电话:
+86 (0512) 65829739
传真:
+86 (010) 6788 5057
电子邮件:
orders@antibodies-online.cn

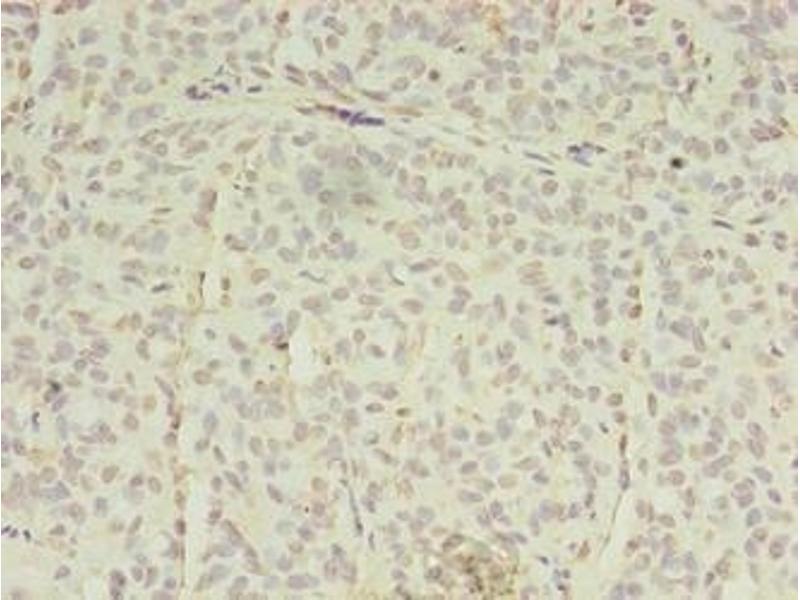
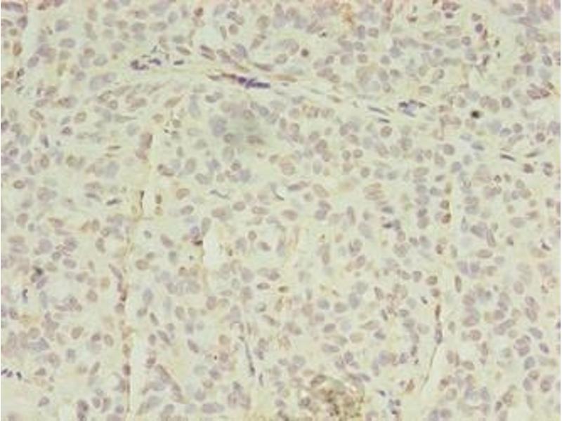
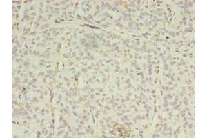
EPH Receptor A7 抗体 (AA 28-182)

The 兔 多克隆 anti-EPH Receptor A7 antibody (ABIN7151851) specifically detects EPH Receptor A7 in ELISA, IHC 和 IF. The antibody is reactive with 人 samples.
产品编号 ABIN7151851
发货至: 中国
Contact our Customer Service for availability and price in your country. Contact Info

Our Local Distributor

中国
北京 101111
No. 88 KeChuang 6th Street
Beijing Economic Technological Development Area
Room 801-803
4A Biotech Co.,Ltd.
Tel +86 (0512) 65829739 传真 +86 (010) 6788 5057

Quick Overview for EPH Receptor A7 抗体 (AA 28-182) (ABIN7151851)

抗原

See all EPH Receptor A7 (EPHA7) 抗体
EPH Receptor A7 (EPHA7)

适用

  • 69
  • 33
  • 33
  • 5
  • 5
  • 4
  • 2
  • 2
  • 2
  • 1
  • 1
  • 1

宿主

  • 64
  • 5
  • 1

克隆类型

  • 65
  • 5
多克隆

标记

  • 30
  • 6
  • 6
  • 4
  • 2
  • 2
  • 1
  • 1
  • 1
  • 1
  • 1
  • 1
  • 1
  • 1
  • 1
  • 1
  • 1
  • 1
  • 1
  • 1
  • 1
  • 1
  • 1
  • 1
  • 1
  • 1
This EPH Receptor A7 antibody is un-conjugated

应用范围

  • 50
  • 32
  • 23
  • 18
  • 13
  • 13
  • 10
  • 4
  • 3
  • 2
  • 1
  • 1
  • 1
ELISA, Immunohistochemistry (IHC), Immunofluorescence (IF)
  • 抗原表位

    • 16
    • 10
    • 8
    • 7
    • 5
    • 3
    • 2
    • 2
    • 2
    • 2
    • 1
    • 1
    • 1
    • 1
    • 1
    • 1
    • 1
    • 1
    • 1
    • 1
    • 1
    • 1
    AA 28-182

    原理

    EPHA7 Antibody

    纯化方法

    Protein G purified

    纯度

    >95 %

    免疫原

    Recombinant Human Ephrin type-A receptor 7 protein (28-182AA)

    亚型

    IgG
  • 应用备注

    Optimal working dilution should be determined by the investigator.

    限制

    仅限研究用
  • 状态

    Liquid

    缓冲液

    Preservative: 0.03 % Proclin 300
    Constituents: 50 % Glycerol, 0.01M PBS, PH 7.4

    储存液

    ProClin

    注意事项

    This product contains ProClin: a POISONOUS AND HAZARDOUS SUBSTANCE which should be handled by trained staff only.

    储存条件

    -20 °C,-80 °C

    储存方法

    Upon receipt, store at -20°C or -80°C. Avoid repeated freeze.
  • 抗原

    EPH Receptor A7 (EPHA7)

    别名

    EPHA7

    背景

    Background: Receptor tyrosine kinase which binds promiscuously GPI-anchored ephrin-A family ligands residing on adjacent cells, leading to contact-dependent bidirectional signaling into neighboring cells. The signaling pathway downstream of the receptor is referred to as forward signaling while the signaling pathway downstream of the ephrin ligand is referred to as reverse signaling. Among GPI-anchored ephrin-A ligands, EFNA5 is a cognate/functional ligand for EPHA7 and their interaction regulates brain development modulating cell-cell adhesion and repulsion. Has a repellent activity on axons and is for instance involved in the guidance of corticothalamic axons and in the proper topographic mapping of retinal axons to the colliculus. May also regulate brain development through a caspase(CASP3)-dependent proapoptotic activity. Forward signaling may result in activation of components of the ERK signaling pathway including MAP2K1, MAP2K2, MAPK1 AND MAPK3 which are phosphorylated upon activation of EPHA7.

    Aliases: Cek 11 antibody, Developmental kinase 1 antibody, EBK antibody, EHK-3 antibody, EHK3 antibody, EK11 antibody, Embryonic brain kinase antibody, EPH homology kinase 3 antibody, EPH-like kinase 11 antibody, Epha7 antibody, EPHA7_HUMAN antibody, Ephrin receptor Eph A7 antibody, Ephrin type A receptor 7 antibody, Ephrin type-A receptor 7 antibody, hEK11 antibody, MDK 1 antibody, Receptor protein tyrosine kinase HEK 11 antibody, Tyrosine protein kinase receptor EHK 3 antibody

    UniProt

    Q15375

    途径

    RTK signaling
You are here: