电话:
+86 (0512) 65829739
传真:
+86 (010) 6788 5057
电子邮件:
orders@antibodies-online.cn

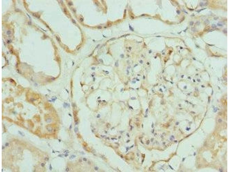
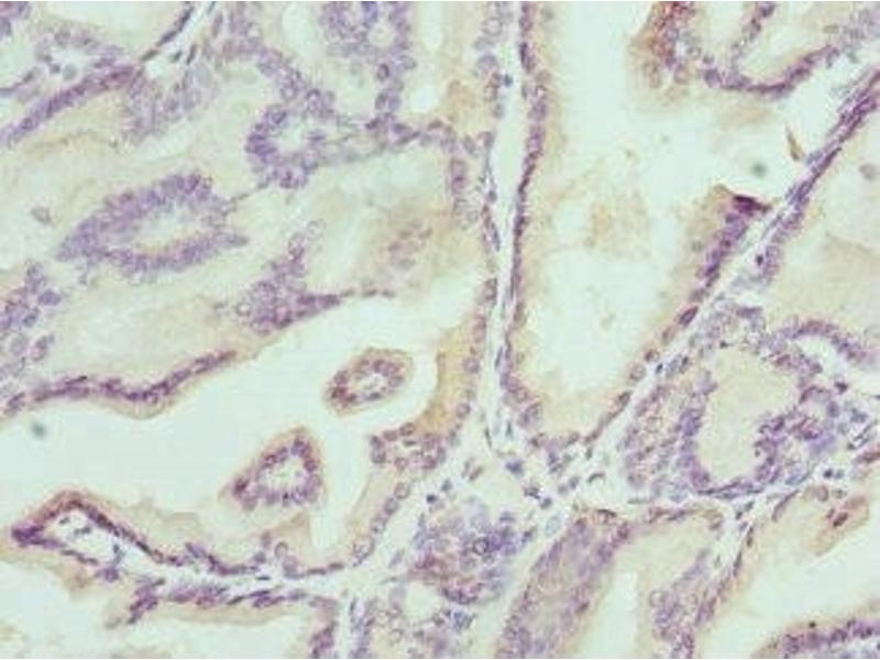
Kallikrein 4 抗体 (AA 30-254)

The 兔 多克隆 anti-Kallikrein 4 antibody (ABIN7157212) specifically detects Kallikrein 4 in IHC 和 ELISA. The antibody is reactive with 人 samples.
产品编号 ABIN7157212
发货至: 中国
Contact our Customer Service for availability and price in your country. Contact Info

Our Local Distributor

中国
北京 101111
No. 88 KeChuang 6th Street
Beijing Economic Technological Development Area
Room 801-803
4A Biotech Co.,Ltd.
Tel +86 (0512) 65829739 传真 +86 (010) 6788 5057

Quick Overview for Kallikrein 4 抗体 (AA 30-254) (ABIN7157212)

抗原

See all Kallikrein 4 (KLK4) 抗体
Kallikrein 4 (KLK4) (Kallikrein-Related Peptidase 4 (KLK4))

适用

  • 29
  • 9
  • 4

宿主

  • 27
  • 10

克隆类型

  • 27
  • 10
多克隆

标记

  • 25
  • 4
  • 2
  • 1
  • 1
  • 1
  • 1
  • 1
  • 1
This Kallikrein 4 antibody is un-conjugated

应用范围

  • 23
  • 18
  • 6
  • 6
  • 5
  • 3
  • 2
  • 2
  • 1
  • 1
Immunohistochemistry (IHC), ELISA
  • 抗原表位

    • 6
    • 3
    • 3
    • 1
    • 1
    • 1
    • 1
    • 1
    • 1
    • 1
    • 1
    • 1
    • 1
    AA 30-254

    原理

    KLK4 Antibody

    纯化方法

    Antigen Affinity Purified

    免疫原

    Recombinant Human Kallikrein-4 protein (30-254AA)

    亚型

    IgG
  • 应用备注

    Optimal working dilution should be determined by the investigator.

    限制

    仅限研究用
  • 状态

    Liquid

    缓冲液

    PBS with 0.02 % sodium azide, 50 % glycerol, pH 7.3.

    储存液

    Sodium azide

    注意事项

    This product contains Sodium azide: a POISONOUS AND HAZARDOUS SUBSTANCE which should be handled by trained staff only.

    储存条件

    -20 °C,-80 °C

    储存方法

    Upon receipt, store at -20°C or -80°C. Avoid repeated freeze.
  • 抗原

    Kallikrein 4 (KLK4) (Kallikrein-Related Peptidase 4 (KLK4))

    别名

    KLK4

    背景

    Background: Has a major role in enamel formation (PubMed:15235027). Required during the maturation stage of tooth development for clearance of enamel proteins and normal structural patterning of the crystalline matrix (By similarity).

    Aliases: 7S nerve growth factor alpha chain antibody, AI2A1 antibody, Alpha-NGF antibody, Androgen-regulated message 1 antibody, ARM1 antibody, EC 3.4.21.- antibody, EMSP 1 antibody, EMSP antibody, EMSP1 antibody, Enamel Matrix Serine Protease 1 antibody, Enamel matrix serine proteinase 1 antibody, HK4 antibody, Kallikrein 1-related peptidase-like b4 antibody, Kallikrein 4 (prostase, enamel matrix, prostate) antibody, Kallikrein 4 antibody, Kallikrein antibody, Kallikrein L1 antibody, Kallikrein like protein 1 antibody, Kallikrein related-peptidase 4 (prostase, enamel matrix, prostate) antibody, Kallikrein-4 antibody, Kallikrein-like protein 1 antibody, Kallikrein-related peptidase 4 antibody, KLK 4 antibody, KLK L1 antibody, KLK-L1 antibody, KLK4 antibody, KLK4_HUMAN antibody, MGC116827 antibody, MGC116828 antibody, Prostase antibody, Protease Serine 17 antibody, PRSS 17 antibody, PRSS17 antibody, PSTS antibody, Serine protease 17 antibody

    UniProt

    Q9Y5K2

    途径

    Complement System
You are here: