电话:
+86 (0512) 65829739
传真:
+86 (010) 6788 5057
电子邮件:
orders@antibodies-online.cn

Flotillin 2 抗体

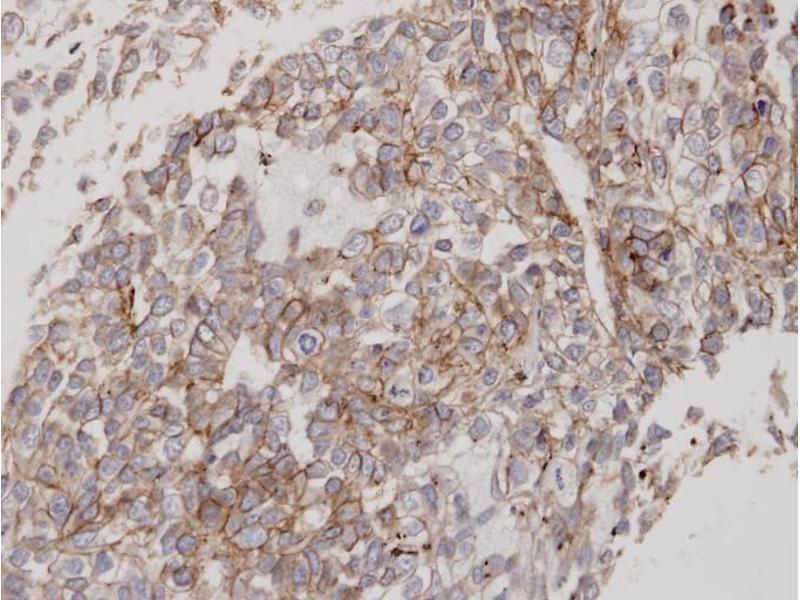
The 兔 多克隆 anti-Flotillin 2 antibody is suitable to detect Flotillin 2 in samples from 化学剂. It has been validated for WB, IHC (p), IF 和 ICC.
产品编号 ABIN2142002
发货至: 中国
Contact our Customer Service for availability and price in your country. Contact Info

Our Local Distributor

中国
北京 101111
No. 88 KeChuang 6th Street
Beijing Economic Technological Development Area
Room 801-803
4A Biotech Co.,Ltd.
Tel +86 (0512) 65829739 传真 +86 (010) 6788 5057

Quick Overview for Flotillin 2 抗体 (ABIN2142002)

抗原

See all Flotillin 2 (FLOT2) 抗体
Flotillin 2 (FLOT2)

适用

  • 42
  • 41
  • 27
  • 2
  • 1
  • 1
  • 1
  • 1
  • 1
  • 1
  • 1
  • 1
  • 1
  • 1
化学剂

宿主

  • 50
  • 5
  • 1

克隆类型

  • 43
  • 13
多克隆

标记

  • 26
  • 3
  • 2
  • 2
  • 2
  • 2
  • 2
  • 2
  • 1
  • 1
  • 1
  • 1
  • 1
  • 1
  • 1
  • 1
  • 1
  • 1
  • 1
  • 1
  • 1
  • 1
  • 1
This Flotillin 2 antibody is un-conjugated

应用范围

  • 34
  • 13
  • 13
  • 13
  • 12
  • 11
  • 9
  • 7
  • 6
  • 4
  • 1
Western Blotting (WB), Immunohistochemistry (Paraffin-embedded Sections) (IHC (p)), Immunofluorescence (IF), Immunocytochemistry (ICC)
  • 纯化方法

    Flotillin 2 antibody was purified by antigen-affinity chromatography

    免疫原

    Flotillin 2 antibody was raised in rabbit using a synthetic peptide corresponding to a region within amino acids 365 and 428 of Flotillin-2

    亚型

    IgG
  • 应用备注

    IF:1:100-1:200, IHC-P: 1:100-1:250, ICC:1:100-1:200, WB: 1:500-1:3000

    限制

    仅限研究用
  • 状态

    Liquid

    浓度

    Lot specific

    缓冲液

    as a concentrated soloution contaIng 1X PBS, 20 % Glycerol ( pH 7.0). 0.01 % Thimerosal was added as a preservative.

    注意事项

    Avoid repeated freeze/thaw cycles

    储存条件

    -20 °C

    储存方法

    Store at 4 °C for short term storage. Aliquot and store at -20 °C for long term storage.
  • 抗原

    Flotillin 2 (FLOT2)

    别名

    Flotillin 2

    物质类

    Chemical

    分子量

    47 kDa
You are here: