电话:
+86 (0512) 65829739
传真:
+86 (010) 6788 5057
电子邮件:
orders@antibodies-online.cn

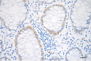
NAMPT 抗体 (AA 400-426)

There are 2+ publications for this product available. The 兔 多克隆 anti-NAMPT antibody is suitable to detect NAMPT in samples from 人. It has been validated for WB 和 IHC (p).
产品编号 ABIN652958
发货至: 中国
Contact our Customer Service for availability and price in your country. Contact Info

Our Local Distributor

中国
北京 101111
No. 88 KeChuang 6th Street
Beijing Economic Technological Development Area
Room 801-803
4A Biotech Co.,Ltd.
Tel +86 (0512) 65829739 传真 +86 (010) 6788 5057

Quick Overview for NAMPT 抗体 (AA 400-426) (ABIN652958)

抗原

See all NAMPT 抗体
NAMPT (Nicotinamide phosphoribosyltransferase (NAMPT))

适用

  • 141
  • 62
  • 62
  • 8
  • 7
  • 6
  • 6
  • 4
  • 3
  • 2
  • 2
  • 2
  • 1

宿主

  • 143
  • 14
  • 3
  • 2
  • 2
  • 1

克隆类型

  • 142
  • 24
多克隆

标记

  • 79
  • 25
  • 13
  • 6
  • 5
  • 4
  • 3
  • 2
  • 2
  • 2
  • 2
  • 2
  • 2
  • 2
  • 2
  • 2
  • 2
  • 2
  • 2
  • 1
  • 1
  • 1
  • 1
  • 1
  • 1
  • 1
This NAMPT antibody is un-conjugated

应用范围

  • 91
  • 73
  • 50
  • 27
  • 26
  • 22
  • 21
  • 19
  • 19
  • 13
  • 7
  • 6
  • 4
  • 2
  • 1
  • 1
  • 1
  • 1
  • 1
  • 1
  • 1
  • 1
  • 1
Western Blotting (WB), Immunohistochemistry (Paraffin-embedded Sections) (IHC (p))

克隆位点

RB22920
  • 抗原表位

    • 18
    • 18
    • 15
    • 9
    • 9
    • 7
    • 6
    • 4
    • 4
    • 3
    • 3
    • 3
    • 3
    • 3
    • 2
    • 2
    • 2
    • 2
    • 1
    • 1
    • 1
    • 1
    • 1
    AA 400-426

    预测反应

    M, Pig, Rat

    纯化方法

    This antibody is purified through a protein A column, followed by peptide affinity purification.

    免疫原

    This NAMPT antibody is generated from rabbits immunized with a KLH conjugated synthetic peptide between 400-426 amino acids from the Central region of human NAMPT.

    亚型

    Ig Fraction
  • 应用备注

    WB: 1:1000. WB: 1:1000. IHC-P: 1:10~50

    限制

    仅限研究用
  • 状态

    Liquid

    缓冲液

    Purified polyclonal antibody supplied in PBS with 0.09 % (W/V) sodium azide.

    储存液

    Sodium azide

    注意事项

    This product contains Sodium azide: a POISONOUS AND HAZARDOUS SUBSTANCE which should be handled by trained staff only.

    储存条件

    4 °C,-20 °C

    储存方法

    Maintain refrigerated at 2-8 °C for up to 6 months. For long term storage store at -20 °C in small aliquots to prevent freeze-thaw cycles.

    有效期

    6 months
  • Zhang, Tong, Huang: "Nicotinamide phosphoribosyl transferase (Nampt) is a target of microRNA-26b in colorectal cancer cells." in: PLoS ONE, Vol. 8, Issue 7, pp. e69963, (2013) (PubMed).

    Pittelli, Formentini, Faraco, Lapucci, Rapizzi, Cialdai, Romano, Moneti, Moroni, Chiarugi: "Inhibition of nicotinamide phosphoribosyltransferase: cellular bioenergetics reveals a mitochondrial insensitive NAD pool." in: The Journal of biological chemistry, Vol. 285, Issue 44, pp. 34106-14, (2010) (PubMed).

  • 抗原

    NAMPT (Nicotinamide phosphoribosyltransferase (NAMPT))

    别名

    NAMPT

    背景

    NAMPT catalyzes the condensation of nicotinamide with 5-phosphoribosyl-1-pyrophosphate to yield nicotinamide mononucleotide, one step in the biosynthesis of nicotinamide adenine dinucleotide. The protein is an adipokine that is localized to the bloodstream and has various functions, including the promotion of vascular smooth muscle cell maturation and inhibition of neutrophil apoptosis. It also activates insulin receptor and has insulin-mimetic effects, lowering blood glucose and improving insulin sensitivity. The protein is highly expressed in visceral fat and serum levels of the protein correlate with obesity.

    分子量

    55521

    基因ID

    10135

    NCBI登录号

    NP_005737

    UniProt

    P43490
You are here: