电话:
+86 (0512) 65829739
传真:
+86 (010) 6788 5057
电子邮件:
orders@antibodies-online.cn

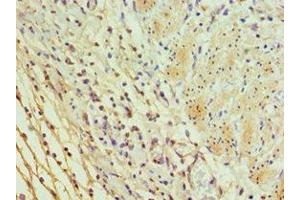
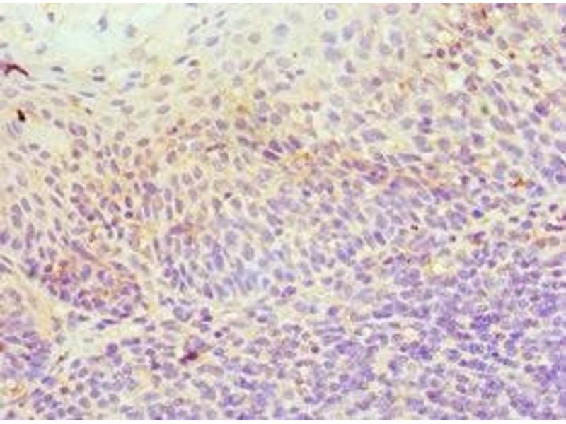
ICOSLG 抗体 (AA 19-256)

This 兔 多克隆 antibody specifically detects ICOSLG in IHC 和 ELISA. It exhibits reactivity toward 人.
产品编号 ABIN7156037
发货至: 中国
Contact our Customer Service for availability and price in your country. Contact Info

Our Local Distributor

中国
北京 101111
No. 88 KeChuang 6th Street
Beijing Economic Technological Development Area
Room 801-803
4A Biotech Co.,Ltd.
Tel +86 (0512) 65829739 传真 +86 (010) 6788 5057

Quick Overview for ICOSLG 抗体 (AA 19-256) (ABIN7156037)

抗原

See all ICOSLG 抗体
ICOSLG (Inducible T-Cell Co-Stimulator Ligand (ICOSLG))

适用

  • 99
  • 14
  • 1
  • 1
  • 1
  • 1
  • 1
  • 1

宿主

  • 56
  • 42
  • 5
  • 5
  • 1

克隆类型

  • 67
  • 41
  • 1
多克隆

标记

  • 58
  • 8
  • 5
  • 4
  • 3
  • 2
  • 2
  • 2
  • 2
  • 2
  • 2
  • 2
  • 2
  • 2
  • 2
  • 2
  • 2
  • 2
  • 2
  • 1
  • 1
  • 1
This ICOSLG antibody is un-conjugated

应用范围

  • 52
  • 35
  • 34
  • 34
  • 18
  • 15
  • 14
  • 4
  • 4
  • 4
  • 4
  • 3
  • 2
  • 2
  • 2
  • 2
  • 1
  • 1
  • 1
  • 1
Immunohistochemistry (IHC), ELISA
  • 抗原表位

    • 22
    • 7
    • 5
    • 5
    • 4
    • 4
    • 3
    • 2
    • 2
    • 2
    • 2
    • 1
    • 1
    • 1
    • 1
    • 1
    • 1
    • 1
    • 1
    • 1
    • 1
    • 1
    AA 19-256

    原理

    ICOSLG Antibody

    纯化方法

    Antigen Affinity Purified

    免疫原

    Recombinant Human ICOS ligand protein (19-256AA)

    亚型

    IgG
  • 应用备注

    Optimal working dilution should be determined by the investigator.

    限制

    仅限研究用
  • 状态

    Liquid

    缓冲液

    PBS with 0.02 % sodium azide, 50 % glycerol, pH 7.3.

    储存液

    Sodium azide

    注意事项

    This product contains Sodium azide: a POISONOUS AND HAZARDOUS SUBSTANCE which should be handled by trained staff only.

    储存条件

    -20 °C,-80 °C

    储存方法

    Upon receipt, store at -20°C or -80°C. Avoid repeated freeze.
  • 抗原

    ICOSLG (Inducible T-Cell Co-Stimulator Ligand (ICOSLG))

    别名

    ICOSLG

    背景

    Background: Ligand for the T-cell-specific cell surface receptor ICOS. Acts as a costimulatory signal for T-cell proliferation and cytokine secretion, induces also B-cell proliferation and differentiation into plasma cells. Could play an important role in mediating local tissue responses to inflammatory conditions, as well as in modulating the secondary immune response by co-stimulating memory T-cell function (By similarity).

    Aliases: B7 H2 antibody, B7 homolog 2 antibody, B7 homologue 2 antibody, B7 like protein Gl50 antibody, B7 related protein 1 antibody, B7-H2 antibody, B7-like protein Gl50 antibody, B7-related protein 1 antibody, B7H2 antibody, B7RP 1 antibody, B7RP-1 antibody, B7RP1 antibody, CD 275 antibody, CD275 antibody, CD275 antigen antibody, GL 50 antibody, GL50 antibody, ICOS L antibody, ICOS LG antibody, ICOS ligand antibody, ICOSL antibody, ICOSL_HUMAN antibody, Icoslg antibody, Inducible T cell co stimulator ligand antibody, KIAA0653 antibody, LICOS antibody, Transmembrane protein B7 H2 ICOS ligand antibody

    UniProt

    O75144

    途径

    Production of Molecular Mediator of Immune Response, Activated T Cell Proliferation
You are here: