电话:
+86 (0512) 65829739
传真:
+86 (010) 6788 5057
电子邮件:
orders@antibodies-online.cn

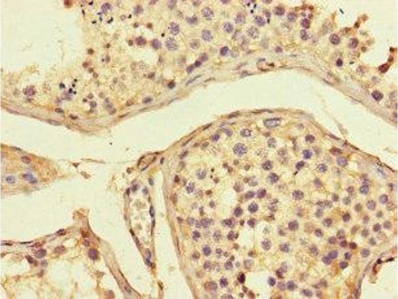
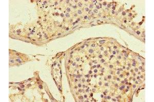
Adenosine A2a Receptor 抗体 (AA 291-412)

The 兔 多克隆 anti-Adenosine A2a Receptor antibody is suitable to detect Adenosine A2a Receptor in samples from 人. It has been validated for ELISA, IHC 和 IF.
产品编号 ABIN7143303
发货至: 中国
Contact our Customer Service for availability and price in your country. Contact Info

Our Local Distributor

中国
北京 101111
No. 88 KeChuang 6th Street
Beijing Economic Technological Development Area
Room 801-803
4A Biotech Co.,Ltd.
Tel +86 (0512) 65829739 传真 +86 (010) 6788 5057

Quick Overview for Adenosine A2a Receptor 抗体 (AA 291-412) (ABIN7143303)

抗原

See all Adenosine A2a Receptor (ADORA2A) 抗体
Adenosine A2a Receptor (ADORA2A)

适用

  • 86
  • 32
  • 28
  • 10
  • 6
  • 4
  • 3
  • 3
  • 2
  • 2
  • 1
  • 1
  • 1

宿主

  • 69
  • 16
  • 2
  • 2
  • 1

克隆类型

  • 73
  • 16
  • 1
多克隆

标记

  • 54
  • 7
  • 3
  • 3
  • 3
  • 2
  • 1
  • 1
  • 1
  • 1
  • 1
  • 1
  • 1
  • 1
  • 1
  • 1
  • 1
  • 1
  • 1
  • 1
  • 1
  • 1
  • 1
  • 1
This Adenosine A2a Receptor antibody is un-conjugated

应用范围

  • 64
  • 31
  • 22
  • 17
  • 15
  • 11
  • 10
  • 3
  • 3
  • 3
  • 2
  • 2
  • 2
  • 1
  • 1
  • 1
  • 1
  • 1
ELISA, Immunohistochemistry (IHC), Immunofluorescence (IF)
  • 抗原表位

    • 12
    • 9
    • 7
    • 5
    • 4
    • 4
    • 3
    • 3
    • 3
    • 3
    • 2
    • 2
    • 2
    • 2
    • 2
    • 2
    • 1
    • 1
    • 1
    • 1
    • 1
    • 1
    • 1
    • 1
    • 1
    • 1
    • 1
    • 1
    • 1
    • 1
    • 1
    • 1
    • 1
    • 1
    AA 291-412

    原理

    ADORA2A Antibody

    纯化方法

    Protein G purified

    纯度

    >95 %

    免疫原

    Recombinant Human Adenosine receptor A2a protein (291-412AA)

    亚型

    IgG
  • 应用备注

    Optimal working dilution should be determined by the investigator.

    限制

    仅限研究用
  • 状态

    Liquid

    缓冲液

    Preservative: 0.03 % Proclin 300
    Constituents: 50 % Glycerol, 0.01M PBS, PH 7.4

    储存液

    ProClin

    注意事项

    This product contains ProClin: a POISONOUS AND HAZARDOUS SUBSTANCE which should be handled by trained staff only.

    储存条件

    -20 °C,-80 °C

    储存方法

    Upon receipt, store at -20°C or -80°C. Avoid repeated freeze.
  • 抗原

    Adenosine A2a Receptor (ADORA2A)

    别名

    ADORA2A

    背景

    Background: Receptor for adenosine. The activity of this receptor is mediated by G proteins which activate adenylyl cyclase.

    Aliases: A2AAR antibody, A2aR antibody, AA2AR_HUMAN antibody, ADENO antibody, Adenosine A2 receptor antibody, Adenosine A2a receptor antibody, Adenosine receptor A2a antibody, Adenosine receptor subtype A2a antibody, ADORA 2 antibody, ADORA2 antibody, ADORA2A antibody, hA2aR antibody, RDC 8 antibody, RDC8 antibody

    UniProt

    P29274

    途径

    Neurotrophin Signaling Pathway, cAMP Metabolic Process, Synaptic Membrane, Feeding Behaviour, Cancer Immune Checkpoints
You are here: