电话:
+86 (0512) 65829739
传真:
+86 (010) 6788 5057
电子邮件:
orders@antibodies-online.cn

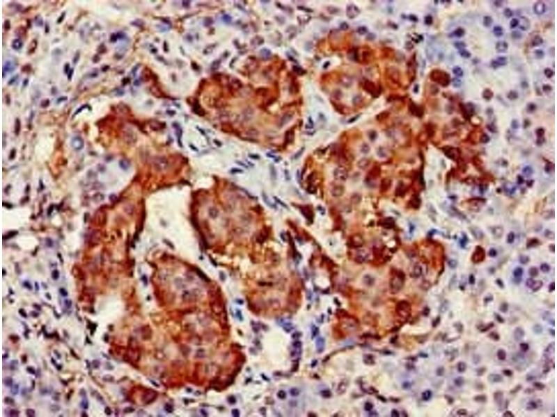
TARDBP 抗体 (AA 1-396)

The 兔 多克隆 anti-TARDBP antibody is suitable to detect TARDBP in samples from 人. It has been validated for WB, IHC, IF 和 ELISA.
产品编号 ABIN7171509
发货至: 中国
Contact our Customer Service for availability and price in your country. Contact Info

Our Local Distributor

中国
北京 101111
No. 88 KeChuang 6th Street
Beijing Economic Technological Development Area
Room 801-803
4A Biotech Co.,Ltd.
Tel +86 (0512) 65829739 传真 +86 (010) 6788 5057

Quick Overview for TARDBP 抗体 (AA 1-396) (ABIN7171509)

抗原

See all TARDBP 抗体
TARDBP (TAR DNA Binding Protein (TARDBP))

适用

  • 131
  • 80
  • 78
  • 22
  • 8
  • 8
  • 7
  • 6
  • 5
  • 5
  • 5
  • 4
  • 3
  • 1

宿主

  • 122
  • 27
  • 1

克隆类型

  • 79
  • 71
多克隆

标记

  • 85
  • 8
  • 5
  • 5
  • 5
  • 5
  • 5
  • 5
  • 4
  • 3
  • 3
  • 2
  • 2
  • 2
  • 1
  • 1
  • 1
  • 1
  • 1
  • 1
  • 1
  • 1
  • 1
  • 1
  • 1
This TARDBP antibody is un-conjugated

应用范围

  • 127
  • 80
  • 66
  • 44
  • 42
  • 36
  • 34
  • 18
  • 14
  • 13
  • 4
  • 3
  • 3
  • 3
  • 2
  • 2
  • 1
  • 1
Western Blotting (WB), Immunohistochemistry (IHC), Immunofluorescence (IF), ELISA
  • 抗原表位

    • 15
    • 12
    • 11
    • 8
    • 8
    • 3
    • 3
    • 2
    • 2
    • 2
    • 2
    • 2
    • 2
    • 2
    • 1
    • 1
    • 1
    • 1
    • 1
    • 1
    • 1
    • 1
    • 1
    AA 1-396

    原理

    TARDBP Antibody

    纯化方法

    Protein G purified

    纯度

    >95 %

    免疫原

    Recombinant Human TAR DNA-binding protein 43 protein (1-396AA)

    亚型

    IgG
  • 应用备注

    Optimal working dilution should be determined by the investigator.

    限制

    仅限研究用
  • 状态

    Liquid

    缓冲液

    Preservative: 0.03 % Proclin 300
    Constituents: 50 % Glycerol, 0.01M PBS, pH 7.4

    储存液

    ProClin

    注意事项

    This product contains ProClin: a POISONOUS AND HAZARDOUS SUBSTANCE which should be handled by trained staff only.

    储存条件

    -20 °C,-80 °C

    储存方法

    Upon receipt, store at -20°C or -80°C. Avoid repeated freeze.
  • 抗原

    TARDBP (TAR DNA Binding Protein (TARDBP))

    别名

    TARDBP

    背景

    Background: DNA and RNA-binding protein which regulates transcription and splicing. Involved in the regulation of CFTR splicing. It promotes CFTR exon 9 skipping by binding to the UG repeated motifs in the polymorphic region near the 3\\\'-splice site of this exon. The resulting aberrant splicing is associated with pathological features typical of cystic fibrosis. May also be involved in microRNA biogenesis, apoptosis and cell division. Can repress HIV-1 transcription by binding to the HIV-1 long terminal repeat. Stabilizes the low molecular weight neurofilament (NFL) mRNA through a direct interaction with the 3\\\' UTR.

    Aliases: ALS10 antibody, OTTHUMP00000002171 antibody, OTTHUMP00000002172 antibody, OTTHUMP00000002173 antibody, TADBP_HUMAN antibody, TAR DNA binding protein 43 antibody, TAR DNA binding protein antibody, TAR DNA-binding protein 43 antibody, TARDBP antibody, TDP 43 antibody, TDP-43 antibody, TDP43 antibody

    UniProt

    Q13148

    途径

    Positive Regulation of Peptide Hormone Secretion
You are here: