电话:
+86 (0512) 65829739
传真:
+86 (010) 6788 5057
电子邮件:
orders@antibodies-online.cn

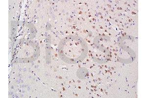
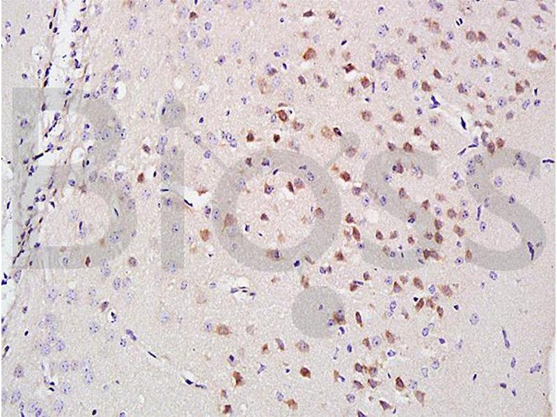
Adenosine A2a Receptor 抗体 (AA 165-300)

This 兔 多克隆 antibody specifically detects Adenosine A2a Receptor in WB, ELISA 和 IHC (p). It exhibits reactivity toward 人, 小鼠 和 大鼠.It has been mentioned in 1 publication
产品编号 ABIN686797
发货至: 中国
Contact our Customer Service for availability and price in your country. Contact Info

Our Local Distributor

中国
北京 101111
No. 88 KeChuang 6th Street
Beijing Economic Technological Development Area
Room 801-803
4A Biotech Co.,Ltd.
Tel +86 (0512) 65829739 传真 +86 (010) 6788 5057

Quick Overview for Adenosine A2a Receptor 抗体 (AA 165-300) (ABIN686797)

抗原

See all Adenosine A2a Receptor (ADORA2A) 抗体
Adenosine A2a Receptor (ADORA2A)

适用

  • 86
  • 31
  • 27
  • 10
  • 6
  • 4
  • 3
  • 3
  • 2
  • 2
  • 1
  • 1
  • 1
人, 小鼠, 大鼠

宿主

  • 69
  • 16
  • 2
  • 2
  • 1

克隆类型

  • 73
  • 16
  • 1
多克隆

标记

  • 54
  • 7
  • 3
  • 3
  • 3
  • 2
  • 1
  • 1
  • 1
  • 1
  • 1
  • 1
  • 1
  • 1
  • 1
  • 1
  • 1
  • 1
  • 1
  • 1
  • 1
  • 1
  • 1
  • 1
This Adenosine A2a Receptor antibody is un-conjugated

应用范围

  • 63
  • 31
  • 23
  • 18
  • 15
  • 10
  • 10
  • 3
  • 3
  • 3
  • 2
  • 2
  • 2
  • 1
  • 1
  • 1
  • 1
  • 1
Western Blotting (WB), ELISA, Immunohistochemistry (Paraffin-embedded Sections) (IHC (p))
  • 抗原表位

    • 12
    • 9
    • 7
    • 5
    • 5
    • 4
    • 3
    • 3
    • 3
    • 2
    • 2
    • 2
    • 2
    • 2
    • 2
    • 2
    • 1
    • 1
    • 1
    • 1
    • 1
    • 1
    • 1
    • 1
    • 1
    • 1
    • 1
    • 1
    • 1
    • 1
    • 1
    • 1
    • 1
    • 1
    AA 165-300

    交叉反应

    人, 小鼠, 大鼠

    预测反应

    Dog,Cow,Pig,Horse,Rabbit

    纯化方法

    Purified by Protein A.

    免疫原

    KLH conjugated synthetic peptide derived from human A2a receptor

    亚型

    IgG
  • 应用备注

    WB 1:300-5000
    ELISA 1:500-1000
    IHC-P 1:200-400

    限制

    仅限研究用
  • 状态

    Liquid

    浓度

    1 μg/μL

    缓冲液

    0.01M TBS( pH 7.4) with 1 % BSA, 0.02 % Proclin300 and 50 % Glycerol.

    储存液

    ProClin

    注意事项

    This product contains ProClin: a POISONOUS AND HAZARDOUS SUBSTANCE, which should be handled by trained staff only.

    储存条件

    4 °C,-20 °C

    储存方法

    Shipped at 4°C. Store at -20°C for one year. Avoid repeated freeze/thaw cycles.

    有效期

    12 months
  • Cao, Dai, Wei, Han, Guan, Li, Liu, Xiao, Li: "Effects of cordycepin on spontaneous alternation behavior and adenosine receptors expression in hippocampus." in: Physiology & behavior, Vol. 184, pp. 135-142, (2017) (PubMed).

  • 抗原

    Adenosine A2a Receptor (ADORA2A)

    别名

    A2AR/Adenosine A2a receptor

    背景

    Synonyms: A2aR, RDC8, ADORA2, Adenosine receptor A2a, ADORA2A

    Background: This gene encodes a protein which is one of several receptor subtypes for adenosine. The activity of the encoded protein, a G protein coupled receptor family member, is mediated by G proteins which activate adenylyl cyclase. The encoded protein is abundant in basal ganglia, vasculature and platelets and it is a major target of caffeine.

    基因ID

    135

    UniProt

    P29274

    途径

    Neurotrophin Signaling Pathway, cAMP Metabolic Process, Synaptic Membrane, Feeding Behaviour, Cancer Immune Checkpoints
You are here: