CDC25A 抗体 (pThr507)
Our Local Distributor
北京 101111
Quick Overview for CDC25A 抗体 (pThr507) (ABIN684028)
抗原
See all CDC25A 抗体适用
宿主
克隆类型
标记
应用范围
-
-
抗原表位
- pThr507
-
特异性
- This phosphorylation site is homologous to Thr497 in Mouse and Thr508 in Rat.
-
交叉反应
- 小鼠
-
预测反应
- Human,Rat,Dog,Cow,Chicken
-
纯化方法
- Purified by Protein A.
-
免疫原
- KLH conjugated synthetic phosphopeptide derived from human cdc25A around the phosphorylation site of Thr507 [SR(p-T)WA]
-
亚型
- IgG
-
-
-
-
应用备注
-
WB 1:300-5000
ELISA 1:500-1000
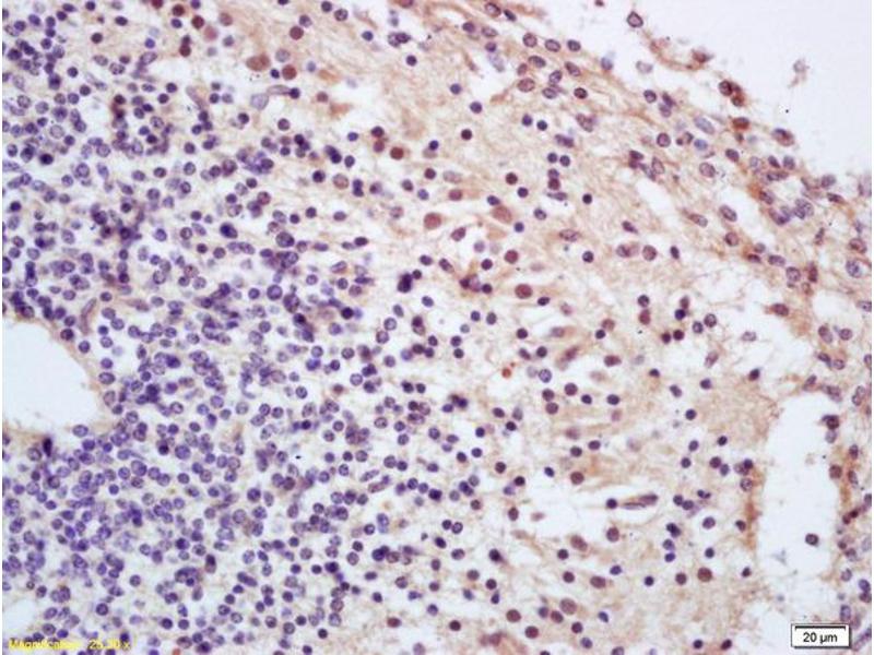
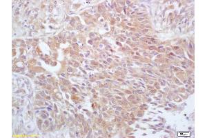
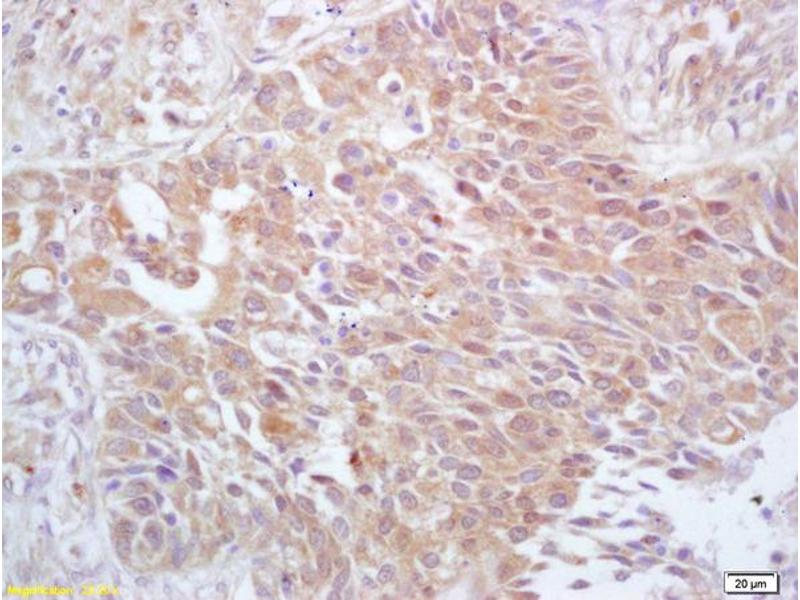
IHC-P 1:200-400
IHC-F 1:100-500
IF(IHC-P) 1:50-200
IF(IHC-F) 1:50-200
IF(ICC) 1:50-200 -
限制
- 仅限研究用
-
-
-
状态
- Liquid
-
浓度
- 1 μg/μL
-
缓冲液
- 0.01M TBS( pH 7.4) with 1 % BSA, 0.02 % Proclin300 and 50 % Glycerol.
-
储存液
- ProClin
-
注意事项
- This product contains ProClin: a POISONOUS AND HAZARDOUS SUBSTANCE, which should be handled by trained staff only.
-
储存条件
- 4 °C,-20 °C
-
储存方法
- Shipped at 4°C. Store at -20°C for one year. Avoid repeated freeze/thaw cycles.
-
有效期
- 12 months
-
-
- CDC25A (Cell Division Cycle 25 Homolog A (S. Pombe) (CDC25A))
-
别名
- cdc25A
-
背景
-
Synonyms: CDC25A2, M-phase inducer phosphatase 1, Dual specificity phosphatase Cdc25A, CDC25A
Background: Tyrosine protein phosphatase which functions as a dosage-dependent inducer of mitotic progression. Directly dephosphorylates CDK1 and stimulates its kinase activity. Also dephosphorylates CDK2 in complex with cyclin E, in vitro.
-
基因ID
- 993
-
UniProt
- P30304
-
途径
- Cell Division Cycle, Mitotic G1-G1/S Phases, M Phase
抗原
-