电话:
+86 (0512) 65829739
传真:
+86 (010) 6788 5057
电子邮件:
orders@antibodies-online.cn

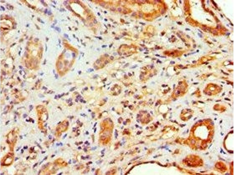
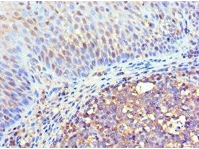
Flotillin 2 抗体 (AA 239-428)

The 兔 多克隆 anti-Flotillin 2 antibody is suitable to detect Flotillin 2 in samples from 人. It has been validated for WB, ELISA 和 IHC.
产品编号 ABIN7152969
发货至: 中国
Contact our Customer Service for availability and price in your country. Contact Info

Our Local Distributor

中国
北京 101111
No. 88 KeChuang 6th Street
Beijing Economic Technological Development Area
Room 801-803
4A Biotech Co.,Ltd.
Tel +86 (0512) 65829739 传真 +86 (010) 6788 5057

Quick Overview for Flotillin 2 抗体 (AA 239-428) (ABIN7152969)

抗原

See all Flotillin 2 (FLOT2) 抗体
Flotillin 2 (FLOT2)

适用

  • 42
  • 40
  • 27
  • 2
  • 1
  • 1
  • 1
  • 1
  • 1
  • 1
  • 1
  • 1
  • 1
  • 1
  • 1

宿主

  • 50
  • 5
  • 1

克隆类型

  • 43
  • 13
多克隆

标记

  • 26
  • 3
  • 2
  • 2
  • 2
  • 2
  • 2
  • 2
  • 1
  • 1
  • 1
  • 1
  • 1
  • 1
  • 1
  • 1
  • 1
  • 1
  • 1
  • 1
  • 1
  • 1
  • 1
This Flotillin 2 antibody is un-conjugated

应用范围

  • 34
  • 13
  • 13
  • 13
  • 11
  • 10
  • 10
  • 8
  • 7
  • 4
  • 1
Western Blotting (WB), ELISA, Immunohistochemistry (IHC)
  • 抗原表位

    • 15
    • 4
    • 2
    • 2
    • 2
    • 2
    • 1
    • 1
    • 1
    • 1
    • 1
    • 1
    • 1
    • 1
    AA 239-428

    原理

    FLOT2 Antibody

    交叉反应

    大鼠

    纯化方法

    Antigen Affinity Purified

    免疫原

    Recombinant Human Flotillin-2 protein (239-428AA)

    亚型

    IgG
  • 应用备注

    Optimal working dilution should be determined by the investigator.

    限制

    仅限研究用
  • 状态

    Liquid

    缓冲液

    PBS with 0.02 % sodium azide, 50 % glycerol, pH 7.3.

    储存液

    Sodium azide

    注意事项

    This product contains Sodium azide: a POISONOUS AND HAZARDOUS SUBSTANCE which should be handled by trained staff only.

    储存条件

    -20 °C,-80 °C

    储存方法

    Upon receipt, store at -20°C or -80°C. Avoid repeated freeze.
  • 抗原

    Flotillin 2 (FLOT2)

    别名

    FLOT2

    背景

    Background: May act as a scaffolding protein within caveolar membranes, functionally participating in formation of caveolae or caveolae-like vesicles. May be involved in epidermal cell adhesion and epidermal structure and function.

    Aliases: ECS-1 antibody, ECS1 antibody, Epidermal surface antigen 1 antibody, Epidermal surface antigen antibody, ESA antibody, ESA1 antibody, Flot2 antibody, FLOT2_HUMAN antibody, Flotillin 2 (epidermal surface antigen 1) antibody, Flotillin-2 antibody, M17S1 antibody, Membrane component chromosome 17 surface marker 1 antibody, Membrane component chromosome 17 surface marker 1 homolog antibody, membrane component, chromosome 17, surface marker 1 (35kD protein identified by monoclonal antibody ECS-1) antibody, Membrane component, chromosome 17, surface marker 1 antibody, REG-1 antibody, Reggie-1 antibody, Reggie-2 antibody

    UniProt

    Q14254
You are here: