电话:
+86 (0512) 65829739
传真:
+86 (010) 6788 5057
电子邮件:
orders@antibodies-online.cn

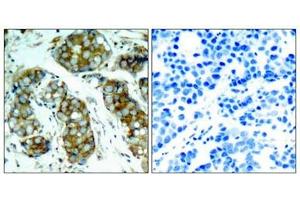
CDC25A 抗体 (pSer76)

The 兔 多克隆 anti-CDC25A antibody is suitable to detect CDC25A in samples from 人. It has been validated for WB, ELISA 和 IHC.
产品编号 ABIN7138695
发货至: 中国
Contact our Customer Service for availability and price in your country. Contact Info

Our Local Distributor

中国
北京 101111
No. 88 KeChuang 6th Street
Beijing Economic Technological Development Area
Room 801-803
4A Biotech Co.,Ltd.
Tel +86 (0512) 65829739 传真 +86 (010) 6788 5057

Quick Overview for CDC25A 抗体 (pSer76) (ABIN7138695)

抗原

See all CDC25A 抗体
CDC25A (Cell Division Cycle 25 Homolog A (S. Pombe) (CDC25A))

适用

  • 206
  • 75
  • 59
  • 6
  • 5
  • 4
  • 4
  • 4
  • 2
  • 1
  • 1
  • 1

宿主

  • 215
  • 7

克隆类型

  • 216
  • 6
多克隆

标记

  • 103
  • 17
  • 14
  • 13
  • 9
  • 9
  • 4
  • 4
  • 4
  • 4
  • 4
  • 4
  • 3
  • 3
  • 3
  • 3
  • 3
  • 3
  • 3
  • 3
  • 3
  • 3
  • 3
This CDC25A antibody is un-conjugated

应用范围

  • 179
  • 106
  • 57
  • 40
  • 40
  • 32
  • 20
  • 17
  • 15
  • 8
  • 7
  • 6
  • 1
  • 1
Western Blotting (WB), ELISA, Immunohistochemistry (IHC)
  • 抗原表位

    • 33
    • 28
    • 19
    • 19
    • 16
    • 12
    • 9
    • 9
    • 8
    • 8
    • 7
    • 7
    • 5
    • 4
    • 2
    • 2
    • 2
    • 2
    • 2
    • 2
    • 1
    • 1
    • 1
    • 1
    • 1
    • 1
    • 1
    • 1
    • 1
    • 1
    • 1
    • 1
    • 1
    • 1
    • 1
    • 1
    • 1
    • 1
    • 1
    • 1
    • 1
    • 1
    • 1
    • 1
    pSer76

    原理

    Phospho-CDC25A (Ser76) Antibody

    交叉反应

    小鼠, 大鼠

    纯化方法

    Antibodies were produced by immunizing rabbits with synthetic phosphopeptide and KLH conjugates. Antibodies were purified by affinity-chromatography using epitope-specific phosphopeptide. Non-phospho specific antibodies were removed by chromatogramphy usi

    免疫原

    Peptide sequence around phosphorylation site of serine 76 (M-G-S(p)-S-E) derived from Human cdc25A.

    亚型

    IgG
  • 应用备注

    Optimal working dilution should be determined by the investigator.

    限制

    仅限研究用
  • 状态

    Liquid

    缓冲液

    Supplied at 1.0 mg/mL in phosphate buffered saline (without Mg2+ and Ca2+), pH 7.4, 150 mM NaCl, 0.02 % sodium azide and 50 % glycerol.

    储存液

    Sodium azide

    注意事项

    This product contains Sodium azide: a POISONOUS AND HAZARDOUS SUBSTANCE which should be handled by trained staff only.

    储存条件

    -20 °C,-80 °C

    储存方法

    Upon receipt, store at -20°C or -80°C. Avoid repeated freeze.
  • 抗原

    CDC25A (Cell Division Cycle 25 Homolog A (S. Pombe) (CDC25A))

    别名

    CDC25A

    背景

    Background: Tyrosine protein phosphatase which functions as a dosage-dependent inducer of mitotic progression. Directly dephosphorylates CDC2 and stimulates its kinase activity. Also dephosphorylates CDK2 in complex with cyclin E, in vitro.

    Jin J, et al. (2003) Genes 17(24): 3062-74.
    Shimuta K, et al. (2002) EMBO J 21(14): 3694-703.

    Aliases: Cdc 25a antibody, CDC25A antibody, CDC25A2 antibody, CDC25A2 CAG isoform antibody, Cell division cycle 25 homolog A (S. pombe) antibody, Cell division cycle 25A antibody, Cell division cycle 25A isoform a antibody, Cell division cycle 25A isoform b antibody, D9Ertd393e antibody, Dual specificity phosphatase Cdc25A antibody, M phase inducer phosphatase 1 antibody, M-phase inducer phosphatase 1 antibody, MGC115549 antibody, MPIP1_HUMAN antibody

    UniProt

    P30304

    途径

    Cell Division Cycle, Mitotic G1-G1/S Phases, M Phase
You are here: