电话:
+86 (0512) 65829739
传真:
+86 (010) 6788 5057
电子邮件:
orders@antibodies-online.cn

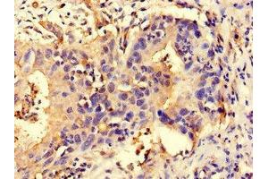
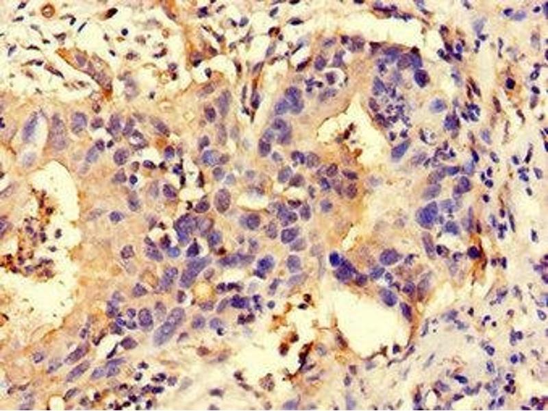
NLRP3 抗体 (AA 30-102)

The 兔 多克隆 anti-NLRP3 antibody (ABIN7160827) specifically detects NLRP3 in ELISA, IHC 和 IF. The antibody is reactive with 人 samples.
产品编号 ABIN7160827
发货至: 中国
Contact our Customer Service for availability and price in your country. Contact Info

Our Local Distributor

中国
北京 101111
No. 88 KeChuang 6th Street
Beijing Economic Technological Development Area
Room 801-803
4A Biotech Co.,Ltd.
Tel +86 (0512) 65829739 传真 +86 (010) 6788 5057

Quick Overview for NLRP3 抗体 (AA 30-102) (ABIN7160827)

抗原

See all NLRP3 抗体
NLRP3 (NLR Family, Pyrin Domain Containing 3 (NLRP3))

适用

  • 104
  • 46
  • 32
  • 15
  • 5
  • 3
  • 1
  • 1
  • 1

宿主

  • 94
  • 18
  • 2
  • 1

克隆类型

  • 78
  • 37
多克隆

标记

  • 58
  • 10
  • 7
  • 6
  • 3
  • 3
  • 3
  • 3
  • 3
  • 3
  • 3
  • 2
  • 1
  • 1
  • 1
  • 1
  • 1
  • 1
  • 1
  • 1
  • 1
  • 1
  • 1
This NLRP3 antibody is un-conjugated

应用范围

  • 70
  • 39
  • 27
  • 25
  • 20
  • 19
  • 12
  • 6
  • 5
  • 1
  • 1
  • 1
  • 1
  • 1
  • 1
  • 1
  • 1
ELISA, Immunohistochemistry (IHC), Immunofluorescence (IF)
  • 抗原表位

    • 9
    • 8
    • 6
    • 6
    • 5
    • 4
    • 4
    • 3
    • 3
    • 3
    • 2
    • 2
    • 2
    • 2
    • 2
    • 1
    • 1
    • 1
    • 1
    • 1
    • 1
    • 1
    • 1
    • 1
    • 1
    • 1
    • 1
    • 1
    AA 30-102

    原理

    NLRP3 Antibody

    纯化方法

    Protein G purified

    纯度

    >95 %

    免疫原

    Recombinant Human NACHT, LRR and PYD domains-containing protein 3 protein (30-102AA)

    亚型

    IgG
  • 应用备注

    Optimal working dilution should be determined by the investigator.

    限制

    仅限研究用
  • 状态

    Liquid

    缓冲液

    Preservative: 0.03 % Proclin 300
    Constituents: 50 % Glycerol, 0.01M PBS, PH 7.4

    储存液

    ProClin

    注意事项

    This product contains ProClin: a POISONOUS AND HAZARDOUS SUBSTANCE which should be handled by trained staff only.

    储存条件

    -20 °C,-80 °C

    储存方法

    Upon receipt, store at -20°C or -80°C. Avoid repeated freeze.
  • 抗原

    NLRP3 (NLR Family, Pyrin Domain Containing 3 (NLRP3))

    别名

    NLRP3

    背景

    Background: As the sensor component of the NLRP3 inflammasome, plays a crucial role in innate immunity and inflammation. In response to pathogens and other damage-associated signals, initiates the formation of the inflammasome polymeric complex, made of NLRP3, PYCARD and CASP1 (and possibly CASP4 and CASP5). Recruitment of proCASP1 to the inflammasome promotes its activation and CASP1-catalyzed IL1B and IL18 maturation and secretion in the extracellular milieu. Activation of NLRP3 inflammasome is also required for HMGB1 secretion (PubMed:22801494). The active cytokines and HMGB1 stimulate inflammatory responses. Inflammasomes can also induce pyroptosis, an inflammatory form of programmed cell death. Under resting conditions, NLRP3 is autoinhibited. NLRP3 activation stimuli include extracellular ATP, reactive oxygen species, K(+) efflux, crystals of monosodium urate or cholesterol, beta-amyloid fibers, environmental or industrial particles and nanoparticles, etc. However, it is unclear what constitutes the direct NLRP3 activator. Independently of inflammasome activation, regulates the differentiation of T helper 2 (Th2) cells and has a role in Th2 cell-dependent asthma and tumor growth (By similarity). During Th2 differentiation, required for optimal IRF4 binding to IL4 promoter and for IRF4-dependent IL4 transcription. Binds to the consensus DNA sequence 5\\\'-GRRGGNRGAG-3\\\'. May also participate in the transcription of IL5, IL13, GATA3, CCR3, CCR4 and MAF (By similarity).

    Aliases: AGTAVPRL antibody, AII/AVP antibody, Angiotensin/vasopressin receptor AII/AVP like antibody, Angiotensin/vasopressin receptor AII/AVP-like antibody, C1orf7 antibody, Caterpiller protein 1.1 antibody, CIAS 1 antibody, CIAS1 antibody, CLR1.1 antibody, Cold autoinflammatory syndrome 1 antibody, Cold autoinflammatory syndrome 1 protein antibody, Cryopyrin antibody, Familial cold autoinflammatory syndrome antibody, FCAS antibody, FCU antibody, LRR and PYD domains-containing protein 3 antibody, Muckle-Wells syndrome antibody, MWS antibody, NACHT antibody, NACHT LRR and PYD containing protein 3 antibody, NALP 3 antibody, NALP3 antibody, NALP3_HUMAN antibody, NLR family pyrin domain containing 3 antibody, NLRP3 antibody, PYPAF 1 antibody, PYPAF1 antibody, PYRIN containing APAF1 like protein 1 antibody, PYRIN-containing APAF1-like protein 1 antibody

    UniProt

    Q96P20

    途径

    Cellular Response to Molecule of Bacterial Origin, Positive Regulation of Endopeptidase Activity, Inflammasome
You are here: