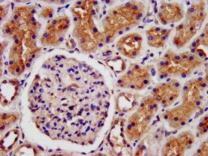
LRP2 抗体 (AA 1211-1369)
Our Local Distributor
北京 101111
Quick Overview for LRP2 抗体 (AA 1211-1369) (ABIN7158567)
抗原
See all LRP2 抗体适用
宿主
克隆类型
标记
应用范围
-
-
抗原表位
- AA 1211-1369
-
原理
- LRP2 Antibody
-
纯化方法
- Protein G purified
-
纯度
- >95 %
-
免疫原
- Recombinant Human Low-density lipoprotein receptor-related protein 2 protein (1211-1369AA)
-
亚型
- IgG
-
-
-
-
应用备注
- Optimal working dilution should be determined by the investigator.
-
限制
- 仅限研究用
-
-
-
状态
- Liquid
-
缓冲液
-
Preservative: 0.03 % Proclin 300
Constituents: 50 % Glycerol, 0.01M PBS, pH 7.4 -
储存液
- ProClin
-
注意事项
- This product contains ProClin: a POISONOUS AND HAZARDOUS SUBSTANCE which should be handled by trained staff only.
-
储存条件
- -20 °C,-80 °C
-
储存方法
- Upon receipt, store at -20°C or -80°C. Avoid repeated freeze.
-
-
- LRP2 (Low Density Lipoprotein Receptor-Related Protein 2 (LRP2))
-
别名
- LRP2
-
背景
-
Background: Acts together with cubilin to mediate HDL endocytosis (By similarity). May participate in regulation of parathyroid-hormone and para-thyroid-hormone-related protein release.
Aliases: Calcium sensor protein antibody, DBS antibody, Glycoprotein 330 antibody, gp330 antibody, Heymann nephritis antigen homolog antibody, Low-density lipoprotein receptor-related protein 2 antibody, LRP-2 antibody, Lrp2 antibody, LRP2_HUMAN antibody, Megalin antibody
-
UniProt
- P98164
-
途径
- Metabolism of Steroid Hormones and Vitamin D, Thyroid Hormone Synthesis, Hormone Transport
抗原
-