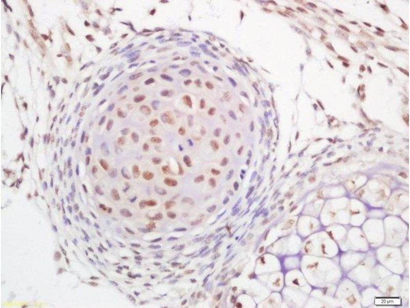
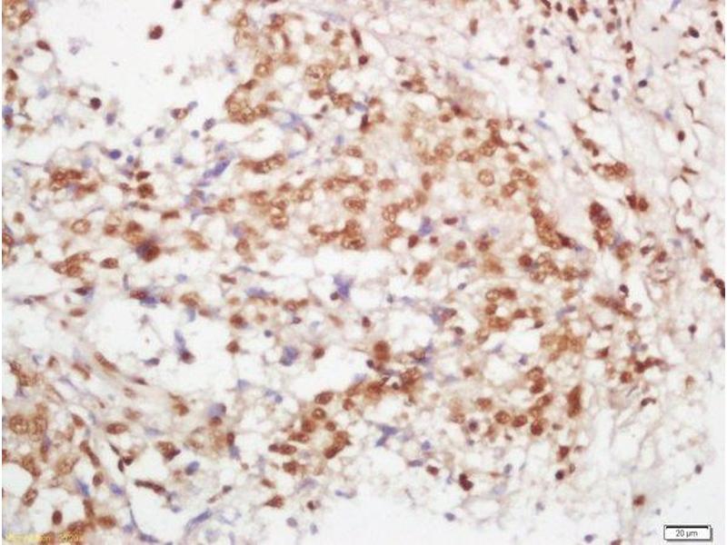
MYBL2 抗体 (AA 101-200)
Our Local Distributor
北京 101111
Quick Overview for MYBL2 抗体 (AA 101-200) (ABIN760406)
抗原
See all MYBL2 抗体适用
宿主
克隆类型
标记
应用范围
-
-
抗原表位
- AA 101-200
-
交叉反应
- 人, 小鼠, 大鼠
-
预测反应
- Dog,Cow,Pig,Horse,Rabbit
-
纯化方法
- Purified by Protein A.
-
免疫原
- KLH conjugated synthetic peptide derived from human B MyB
-
亚型
- IgG
-
-
-
-
应用备注
-
WB 1:300-5000
ELISA 1:500-1000
IHC-P 1:200-400
IHC-F 1:100-500
IF(IHC-P) 1:50-200
IF(IHC-F) 1:50-200
IF(ICC) 1:50-200 -
限制
- 仅限研究用
-
-
-
状态
- Liquid
-
浓度
- 1 μg/μL
-
缓冲液
- 0.01M TBS( pH 7.4) with 1 % BSA, 0.02 % Proclin300 and 50 % Glycerol.
-
储存液
- ProClin
-
注意事项
- This product contains ProClin: a POISONOUS AND HAZARDOUS SUBSTANCE, which should be handled by trained staff only.
-
储存条件
- 4 °C,-20 °C
-
储存方法
- Shipped at 4°C. Store at -20°C for one year. Avoid repeated freeze/thaw cycles.
-
有效期
- 12 months
-
-
- MYBL2 (V-Myb Myeloblastosis Viral Oncogene Homolog (Avian)-Like 2 (MYBL2))
-
别名
- B Myb
-
背景
-
Synonyms: B-Myb, BMyB, MYB L2, Myb related protein B, Myb-like protein 2, Myb-related protein B, MybB, MYBB_HUMAN, MYBL 2, Mybl2, v myb avian myeloblastosis viral oncogene homolog like 2, v myb myeloblastosis viral oncogene homolog avian like 2, v myb myeloblastosis viral oncogene homolog like 2.
Background: Myb-Related Protein B (MYBL2), a member of the MYB family of transcription factor genes, is a nuclear protein involved in the regulation of cell survival, proliferation, and differentiation.It has been shown to activate the cell division cycle 2, cyclin D1, and insulin-like growth factor-binding protein 5 genes.
-
基因ID
- 4602
-
途径
- Cell Division Cycle, Mitotic G1-G1/S Phases, Chromatin Binding
抗原
-