电话:
+86 (0512) 65829739
传真:
+86 (010) 6788 5057
电子邮件:
orders@antibodies-online.cn

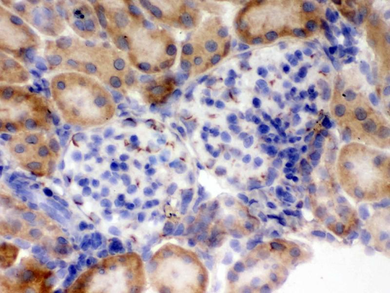
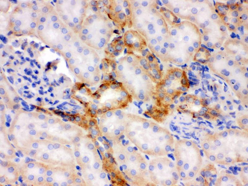
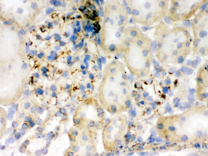
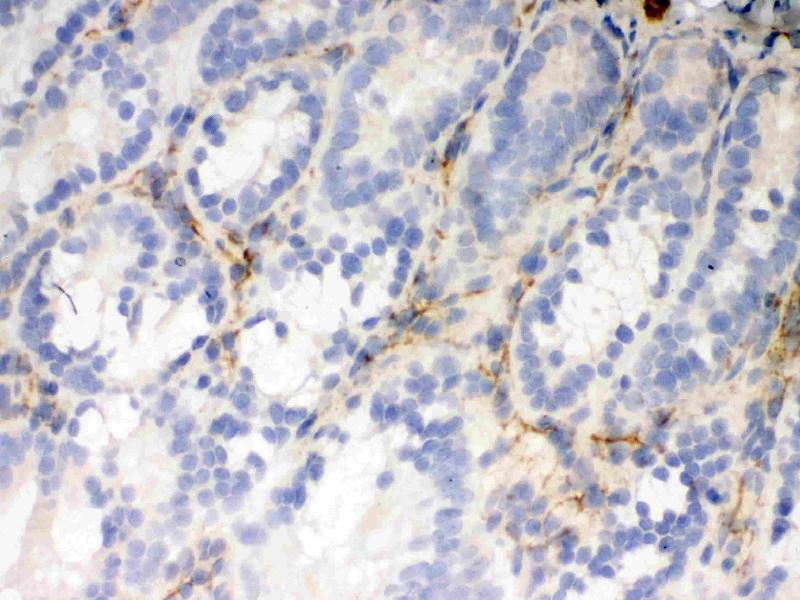
Flotillin 2 抗体 (AA 169-344)

The 兔 多克隆 anti-Flotillin 2 antibody (ABIN3042393) specifically detects Flotillin 2 in WB, IHC, IF, ICC, IHC (fro) 和 FACS. The antibody is reactive with 人, 大鼠 和 小鼠 samples.
产品编号 ABIN3042393
发货至: 中国
Contact our Customer Service for availability and price in your country. Contact Info

Our Local Distributor

中国
北京 101111
No. 88 KeChuang 6th Street
Beijing Economic Technological Development Area
Room 801-803
4A Biotech Co.,Ltd.
Tel +86 (0512) 65829739 传真 +86 (010) 6788 5057

Quick Overview for Flotillin 2 抗体 (AA 169-344) (ABIN3042393)

抗原

See all Flotillin 2 (FLOT2) 抗体
Flotillin 2 (FLOT2)

适用

  • 41
  • 40
  • 26
  • 2
  • 1
  • 1
  • 1
  • 1
  • 1
  • 1
  • 1
  • 1
  • 1
  • 1
  • 1
人, 大鼠, 小鼠

宿主

  • 50
  • 5
  • 1

克隆类型

  • 43
  • 13
多克隆

标记

  • 26
  • 3
  • 2
  • 2
  • 2
  • 2
  • 2
  • 2
  • 1
  • 1
  • 1
  • 1
  • 1
  • 1
  • 1
  • 1
  • 1
  • 1
  • 1
  • 1
  • 1
  • 1
  • 1
This Flotillin 2 antibody is un-conjugated

应用范围

  • 34
  • 13
  • 13
  • 13
  • 11
  • 11
  • 10
  • 7
  • 6
  • 3
Western Blotting (WB), Immunohistochemistry (IHC), Immunofluorescence (IF), Immunocytochemistry (ICC), Immunohistochemistry (Frozen Sections) (IHC (fro)), Flow Cytometry (FACS)
  • 抗原表位

    • 15
    • 4
    • 2
    • 2
    • 2
    • 2
    • 1
    • 1
    • 1
    • 1
    • 1
    • 1
    • 1
    • 1
    AA 169-344

    原理

    Anti-Flotillin 2/FLOT2 Antibody

    交叉反应 (详细)

    No cross-reactivity with other proteins

    产品特性

    Anti-Flotillin 2/FLOT2 Antibody (ABIN3042393). Tested in Flow Cytometry, IF, IHC, IHC-F, ICC, WB applications. This antibody reacts with Human, Mouse, Rat. This is a premium antibody that guarantees superior quality, high affinity, and strong signals with minimal background in Western blot applications.

    纯化方法

    Immunogen affinity purified.

    免疫原

    E.coli-derived human Flotillin 2 recombinant protein (Position: K169-K344). Human Flotillin 2 shares 100% amino acid (aa) sequence identity with both mouse and rat Flotillin 2.

    亚型

    IgG
  • 应用备注

    Western blot, 0.1-0.5 μg/mL
    Immunohistochemistry (Paraffin-embedded Section), 0.5-1 μg/mL
    Immunohistochemistry (Frozen Section), 0.5-1 μg/mL
    Immunocytochemistry/Immunofluorescence, 2 μg/mL
    Flow Cytometry (Fixed), 1-3 μg/1x106 cells

    说明

    Antibody can be supported by chemiluminescence kit ABIN921124 in WB, supported by ABIN921231 in IHC(P).

    限制

    仅限研究用
  • 状态

    Lyophilized

    溶解方式

    Add 0.2 mL of distilled water will yield a concentration of 500 μg/mL.

    浓度

    500 μg/mL

    缓冲液

    Each vial contains 5 mg BSA, 0.9 mg NaCl, 0.2 mg Na2HPO4, 0.05 mg Sodium azide.

    储存液

    Sodium azide

    注意事项

    This product contains Sodium azide: a POISONOUS AND HAZARDOUS SUBSTANCE which should be handled by trained staff only.

    注意事项

    Avoid repeated freezing and thawing.

    储存条件

    4 °C,-20 °C

    储存方法

    Store at -20°C for one year from date of receipt. After reconstitution, at 4°C for one month.
    It can also be aliquotted and stored frozen at -20°C for six months. Avoid repeated freeze-thaw cycles.
  • 抗原

    Flotillin 2 (FLOT2)

    别名

    FLOT2

    背景

    Synonyms: Flotillin-2,Epidermal surface antigen,ESA,Membrane component chromosome 17 surface marker 1,FLOT2,ESA1, M17S1,

    Tissue Specificity: In skin, expressed in epidermis and epidermal appendages but not in dermis. Expressed in all layers of the epidermis except the basal layer. In hair follicles, expressed in the suprabasal layer but not the basal layer. Also expressed in melanoma and carcinoma cell lines, fibroblasts and foreskin melanocytes.

    Background: FLOT2 (Flotillin 2), also known as ESA1 or M17S1, is a protein that in humans is encoded by the FLOT2 gene. Schroeder et al. (1991) isolated a cDNA for an epidermal surface antigen believed to be involved in epidermal cell adhesion. By analysis of a somatic cell hybrid panel and in situ hybridization using the ESA cDNA, the gene was mapped to 17q11-q12 in the region containing the NF1 gene. Bickel et al. (1997) found that mouse Flot2 consistently copurifies with Flot1 and with caveolin-1 in the purification of caveolin-rich membranes. Using a quantitative proteomic analysis of cultured mouse neuronal stem cells, Li et al. (2012) found that palmitoylation and oligomerization of flotillin-2 was abolished in homozygous Dhhc5 mutant neuronal stem cells. The absolute amount of flotillin-2 was not changed in Dhhc5 mutant neurons.

    Sequence Similarities: Contains 1 HMG box DNA-binding domain.

    分子量

    47-50 kDa

    基因ID

    2319

    UniProt

    Q14254
You are here: