电话:
+86 (0512) 65829739
传真:
+86 (010) 6788 5057
电子邮件:
orders@antibodies-online.cn

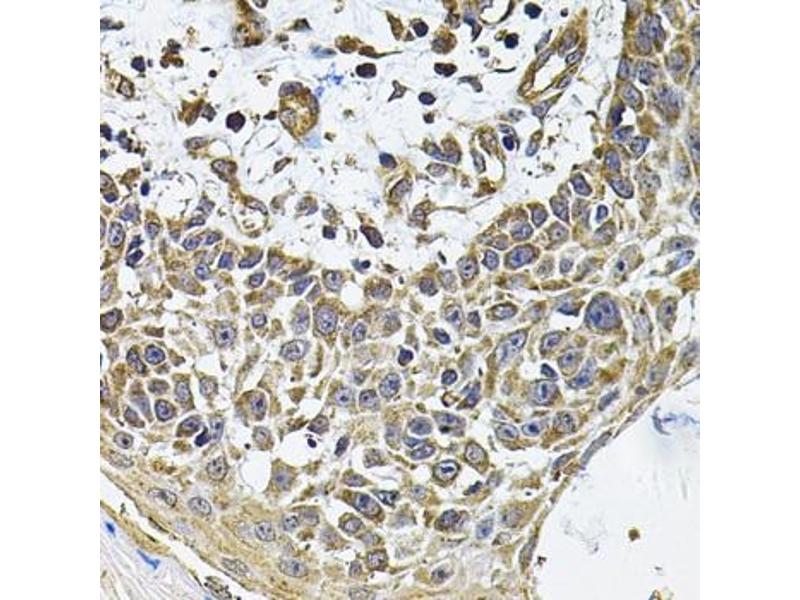
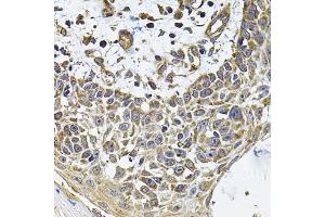
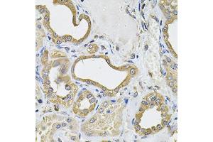
ICOSLG 抗体 (AA 19-256)

This 兔 多克隆 antibody specifically detects ICOSLG in WB 和 IHC. It exhibits reactivity toward 人.
产品编号 ABIN6142131
发货至: 中国
Contact our Customer Service for availability and price in your country. Contact Info

Our Local Distributor

中国
北京 101111
No. 88 KeChuang 6th Street
Beijing Economic Technological Development Area
Room 801-803
4A Biotech Co.,Ltd.
Tel +86 (0512) 65829739 传真 +86 (010) 6788 5057

Quick Overview for ICOSLG 抗体 (AA 19-256) (ABIN6142131)

抗原

See all ICOSLG 抗体
ICOSLG (Inducible T-Cell Co-Stimulator Ligand (ICOSLG))

适用

  • 99
  • 14
  • 1
  • 1
  • 1
  • 1
  • 1
  • 1

宿主

  • 56
  • 42
  • 5
  • 5
  • 1

克隆类型

  • 67
  • 41
  • 1
多克隆

标记

  • 58
  • 8
  • 5
  • 4
  • 3
  • 2
  • 2
  • 2
  • 2
  • 2
  • 2
  • 2
  • 2
  • 2
  • 2
  • 2
  • 2
  • 2
  • 2
  • 1
  • 1
  • 1
This ICOSLG antibody is un-conjugated

应用范围

  • 51
  • 35
  • 35
  • 34
  • 18
  • 15
  • 14
  • 4
  • 4
  • 4
  • 4
  • 3
  • 2
  • 2
  • 2
  • 2
  • 1
  • 1
  • 1
  • 1
Western Blotting (WB), Immunohistochemistry (IHC)
  • 抗原表位

    • 22
    • 7
    • 5
    • 5
    • 4
    • 4
    • 3
    • 2
    • 2
    • 2
    • 2
    • 1
    • 1
    • 1
    • 1
    • 1
    • 1
    • 1
    • 1
    • 1
    • 1
    • 1
    AA 19-256

    序列

    DTQEKEVRAM VGSDVELSCA CPEGSRFDLN DVYVYWQTSE SKTVVTYHIP QNSSLENVDS RYRNRALMSP AGMLRGDFSL RLFNVTPQDE QKFHCLVLSQ SLGFQEVLSV EVTLHVAANF SVPVVSAPHS PSQDELTFTC TSINGYPRPN VYWINKTDNS LLDQALQNDT VFLNMRGLYD VVSVLRIART PSVNIGCCIE NVLLQQNLTV GSQTGNDIGE RDKITENPVS TGEKNAAT

    交叉反应

    人, 小鼠, 大鼠

    产品特性

    Polyclonal Antibodies

    纯化方法

    Affinity purification

    免疫原

    Recombinant fusion protein containing a sequence corresponding to amino acids 19-256 of human ICOSL (NP_056074.1).

    亚型

    IgG
  • 应用备注

    WB,1:500 - 1:2000,IHC,1:50 - 1:200

    说明

    HIGH QUALITY

    限制

    仅限研究用
  • 状态

    Liquid

    缓冲液

    PBS with 0.02 % sodium azide,50 % glycerol, pH 7.3.

    储存液

    Sodium azide

    注意事项

    This product contains Sodium azide: a POISONOUS AND HAZARDOUS SUBSTANCE which should be handled by trained staff only.

    储存条件

    -20 °C

    储存方法

    Store at -20°C. Avoid freeze / thaw cycles.
  • 抗原

    ICOSLG (Inducible T-Cell Co-Stimulator Ligand (ICOSLG))

    别名

    ICOSLG

    背景

    Inducible co-stimulator ligand (ICOSL), also known as B7-H2, is a member of the B7 family of co-stimulatory molecules related to B7-1 and B7-2. It is a transmembrane glycoprotein with extracellular IgV and IgC domains, and binds to ICOS on activated T cells, thus delivers a positive costimulatory signal for optimal T cell function. The structural features of ICOSL are crucial for its costimulatory function. Present study shows that ICOSL displays a marked oligomerization potential, resembling more like B7-1 than B7-2. B7-H2-dependent signaling may play an active role in a proliferative response rather than in cytokine and chemokine production. The CD28/B7 and ICOS/B7-H2 pathways are both critical for costimulating T cell immune responses. Deficiency in either pathway results in defective T cell activation, cytokine production and germinal center formation.,ICOSLG,B7-H2,B7H2,B7RP-1,B7RP1,CD275,GL50,ICOS-L,ICOSL,LICOS,Immunology & Inflammation,CD markers,ICOSLG

    分子量

    20 kDa/33 kDa/34 kDa

    基因ID

    23308

    UniProt

    O75144

    途径

    Production of Molecular Mediator of Immune Response, Activated T Cell Proliferation
You are here: