电话:
+86 (0512) 65829739
传真:
+86 (010) 6788 5057
电子邮件:
orders@antibodies-online.cn

FMO3 抗体 (N-Term)

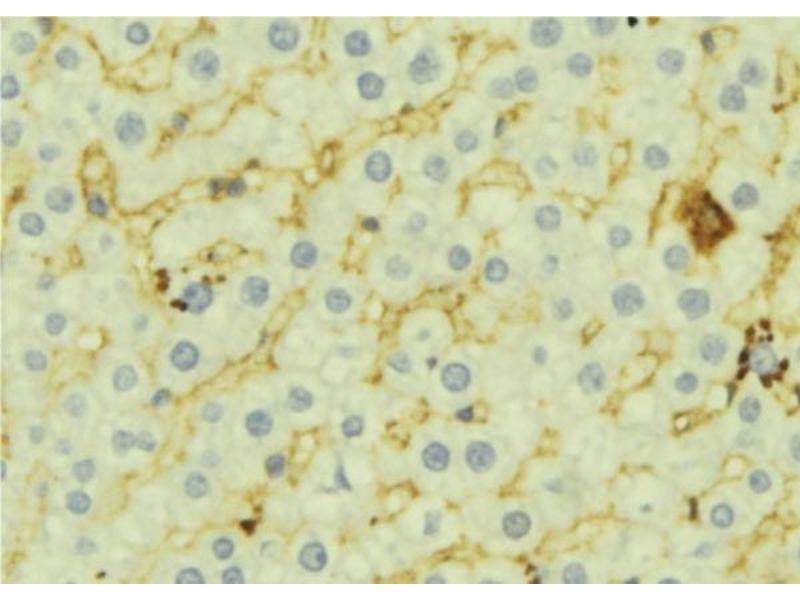
The 兔 多克隆 anti-FMO3 antibody (ABIN6261772) specifically detects FMO3 in WB, ELISA 和 IHC. The antibody is reactive with 人, 小鼠 和 大鼠 samples.
产品编号 ABIN6261772
发货至: 中国
Contact our Customer Service for availability and price in your country. Contact Info

Our Local Distributor

中国
北京 101111
No. 88 KeChuang 6th Street
Beijing Economic Technological Development Area
Room 801-803
4A Biotech Co.,Ltd.
Tel +86 (0512) 65829739 传真 +86 (010) 6788 5057

Quick Overview for FMO3 抗体 (N-Term) (ABIN6261772)

抗原

See all FMO3 抗体
FMO3 (Flavin Containing Monooxygenase 3 (FMO3))

适用

  • 71
  • 26
  • 24
  • 4
  • 4
  • 4
  • 3
  • 3
  • 2
  • 2
  • 2
  • 1
  • 1
人, 小鼠, 大鼠

宿主

  • 68
  • 3

克隆类型

  • 58
  • 13
多克隆

标记

  • 32
  • 5
  • 4
  • 3
  • 2
  • 2
  • 2
  • 2
  • 2
  • 2
  • 1
  • 1
  • 1
  • 1
  • 1
  • 1
  • 1
  • 1
  • 1
  • 1
  • 1
  • 1
  • 1
  • 1
  • 1
This FMO3 antibody is un-conjugated

应用范围

  • 58
  • 21
  • 15
  • 15
  • 14
  • 13
  • 13
  • 10
  • 3
  • 3
  • 3
  • 1
Western Blotting (WB), ELISA, Immunohistochemistry (IHC)
  • 抗原表位

    • 15
    • 7
    • 6
    • 5
    • 4
    • 2
    • 1
    • 1
    • 1
    • 1
    • 1
    • 1
    • 1
    • 1
    • 1
    N-Term

    特异性

    FMO3 Antibody detects endogenous levels of total FMO3.

    预测反应

    Pig,Bovine,Horse,Sheep,Rabbit,Dog

    纯化方法

    The antiserum was purified by peptide affinity chromatography using SulfoLinkTM Coupling Resin (Thermo Fisher Scientific).

    免疫原

    A synthesized peptide derived from human FMO3, corresponding to a region within N-terminal amino acids.

    亚型

    IgG
  • 应用备注

    WB 1:500-1:2000, IHC 1:50-1:200, ELISA(peptide) 1:20000-1:40000

    限制

    仅限研究用
  • 状态

    Liquid

    浓度

    1 mg/mL

    缓冲液

    Rabbit IgG in phosphate buffered saline , pH 7.4, 150 mM NaCl, 0.02 % sodium azide and 50 % glycerol.

    储存液

    Sodium azide

    注意事项

    This product contains Sodium azide: a POISONOUS AND HAZARDOUS SUBSTANCE which should be handled by trained staff only.

    储存条件

    -20 °C

    储存方法

    Store at -20 °C. Stable for 12 months from date of receipt.

    有效期

    12 months
  • 抗原

    FMO3 (Flavin Containing Monooxygenase 3 (FMO3))

    别名

    FMO3

    背景

    Description: Involved in the oxidative metabolism of a variety of xenobiotics such as drugs and pesticides. It N-oxygenates primary aliphatic alkylamines as well as secondary and tertiary amines. Plays an important role in the metabolism of trimethylamine (TMA), via the production of TMA N-oxide (TMAO). Is also able to perform S-oxidation when acting on sulfide compounds (PubMed:9224773).

    Gene: FMO3

    分子量

    60kDa

    基因ID

    2328

    UniProt

    P31513
You are here: