电话:
+86 (0512) 65829739
传真:
+86 (010) 6788 5057
电子邮件:
orders@antibodies-online.cn

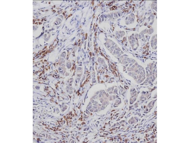
CDC25A 抗体 (pSer124)

This 兔 多克隆 antibody specifically detects CDC25A in WB 和 IHC (p). It exhibits reactivity toward 人. It has been mentioned in 2+ publications
产品编号 ABIN389527
发货至: 中国
Contact our Customer Service for availability and price in your country. Contact Info

Our Local Distributor

中国
北京 101111
No. 88 KeChuang 6th Street
Beijing Economic Technological Development Area
Room 801-803
4A Biotech Co.,Ltd.
Tel +86 (0512) 65829739 传真 +86 (010) 6788 5057

Quick Overview for CDC25A 抗体 (pSer124) (ABIN389527)

抗原

See all CDC25A 抗体
CDC25A (Cell Division Cycle 25 Homolog A (S. Pombe) (CDC25A))

适用

  • 206
  • 75
  • 59
  • 6
  • 5
  • 4
  • 4
  • 4
  • 2
  • 1
  • 1
  • 1

宿主

  • 215
  • 7

克隆类型

  • 216
  • 6
多克隆

标记

  • 103
  • 17
  • 14
  • 13
  • 9
  • 9
  • 4
  • 4
  • 4
  • 4
  • 4
  • 4
  • 3
  • 3
  • 3
  • 3
  • 3
  • 3
  • 3
  • 3
  • 3
  • 3
  • 3
This CDC25A antibody is un-conjugated

应用范围

  • 179
  • 107
  • 61
  • 40
  • 40
  • 28
  • 22
  • 17
  • 15
  • 8
  • 7
  • 6
  • 1
  • 1
Western Blotting (WB), Immunohistochemistry (Paraffin-embedded Sections) (IHC (p))

克隆位点

RB07634
  • 抗原表位

    • 32
    • 28
    • 19
    • 19
    • 16
    • 13
    • 9
    • 9
    • 8
    • 8
    • 7
    • 7
    • 5
    • 4
    • 2
    • 2
    • 2
    • 2
    • 2
    • 2
    • 1
    • 1
    • 1
    • 1
    • 1
    • 1
    • 1
    • 1
    • 1
    • 1
    • 1
    • 1
    • 1
    • 1
    • 1
    • 1
    • 1
    • 1
    • 1
    • 1
    • 1
    • 1
    • 1
    • 1
    pSer124

    预测反应

    Rat

    纯化方法

    This antibody is purified through a protein A column, followed by peptide affinity purification.

    免疫原

    This CDC25A Antibody is generated from rabbits immunized with a KLH conjugated synthetic phosphopeptide corresponding to amino acid residues surrounding S124 of human CDC25A.

    亚型

    Ig Fraction
  • 应用备注

    WB: 1:500. WB: 1:500. WB: 1:500. WB: 1:1000. IHC-P: 1:100. IHC-P: 1:50~100

    限制

    仅限研究用
  • 状态

    Liquid

    缓冲液

    Purified polyclonal antibody supplied in PBS with 0.09 % (W/V) sodium azide.

    储存液

    Sodium azide

    注意事项

    This product contains Sodium azide: a POISONOUS AND HAZARDOUS SUBSTANCE which should be handled by trained staff only.

    储存条件

    4 °C,-20 °C

    储存方法

    Maintain refrigerated at 2-8 °C for up to 6 months. For long term storage store at -20 °C in small aliquots to prevent freeze-thaw cycles.

    有效期

    6 months
  • Zoppoli, Solier, Reinhold, Liu, Connelly, Monks, Shoemaker, Abaan, Davis, Meltzer, Doroshow, Pommier: "CHEK2 genomic and proteomic analyses reveal genetic inactivation or endogenous activation across the 60 cell lines of the US National Cancer Institute." in: Oncogene, Vol. 31, Issue 4, pp. 403-18, (2012) (PubMed).

    Solier, Sordet, Kohn, Pommier: "Death receptor-induced activation of the Chk2- and histone H2AX-associated DNA damage response pathways." in: Molecular and cellular biology, Vol. 29, Issue 1, pp. 68-82, (2008) (PubMed).

  • 抗原

    CDC25A (Cell Division Cycle 25 Homolog A (S. Pombe) (CDC25A))

    别名

    CDC25A

    背景

    CDC25A is a member of the CDC25 family of phosphatases. CDC25A is required for progression from G1 to the S phase of the cell cycle. It activates the cyclin-dependent kinase CDC2 by removing two phosphate groups. CDC25A is specifically degraded in response to DNA damage, which prevents cells with chromosomal abnormalities from progressing through cell division. CDC25A is an oncogene, although its exact role in oncogenesis has not been demonstrated. Two transcript variants encoding different isoforms have been found for this gene.

    分子量

    59087

    基因ID

    993

    NCBI登录号

    NP_001780, NP_963861

    UniProt

    P30304

    途径

    Cell Division Cycle, Mitotic G1-G1/S Phases, M Phase
You are here: