电话:
+86 (0512) 65829739
传真:
+86 (010) 6788 5057
电子邮件:
orders@antibodies-online.cn

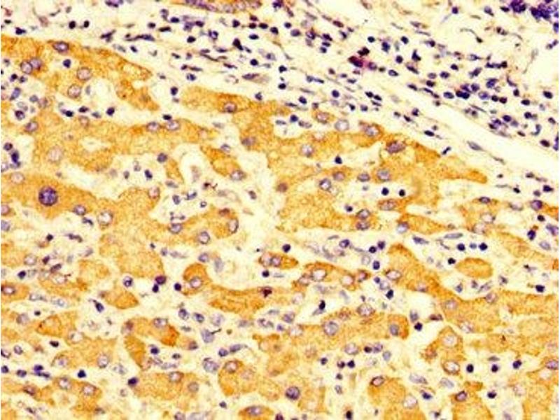
FMO3 抗体 (AA 111-219)

This 兔 多克隆 antibody specifically detects FMO3 in ELISA 和 IHC. It exhibits reactivity toward 人.
产品编号 ABIN7149956
发货至: 中国
Contact our Customer Service for availability and price in your country. Contact Info

Our Local Distributor

中国
北京 101111
No. 88 KeChuang 6th Street
Beijing Economic Technological Development Area
Room 801-803
4A Biotech Co.,Ltd.
Tel +86 (0512) 65829739 传真 +86 (010) 6788 5057

Quick Overview for FMO3 抗体 (AA 111-219) (ABIN7149956)

抗原

See all FMO3 抗体
FMO3 (Flavin Containing Monooxygenase 3 (FMO3))

适用

  • 71
  • 27
  • 25
  • 4
  • 4
  • 4
  • 3
  • 3
  • 2
  • 2
  • 2
  • 1
  • 1

宿主

  • 68
  • 3

克隆类型

  • 58
  • 13
多克隆

标记

  • 32
  • 5
  • 4
  • 3
  • 2
  • 2
  • 2
  • 2
  • 2
  • 2
  • 1
  • 1
  • 1
  • 1
  • 1
  • 1
  • 1
  • 1
  • 1
  • 1
  • 1
  • 1
  • 1
  • 1
  • 1
This FMO3 antibody is un-conjugated

应用范围

  • 59
  • 21
  • 15
  • 15
  • 14
  • 13
  • 13
  • 10
  • 3
  • 3
  • 3
  • 1
ELISA, Immunohistochemistry (IHC)
  • 抗原表位

    • 15
    • 7
    • 7
    • 4
    • 4
    • 2
    • 1
    • 1
    • 1
    • 1
    • 1
    • 1
    • 1
    • 1
    • 1
    AA 111-219

    原理

    FMO3 Antibody

    纯化方法

    Protein G purified

    纯度

    >95 %

    免疫原

    Recombinant Human Dimethylaniline monooxygenase [N-oxide-forming] 3 protein (111-219AA)

    亚型

    IgG
  • 应用备注

    Optimal working dilution should be determined by the investigator.

    限制

    仅限研究用
  • 状态

    Liquid

    缓冲液

    Preservative: 0.03 % Proclin 300
    Constituents: 50 % Glycerol, 0.01M PBS, pH 7.4

    储存液

    ProClin

    注意事项

    This product contains ProClin: a POISONOUS AND HAZARDOUS SUBSTANCE which should be handled by trained staff only.

    储存条件

    -20 °C,-80 °C

    储存方法

    Upon receipt, store at -20°C or -80°C. Avoid repeated freeze.
  • 抗原

    FMO3 (Flavin Containing Monooxygenase 3 (FMO3))

    别名

    FMO3

    背景

    Background: Involved in the oxidative metabolism of a variety of xenobiotics such as drugs and pesticides. It N-oxygenates primary aliphatic alkylamines as well as secondary and tertiary amines. Plays an important role in the metabolism of trimethylamine (TMA), via the production of TMA N-oxide (TMAO). Is also able to perform S-oxidation when acting on sulfide compounds (PubMed:9224773).

    Aliases: Dimethylaniline monooxygenase [N oxide forming] 3 antibody, Dimethylaniline monooxygenase [N-oxide-forming] 3 antibody, Dimethylaniline monooxygenase 3 antibody, Dimethylaniline oxidase 3 antibody, dJ127D3.1 antibody, Flavin containing monooxygenase 3 antibody, FMO 3 antibody, FMO form 2 antibody, FMO II antibody, FMO3 antibody, FMO3_HUMAN antibody, FMOII antibody, Hepatic flavin containing monooxygenase 3 antibody, Hepatic flavin-containing monooxygenase 3 antibody, MGC34400 antibody, TMAU antibody, Trimethylamine monooxygenase antibody

    UniProt

    P31513
You are here: