电话:
+86 (0512) 65829739
传真:
+86 (010) 6788 5057
电子邮件:
orders@antibodies-online.cn

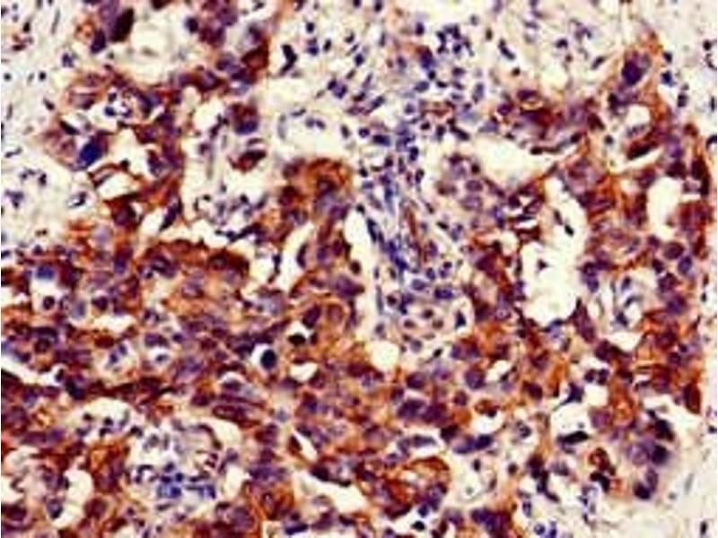
NAMPT 抗体 (AA 1-280)

The 兔 多克隆 anti-NAMPT antibody (ABIN7161574) specifically detects NAMPT in WB, IHC, ELISA 和 IF. The antibody is reactive with 人 samples.
产品编号 ABIN7161574
发货至: 中国
Contact our Customer Service for availability and price in your country. Contact Info

Our Local Distributor

中国
北京 101111
No. 88 KeChuang 6th Street
Beijing Economic Technological Development Area
Room 801-803
4A Biotech Co.,Ltd.
Tel +86 (0512) 65829739 传真 +86 (010) 6788 5057

Quick Overview for NAMPT 抗体 (AA 1-280) (ABIN7161574)

抗原

See all NAMPT 抗体
NAMPT (Nicotinamide phosphoribosyltransferase (NAMPT))

适用

  • 141
  • 62
  • 62
  • 8
  • 7
  • 6
  • 6
  • 4
  • 3
  • 2
  • 2
  • 2
  • 1

宿主

  • 143
  • 14
  • 3
  • 2
  • 2
  • 1

克隆类型

  • 142
  • 24
多克隆

标记

  • 79
  • 25
  • 13
  • 6
  • 5
  • 4
  • 3
  • 2
  • 2
  • 2
  • 2
  • 2
  • 2
  • 2
  • 2
  • 2
  • 2
  • 2
  • 2
  • 1
  • 1
  • 1
  • 1
  • 1
  • 1
  • 1
This NAMPT antibody is un-conjugated

应用范围

  • 91
  • 72
  • 49
  • 27
  • 26
  • 22
  • 21
  • 19
  • 18
  • 14
  • 7
  • 6
  • 4
  • 2
  • 1
  • 1
  • 1
  • 1
  • 1
  • 1
  • 1
  • 1
  • 1
Western Blotting (WB), Immunohistochemistry (IHC), ELISA, Immunofluorescence (IF)
  • 抗原表位

    • 18
    • 18
    • 15
    • 9
    • 9
    • 7
    • 6
    • 4
    • 4
    • 3
    • 3
    • 3
    • 3
    • 3
    • 2
    • 2
    • 2
    • 2
    • 1
    • 1
    • 1
    • 1
    • 1
    AA 1-280

    原理

    NAMPT Antibody

    纯化方法

    Protein G purified

    纯度

    >95 %

    免疫原

    Recombinant Human Nicotinamide phosphoribosyltransferase protein (1-280AA)

    亚型

    IgG
  • 应用备注

    Optimal working dilution should be determined by the investigator.

    限制

    仅限研究用
  • 状态

    Liquid

    缓冲液

    Preservative: 0.03 % Proclin 300
    Constituents: 50 % Glycerol, 0.01M PBS, pH 7.4

    储存液

    ProClin

    注意事项

    This product contains ProClin: a POISONOUS AND HAZARDOUS SUBSTANCE which should be handled by trained staff only.

    储存条件

    -20 °C,-80 °C

    储存方法

    Upon receipt, store at -20°C or -80°C. Avoid repeated freeze.
  • 抗原

    NAMPT (Nicotinamide phosphoribosyltransferase (NAMPT))

    别名

    NAMPT

    背景

    Background: Catalyzes the condensation of nicotinamide with 5-phosphoribosyl-1-pyrophosphate to yield nicotinamide mononucleotide, an intermediate in the biosynthesis of NAD. It is the rate limiting component in the mammalian NAD biosynthesis pathway. The secreted form behaves both as a cytokine with immunomodulating properties and an adipokine with anti-diabetic properties, it has no enzymatic activity, partly because of lack of activation by ATP, which has a low level in extracellular space and plasma. Plays a role in the modulation of circadian clock function. NAMPT-dependent oscillatory production of NAD regulates oscillation of clock target gene expression by releasing the core clock component: CLOCK-ARNTL/BMAL1 heterodimer from NAD-dependent SIRT1-mediated suppression (By similarity).

    Aliases: 1110035O14Rik antibody, AI314458 antibody, AI480535 antibody, DKFZP666B131 antibody, EC 2.4.2.12 antibody, MGC117256 antibody, NAmPRTase antibody, Nampt antibody, NAMPT_HUMAN antibody, Nicotinamide phosphoribosyltransferase antibody, PBEF 1 antibody, PBEF antibody, PBEF1 antibody, Pre B cell colony enhancing factor 1 antibody, Pre B cell colony enhancing factor antibody, Pre B cell enhancing factor antibody, Pre-B cell-enhancing factor antibody, Pre-B-cell colony-enhancing factor 1 antibody, VF antibody, Visfatin antibody

    UniProt

    P43490
You are here: