电话:
+86 (0512) 65829739
传真:
+86 (010) 6788 5057
电子邮件:
orders@antibodies-online.cn

ICOSLG 抗体 (AA 23-149)

This 小鼠 单克隆 antibody specifically detects ICOSLG in WB, IHC, ELISA, FACS, IF, Coat 和 StM. It exhibits reactivity toward 人.
产品编号 ABIN6939407
发货至: 中国
Contact our Customer Service for availability and price in your country. Contact Info

Our Local Distributor

中国
北京 101111
No. 88 KeChuang 6th Street
Beijing Economic Technological Development Area
Room 801-803
4A Biotech Co.,Ltd.
Tel +86 (0512) 65829739 传真 +86 (010) 6788 5057

Quick Overview for ICOSLG 抗体 (AA 23-149) (ABIN6939407)

抗原

See all ICOSLG 抗体
ICOSLG (Inducible T-Cell Co-Stimulator Ligand (ICOSLG))

适用

  • 99
  • 14
  • 1
  • 1
  • 1
  • 1
  • 1
  • 1

宿主

  • 57
  • 41
  • 5
  • 5
  • 1
小鼠

克隆类型

  • 66
  • 42
  • 1
单克隆

标记

  • 58
  • 8
  • 5
  • 4
  • 3
  • 2
  • 2
  • 2
  • 2
  • 2
  • 2
  • 2
  • 2
  • 2
  • 2
  • 2
  • 2
  • 2
  • 2
  • 1
  • 1
  • 1
This ICOSLG antibody is un-conjugated

应用范围

  • 51
  • 34
  • 34
  • 34
  • 18
  • 14
  • 14
  • 4
  • 4
  • 4
  • 3
  • 3
  • 2
  • 2
  • 2
  • 1
  • 1
  • 1
  • 1
  • 1
Western Blotting (WB), Immunohistochemistry (IHC), ELISA, Flow Cytometry (FACS), Immunofluorescence (IF), Coating (Coat), Staining Methods (StM)

克隆位点

ICOSL-3111
  • 抗原表位

    • 21
    • 7
    • 5
    • 5
    • 5
    • 4
    • 3
    • 2
    • 2
    • 2
    • 2
    • 1
    • 1
    • 1
    • 1
    • 1
    • 1
    • 1
    • 1
    • 1
    • 1
    • 1
    AA 23-149

    特异性

    This MAb recognizes a protein of 36 kDa, identified as ICOS-L. It is a ligand for the ICOS receptor that initiates T and B cell proliferation and cytokine secretion. ICOS-L interactions play an essential role in T cell-dependent B cell activation in peripheral lymphoid organs such as spleen and lymph nodes. ICOS-L protein is present in myeloid leukocytes, and by Northern blot there are 2.4, 3.0, and 7.0 kb transcripts in brain, heart, kidney, and liver, with lower expression in colon and thymus, and a 1.1 kb transcript in leukocytes. Tumor necrosis factor alpha (TNF), granulocyte-macrophage colony-stimulating factor (GM-CSF) and interleukin-4 (IL-4) enhance its expression. LPS-induced up-regulation of ICOS-L is dependent on the MyD88-dependent signaling pathway.

    纯化方法

    Purified by Protein A/G

    免疫原

    Recombinant fragment of human ICOSLG (B7RP-1) protein (around aa 23-149) (exact sequence is proprietary)

    亚型

    IgG1 kappa
  • 应用备注

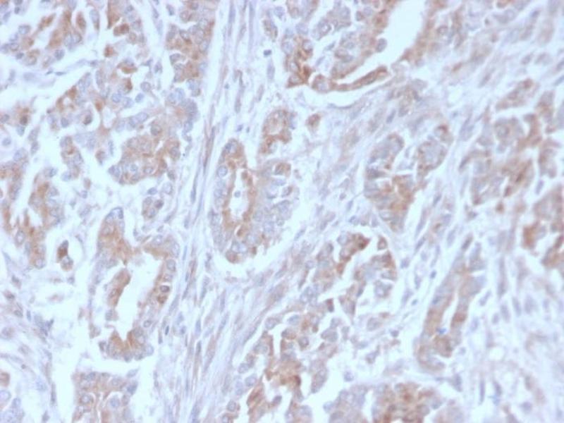
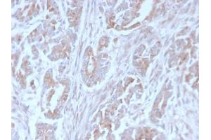
    Positive Control: U937, HL60, HuT78 and HUVEC lysates (WB). Human tonsil tissue (IHC).

    Known Application: ELISA (For coating, order antibody without BSA), Flow Cytometry (1-2 μg/million cells), ,Immunofluorescence (1-2 μg/mL),Immunohistochemistry (Formalin-fixed) (1-2 μg/mL for 30 min at RT),(Staining of formalin-fixed tissues requires boiling tissue sections in 10 mM Tris with 1 mM EDTA, pH 9.0, for 10-20 min followed by cooling at RT for 20 minutes),Optimal dilution for a specific application should be determined.

    限制

    仅限研究用
  • 浓度

    200 μg/mL

    缓冲液

    10 mM PBS with 0.05 % BSA & 0.05 % azide.

    储存液

    Sodium azide

    注意事项

    This product contains Sodium azide: a POISONOUS AND HAZARDOUS SUBSTANCE which should be handled by trained staff only.

    储存条件

    4 °C,-80 °C

    储存方法

    Antibody with azide - store at 2 to 8°C. Antibody without azide - store at -20 to -80°C. Antibody is stable for 24 months. Non-hazardous. No MSDS required.

    有效期

    24 months
  • 抗原

    ICOSLG (Inducible T-Cell Co-Stimulator Ligand (ICOSLG))

    别名

    ICOSLG

    分子量

    36kDa

    基因ID

    23308

    UniProt

    O75144

    途径

    Production of Molecular Mediator of Immune Response, Activated T Cell Proliferation
You are here: