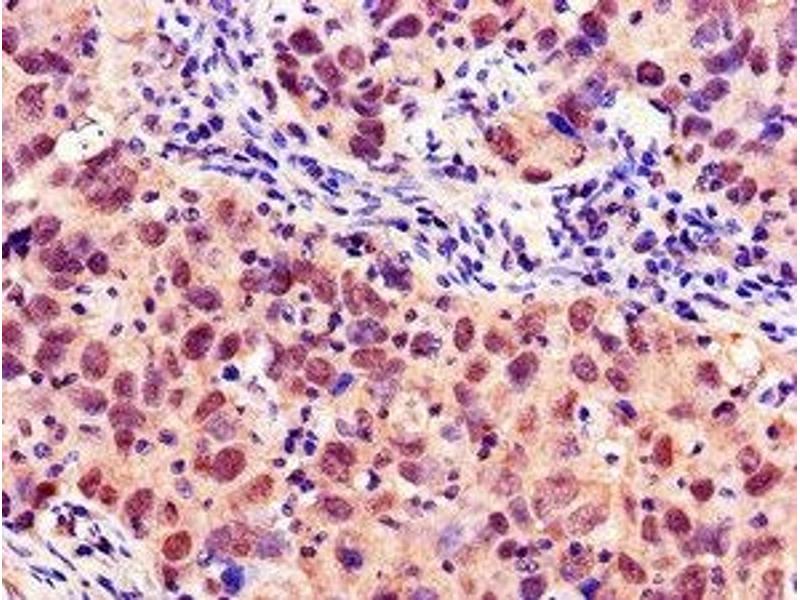
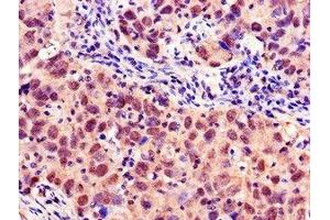
MYBL2 抗体 (AA 188-366)
Our Local Distributor
北京 101111
Quick Overview for MYBL2 抗体 (AA 188-366) (ABIN7160378)
抗原
See all MYBL2 抗体适用
宿主
克隆类型
标记
应用范围
-
-
抗原表位
- AA 188-366
-
原理
- MYBL2 Antibody
-
纯化方法
- Protein G purified
-
纯度
- >95 %
-
免疫原
- Recombinant Human Myb-related protein B protein (188-366AA)
-
亚型
- IgG
-
-
-
-
应用备注
- Optimal working dilution should be determined by the investigator.
-
限制
- 仅限研究用
-
-
-
状态
- Liquid
-
缓冲液
-
Preservative: 0.03 % Proclin 300
Constituents: 50 % Glycerol, 0.01M PBS, PH 7.4 -
储存液
- ProClin
-
注意事项
- This product contains ProClin: a POISONOUS AND HAZARDOUS SUBSTANCE which should be handled by trained staff only.
-
储存条件
- -20 °C,-80 °C
-
储存方法
- Upon receipt, store at -20°C or -80°C. Avoid repeated freeze.
-
-
- MYBL2 (V-Myb Myeloblastosis Viral Oncogene Homolog (Avian)-Like 2 (MYBL2))
-
别名
- MYBL2
-
背景
-
Background: Transcription factor involved in the regulation of cell survival, proliferation, and differentiation. Transactivates the expression of the CLU gene.
Aliases: B-Myb antibody, BMyB antibody, MGC15600 antibody, MYB L2 antibody, Myb related protein B antibody, Myb-like protein 2 antibody, Myb-related protein B antibody, MybB antibody, MYBB_HUMAN antibody, MYBL 2 antibody, Mybl2 antibody, v myb avian myeloblastosis viral oncogene homolog like 2 antibody, v myb myeloblastosis viral oncogene homolog (avian) like 2 antibody, v myb myeloblastosis viral oncogene homolog like 2 antibody
-
UniProt
- P10244
-
途径
- Cell Division Cycle, Mitotic G1-G1/S Phases, Chromatin Binding
抗原
-