电话:
+86 (0512) 65829739
传真:
+86 (010) 6788 5057
电子邮件:
orders@antibodies-online.cn

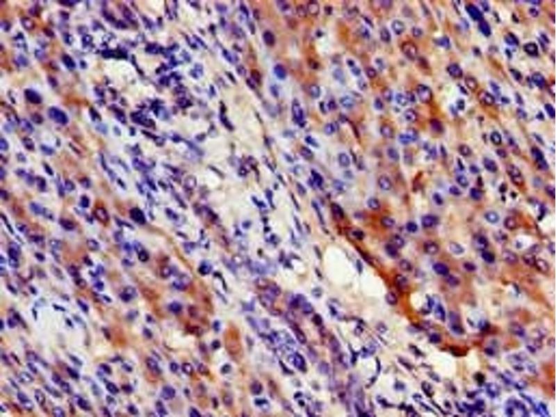
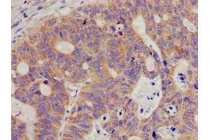
SIGMAR1 抗体 (AA 112-169)

The 兔 多克隆 anti-SIGMAR1 antibody (ABIN7169599) specifically detects SIGMAR1 in ELISA 和 IHC. The antibody is reactive with 人 samples.
产品编号 ABIN7169599
发货至: 中国
Contact our Customer Service for availability and price in your country. Contact Info

Our Local Distributor

中国
北京 101111
No. 88 KeChuang 6th Street
Beijing Economic Technological Development Area
Room 801-803
4A Biotech Co.,Ltd.
Tel +86 (0512) 65829739 传真 +86 (010) 6788 5057

Quick Overview for SIGMAR1 抗体 (AA 112-169) (ABIN7169599)

抗原

See all SIGMAR1 抗体
SIGMAR1 (sigma Non-Opioid Intracellular Receptor 1 (SIGMAR1))

适用

  • 20
  • 10
  • 9
  • 1

宿主

  • 20

克隆类型

  • 20
多克隆

标记

  • 9
  • 2
  • 2
  • 1
  • 1
  • 1
  • 1
  • 1
  • 1
  • 1
This SIGMAR1 antibody is un-conjugated

应用范围

  • 9
  • 6
  • 2
  • 2
  • 1
  • 1
  • 1
  • 1
  • 1
  • 1
ELISA, Immunohistochemistry (IHC)
  • 抗原表位

    • 4
    • 3
    • 2
    • 1
    • 1
    • 1
    • 1
    • 1
    • 1
    AA 112-169

    原理

    SIGMAR1 Antibody

    纯化方法

    Protein G purified

    纯度

    >95 %

    免疫原

    Recombinant Human Sigma non-opioid intracellular receptor 1 protein (112-169AA)

    亚型

    IgG
  • 应用备注

    Optimal working dilution should be determined by the investigator.

    限制

    仅限研究用
  • 状态

    Liquid

    缓冲液

    Preservative: 0.03 % Proclin 300
    Constituents: 50 % Glycerol, 0.01M PBS, pH 7.4

    储存液

    ProClin

    注意事项

    This product contains ProClin: a POISONOUS AND HAZARDOUS SUBSTANCE which should be handled by trained staff only.

    储存条件

    -20 °C,-80 °C

    储存方法

    Upon receipt, store at -20°C or -80°C. Avoid repeated freeze.
  • 抗原

    SIGMAR1 (sigma Non-Opioid Intracellular Receptor 1 (SIGMAR1))

    别名

    SIGMAR1

    背景

    Background: Functions in lipid transport from the endoplasmic reticulum and is involved in a wide array of cellular functions probably through regulation of the biogenesis of lipid microdomains at the plasma membrane. Involved in the regulation of different receptors it plays a role in BDNF signaling and EGF signaling. Also regulates ion channels like the potassium channel and could modulate neurotransmitter release. Plays a role in calcium signaling through modulation together with ANK2 of the ITP3R-dependent calcium efflux at the endoplasmic reticulum. Plays a role in several other cell functions including proliferation, survival and death. Originally identified for its ability to bind various psychoactive drugs it is involved in learning processes, memory and mood alteration (PubMed:16472803, PubMed:9341151). Necessary for proper mitochondrial axonal transport in motor neurons, in particular the retrograde movement of mitochondria (By similarity).

    Aliases: Aging associated gene 8 protein antibody, Aging-associated gene 8 protein antibody, AL024364 antibody, hSigmaR1 antibody, mSigmaR1 antibody, opioid receptor, sigma 1 antibody, opioid receptor, sigma 1 isoform 1 antibody, RP23 167I12.6 antibody, SGMR1_HUMAN antibody, SIG 1R antibody, SIG-1R antibody, Sigma 1-type opioid receptor antibody, Sigma non-opioid intracellular receptor 1 antibody, sigma1 receptor antibody, Sigma1-receptor antibody, Sigma1R antibody, Sigmar1 antibody, SR BP antibody, SR-BP antibody, SR31747 binding protein antibody, SR31747-binding protein antibody, SRBP antibody

    UniProt

    Q99720

    途径

    SARS-CoV-2 Protein Interactome
You are here: