电话:
+86 (0512) 65829739
传真:
+86 (010) 6788 5057
电子邮件:
orders@antibodies-online.cn

FMO3 抗体

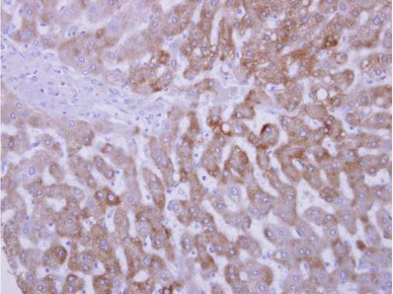
The 兔 多克隆 anti-FMO3 antibody (ABIN2855649) specifically detects FMO3 in WB 和 IHC (p). The antibody is reactive with 人 samples.
产品编号 ABIN2855649
发货至: 中国
Contact our Customer Service for availability and price in your country. Contact Info

Our Local Distributor

中国
北京 101111
No. 88 KeChuang 6th Street
Beijing Economic Technological Development Area
Room 801-803
4A Biotech Co.,Ltd.
Tel +86 (0512) 65829739 传真 +86 (010) 6788 5057

Quick Overview for FMO3 抗体 (ABIN2855649)

抗原

See all FMO3 抗体
FMO3 (Flavin Containing Monooxygenase 3 (FMO3))

适用

  • 71
  • 27
  • 25
  • 4
  • 4
  • 4
  • 3
  • 3
  • 2
  • 2
  • 2
  • 1
  • 1

宿主

  • 68
  • 3

克隆类型

  • 58
  • 13
多克隆

标记

  • 32
  • 5
  • 4
  • 3
  • 2
  • 2
  • 2
  • 2
  • 2
  • 2
  • 1
  • 1
  • 1
  • 1
  • 1
  • 1
  • 1
  • 1
  • 1
  • 1
  • 1
  • 1
  • 1
  • 1
  • 1
This FMO3 antibody is un-conjugated

应用范围

  • 58
  • 22
  • 16
  • 15
  • 14
  • 13
  • 13
  • 9
  • 3
  • 3
  • 3
  • 1
Western Blotting (WB), Immunohistochemistry (Paraffin-embedded Sections) (IHC (p))
  • 交叉反应

    人, 小鼠

    产品特性

    Rabbit Polyclonal antibody to FMO3 (flavin containing monooxygenase 3)
    FMO3 antibody [N2C2], Internal

    纯化方法

    Purified by antigen-affinity chromatography.

    免疫原

    Recombinant protein encompassing a sequence within the center region of human FMO3. The exact sequence is proprietary.

    亚型

    IgG
  • 应用备注

    WB: 1:500-1:3000. IHC-P: 1:100-1:1000. Optimal dilutions/concentrations should be determined by the researcher. Not tested in other applications.

    说明

    Positive Control: Mouse liver , A549 , H1299

    限制

    仅限研究用
  • 状态

    Liquid

    浓度

    1 mg/mL

    缓冲液

    0.1M Tris-Glycine ( pH 7), 10 % Glycerol, 0.01 % Thimerosal

    储存液

    Thimerosal (Merthiolate)

    注意事项

    This product contains Thimerosal (Merthiolate): a POISONOUS AND HAZARDOUS SUBSTANCE which should be handled by trained staff only.

    储存条件

    4 °C,-20 °C

    储存方法

    Store as concentrated solution. Centrifuge briefly prior to opening vial. For short-term storage (1-2 weeks), store at 4°C. For long-term storage, aliquot and store at -20°C or below. Avoid multiple freeze-thaw cycles.
  • 抗原

    FMO3 (Flavin Containing Monooxygenase 3 (FMO3))

    别名

    flavin containing monooxygenase 3

    背景

    The mammalian flavin-containing monooxygenases (FMO, EC 1.14.13.8) represent a multigene family whose gene products are localized in the endoplasmic reticulum of many tissues. These enzymes catalyze the NADPH-dependent oxidative metabolism of many drugs, pesticides, and other foreign compounds. Their substrates are soft nucleophiles with an electron-rich center, typically a nitrogen, sulfur or phosphorus-containing functional group, as the site for oxidative attack by the enzyme (Ziegler, 1990 [PubMed 2203193], Hines et al., 1994 [PubMed 8128486]).[supplied by OMIM]

    Cellular Localization: Microsome membrane , Endoplasmic reticulum membrane

    分子量

    60 kDa

    基因ID

    2328

    UniProt

    P31513
You are here: