电话:
+86 (0512) 65829739
传真:
+86 (010) 6788 5057
电子邮件:
orders@antibodies-online.cn

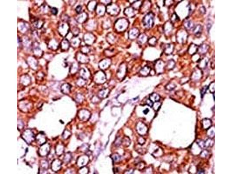
CDC25A 抗体 (pThr507)

The 兔 多克隆 anti-CDC25A antibody (ABIN3030450) specifically detects CDC25A in WB, ELISA, IHC 和 IF. The antibody is reactive with 人 samples.
产品编号 ABIN3030450
发货至: 中国
Contact our Customer Service for availability and price in your country. Contact Info

Our Local Distributor

中国
北京 101111
No. 88 KeChuang 6th Street
Beijing Economic Technological Development Area
Room 801-803
4A Biotech Co.,Ltd.
Tel +86 (0512) 65829739 传真 +86 (010) 6788 5057

Quick Overview for CDC25A 抗体 (pThr507) (ABIN3030450)

抗原

See all CDC25A 抗体
CDC25A (Cell Division Cycle 25 Homolog A (S. Pombe) (CDC25A))

适用

  • 206
  • 75
  • 59
  • 6
  • 5
  • 4
  • 4
  • 4
  • 2
  • 1
  • 1
  • 1

宿主

  • 215
  • 7

克隆类型

  • 216
  • 6
多克隆

标记

  • 103
  • 17
  • 14
  • 13
  • 9
  • 9
  • 4
  • 4
  • 4
  • 4
  • 4
  • 4
  • 3
  • 3
  • 3
  • 3
  • 3
  • 3
  • 3
  • 3
  • 3
  • 3
  • 3
This CDC25A antibody is un-conjugated

应用范围

  • 179
  • 106
  • 60
  • 40
  • 40
  • 29
  • 21
  • 17
  • 15
  • 8
  • 7
  • 6
  • 1
  • 1
Western Blotting (WB), ELISA, Immunohistochemistry (IHC), Immunofluorescence (IF)
  • 抗原表位

    • 33
    • 27
    • 19
    • 19
    • 16
    • 13
    • 9
    • 9
    • 8
    • 8
    • 7
    • 7
    • 5
    • 4
    • 2
    • 2
    • 2
    • 2
    • 2
    • 2
    • 1
    • 1
    • 1
    • 1
    • 1
    • 1
    • 1
    • 1
    • 1
    • 1
    • 1
    • 1
    • 1
    • 1
    • 1
    • 1
    • 1
    • 1
    • 1
    • 1
    • 1
    • 1
    • 1
    • 1
    pThr507

    交叉反应 (详细)

    Expected species reactivity: Mouse, Rat, Bovine

    纯化方法

    Antigen affinity purified

    免疫原

    This phospho-CDC25A antibody was produced from rabbits immunized with a KLH conjugated synthetic phosphopeptide corresponding to amino acid residues surrounding pT507 of human CDC25A.

    亚型

    Ig Fraction
  • 应用备注

    Titration of the phospho-CDC25A antibody may be required due to differences in protocols and secondary/substrate sensitivity.\. Immunofluorescence: 1:25,Western blot: 1:250-1000,IHC (Paraffin): 1:50-1:100

    限制

    仅限研究用
  • 状态

    Liquid

    缓冲液

    In 1X PBS, pH 7.4, with 0.09 % sodium azide

    储存液

    Sodium azide

    注意事项

    This product contains Sodium azide: a POISONOUS AND HAZARDOUS SUBSTANCE which should be handled by trained staff only.

    储存条件

    -20 °C

    储存方法

    Aliquot the phospho-CDC25A antibody and store frozen at -20°C or colder. Avoid repeated freeze-thaw cycles.
  • 抗原

    CDC25A (Cell Division Cycle 25 Homolog A (S. Pombe) (CDC25A))

    别名

    Cdc25A

    背景

    CDC25A is a member of the CDC25 family of phosphatases. CDC25A is required for progression from G1 to the S phase of the cell cycle. It activates the cyclin-dependent kinase CDC2 by removing two phosphate groups. CDC25A is specifically degraded in response to DNA damage, which prevents cells with chromosomal abnormalities from progressing through cell division. CDC25A is an oncogene, although its exact role in oncogenesis has not been demonstrated. Two transcript variants encoding different isoforms have been found for this gene.

    UniProt

    P30304

    途径

    Cell Division Cycle, Mitotic G1-G1/S Phases, M Phase
You are here: