLST8 Antibody

    纯化方法

    Protein G purified

    纯度

    >95 %

    免疫原

    Recombinant Human Target of rapamycin complex subunit LST8 protein (159-220AA)

    亚型

    IgG
  • 应用备注

    Optimal working dilution should be determined by the investigator.

    限制

    仅限研究用
  • 状态

    Liquid

    缓冲液

    Preservative: 0.03 % Proclin 300
    Constituents: 50 % Glycerol, 0.01M PBS, pH 7.4

    储存液

    ProClin

    注意事项

    This product contains ProClin: a POISONOUS AND HAZARDOUS SUBSTANCE which should be handled by trained staff only.

    储存条件

    -20 °C,-80 °C

    储存方法

    Upon receipt, store at -20°C or -80°C. Avoid repeated freeze.
  • 抗原

    GBL (G protein beta subunit-like (GBL))

    别名

    MLST8

    背景

    Background: Subunit of both mTORC1 and mTORC2, which regulates cell growth and survival in response to nutrient and hormonal signals. mTORC1 is activated in response to growth factors or amino acids. Growth factor-stimulated mTORC1 activation involves a AKT1-mediated phosphorylation of TSC1-TSC2, which leads to the activation of the RHEB GTPase that potently activates the protein kinase activity of mTORC1. Amino acid-signaling to mTORC1 requires its relocalization to the lysosomes mediated by the Ragulator complex and the Rag GTPases. Activated mTORC1 up-regulates protein synthesis by phosphorylating key regulators of mRNA translation and ribosome synthesis. mTORC1 phosphorylates EIF4EBP1 and releases it from inhibiting the elongation initiation factor 4E (eiF4E). mTORC1 phosphorylates and activates S6K1 at \'Thr-389\', which then promotes protein synthesis by phosphorylating PDCD4 and targeting it for degradation. Within mTORC1, LST8 interacts directly with MTOR and enhances its kinase activity. In nutrient-poor conditions, stabilizes the MTOR-RPTOR interaction and favors RPTOR-mediated inhibition of MTOR activity. mTORC2 is also activated by growth factors, but seems to be nutrient-insensitive. mTORC2 seems to function upstream of Rho GTPases to regulate the actin cytoskeleton, probably by activating one or more Rho-type guanine nucleotide exchange factors. mTORC2 promotes the serum-induced formation of stress-fibers or F-actin. mTORC2 plays a critical role in AKT1 \'Ser-473\' phosphorylation, which may facilitate the phosphorylation of the activation loop of AKT1 on \'Thr-308\' by PDK1 which is a prerequisite for full activation. mTORC2 regulates the phosphorylation of SGK1 at \'Ser-422\'. mTORC2 also modulates the phosphorylation of PRKCA on \'Ser-657\'.

    Aliases: G protein beta subunit like antibody, G protein beta subunit-like antibody, Gable antibody, GbetaL antibody, GBL antibody, GBL protein antibody, LST8 antibody, LST8_HUMAN antibody, Mammalian lethal with SEC13 protein 8 antibody, MGC111011 antibody, mLST8 antibody, MTOR associated protein LST8 homolog (S. cerevisiae) antibody, POP3 antibody, POP3 homolog (S. pombe) antibody, Protein GbetaL antibody, Target of rapamycin complex subunit LST8 antibody, TORC subunit LST8 antibody, WAT1 antibody, WAT1 homolog (S. pombe) antibody

    UniProt

    Q9BVC4

    途径

    PI3K-Akt Signaling, RTK signaling, Fc-epsilon Receptor Signaling Pathway, EGFR Signaling Pathway, Neurotrophin Signaling Pathway, Regulation of Actin Filament Polymerization, Autophagy, CXCR4-mediated Signaling Events, BCR Signaling, Warburg Effect
You are here: