电话:
+86 (0512) 65829739
传真:
+86 (010) 6788 5057
电子邮件:
orders@antibodies-online.cn

Neuregulin 2 抗体

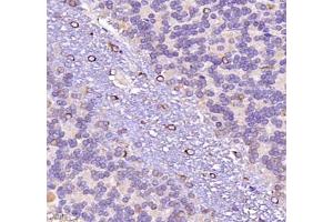
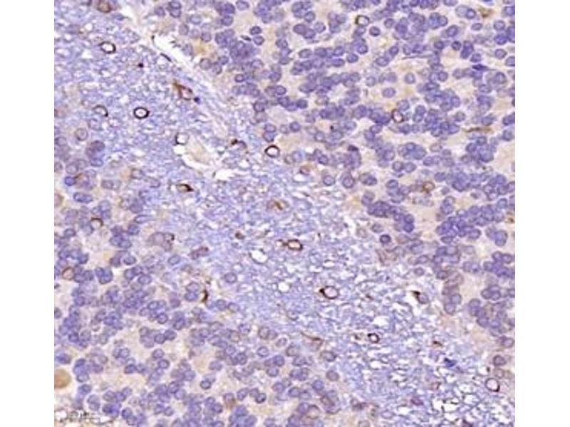
The 兔 多克隆 anti-Neuregulin 2 antibody is suitable to detect Neuregulin 2 in samples from 大鼠 和 小鼠. It has been validated for WB, IHC 和 IF.
产品编号 ABIN7074804
发货至: 中国
Contact our Customer Service for availability and price in your country. Contact Info

Our Local Distributor

中国
北京 101111
No. 88 KeChuang 6th Street
Beijing Economic Technological Development Area
Room 801-803
4A Biotech Co.,Ltd.
Tel +86 (0512) 65829739 传真 +86 (010) 6788 5057

Quick Overview for Neuregulin 2 抗体 (ABIN7074804)

抗原

See all Neuregulin 2 (NRG2) 抗体
Neuregulin 2 (NRG2)

适用

  • 34
  • 9
  • 4
  • 1
  • 1
  • 1
  • 1
  • 1
大鼠, 小鼠

宿主

  • 34
  • 4

克隆类型

  • 35
  • 3
多克隆

标记

  • 20
  • 5
  • 3
  • 2
  • 1
  • 1
  • 1
  • 1
  • 1
  • 1
  • 1
  • 1
This Neuregulin 2 antibody is un-conjugated

应用范围

  • 20
  • 19
  • 17
  • 6
  • 5
  • 3
  • 2
  • 2
Western Blotting (WB), Immunohistochemistry (IHC), Immunofluorescence (IF)
  • 交叉反应

    小鼠, 大鼠

    纯化方法

    Affinity purification

    免疫原

    Recombinant protein corresponding to Human NRG2
  • 应用备注

    WB (M) 1:500-1:1000, IHC/IF (M,R) 1:500-1:1500/1:500-1:1000

    限制

    仅限研究用
  • 状态

    Liquid

    缓冲液

    PBS, pH 7.4, 0.02 % sodium azide

    储存液

    Sodium azide

    注意事项

    This product contains Sodium azide: a POISONOUS AND HAZARDOUS SUBSTANCE which should be handled by trained staff only.

    储存条件

    -20 °C
  • 抗原

    Neuregulin 2 (NRG2)

    别名

    NRG2

    背景

    This gene encodes a novel member of the neuregulin family of growth and differentiation factors. Through interaction with the ERBB family of receptors, this protein induces the growth and differentiation of epithelial, neuronal, glial, and other types of cells. The gene consists of 12 exons and the genomic structure is similar to that of neuregulin 1, another member of the neuregulin family of ligands. The products of these genes mediate distinct biological processes by acting at different sites in tissues and eliciting different biological responses in cells. This gene is located close to the region for demyelinating Charcot-Marie-Tooth disease locus, but is not responsible for this disease.

    分子量

    95 kDa

    基因ID

    9542

    NCBI登录号

    NP_001171864

    UniProt

    O14511

    途径

    RTK signaling, Fc-epsilon Receptor Signaling Pathway, EGFR Signaling Pathway, Neurotrophin Signaling Pathway
You are here: