电话:
+86 (0512) 65829739
传真:
+86 (010) 6788 5057
电子邮件:
orders@antibodies-online.cn

alpha Sarcomeric Actin 抗体

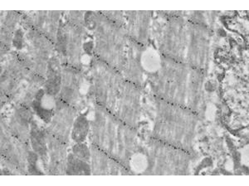
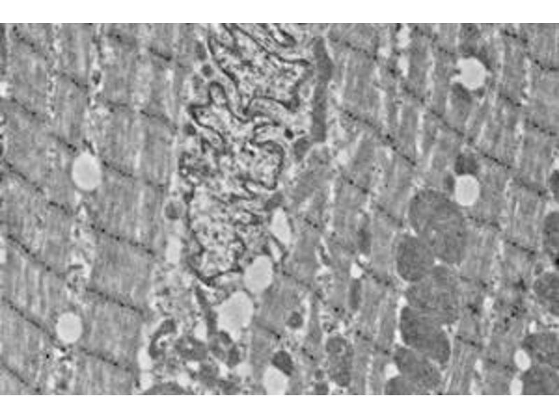
The 兔 多克隆 anti-alpha Sarcomeric Actin antibody (ABIN7075510) specifically detects alpha Sarcomeric Actin in WB, IHC, IEM 和 IF. The antibody is reactive with 小鼠 和 大鼠 samples.
产品编号 ABIN7075510
发货至: 中国
Contact our Customer Service for availability and price in your country. Contact Info

Our Local Distributor

中国
北京 101111
No. 88 KeChuang 6th Street
Beijing Economic Technological Development Area
Room 801-803
4A Biotech Co.,Ltd.
Tel +86 (0512) 65829739 传真 +86 (010) 6788 5057

Quick Overview for alpha Sarcomeric Actin 抗体 (ABIN7075510)

抗原

alpha Sarcomeric Actin

适用

小鼠, 大鼠

宿主

  • 1

克隆类型

  • 1
多克隆

标记

  • 1
非结合性

应用范围

Western Blotting (WB), Immunohistochemistry (IHC), Immunoelectron Microscopy (IEM), Immunofluorescence (IF)
  • 交叉反应

    大鼠

    纯化方法

    Affinity purification

    免疫原

    KLH conjugated Synthetic peptide corresponding to Mouse alpha Actinin 2
  • 应用备注

    WB (M,R) 1:2000, IHC/IF ,IEM (M,R) 1:500-1:1000/1:2000/1:50

    限制

    仅限研究用
  • 状态

    Liquid

    缓冲液

    PBS, pH 7.4, 0.02 % sodium azide

    储存液

    Sodium azide

    注意事项

    This product contains Sodium azide: a POISONOUS AND HAZARDOUS SUBSTANCE which should be handled by trained staff only.

    储存条件

    -20 °C
  • 抗原

    alpha Sarcomeric Actin

    别名

    Sarcomeric Alpha Actinin

    背景

    The primary function of alpha-actinin 2 is to crosslink filamentous actin molecules and titin molecules from adjoining sarcomeres at Z-discs, a function that is modulated by phospholipids. It is clear from studies by Hampton etal. that this crosslinking can assume a variety of conformations, with preferences for 60° and 120° angles. Alpha-actinin 2 also functions in docking signaling molecules at Z-discs, and additional studies have also implicated alpha-actinin 2 in the binding of cardiac ion channels, Kv1.5 in particular.

    分子量

    104 kDa

    基因ID

    11472

    NCBI登录号

    NP_150371

    UniProt

    Q9JI91
You are here: