Recombinant Growth Hormone Receptor 抗体
Our Local Distributor
北京 101111
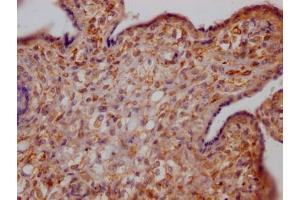
Quick Overview for Recombinant Growth Hormone Receptor 抗体 (ABIN7127528)
抗原
See all Growth Hormone Receptor (GHR) 抗体抗体类型
适用
宿主
克隆类型
标记
应用范围
克隆位点
-
-
原理
- GHR Recombinant Monoclonal Antibody
-
纯化方法
- Affinity-chromatography
-
免疫原
- A synthesized peptide derived from human Growth hormone receptor
-
亚型
- IgG
-
-
-
-
应用备注
- IHC:1:50-1:200, IF:1:20-1:200
-
限制
- 仅限研究用
-
-
-
状态
- Liquid
-
缓冲液
- phosphate buffered saline, pH 7.4, 150 mM NaCl, 0.02 % sodium azide and 50 % glycerol.
-
储存液
- Sodium azide
-
注意事项
- This product contains Sodium azide: a POISONOUS AND HAZARDOUS SUBSTANCE which should be handled by trained staff only.
-
储存条件
- -20 °C,-80 °C
-
储存方法
- Upon receipt, store at -20°C or -80°C. Avoid repeated freeze.
-
-
- Growth Hormone Receptor (GHR)
-
别名
- GHR
-
背景
-
Background: Receptor for pituitary gland growth hormone involved in regulating postnatal body growth. On ligand binding, couples to the JAK2/STAT5 pathway (By similarity).
Aliases: Growth hormone receptor (GH receptor) (Somatotropin receptor) [Cleaved into: Growth hormone-binding protein (GH-binding protein) (GHBP) (Serum-binding protein)], GHR
-
UniProt
- P10912
-
途径
- NF-kappaB Signaling, JAK/STAT Signaling, Response to Growth Hormone Stimulus
抗原
-