电话:
+86 (0512) 65829739
传真:
+86 (010) 6788 5057
电子邮件:
orders@antibodies-online.cn

Mannose Receptor 抗体

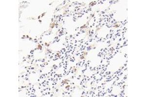
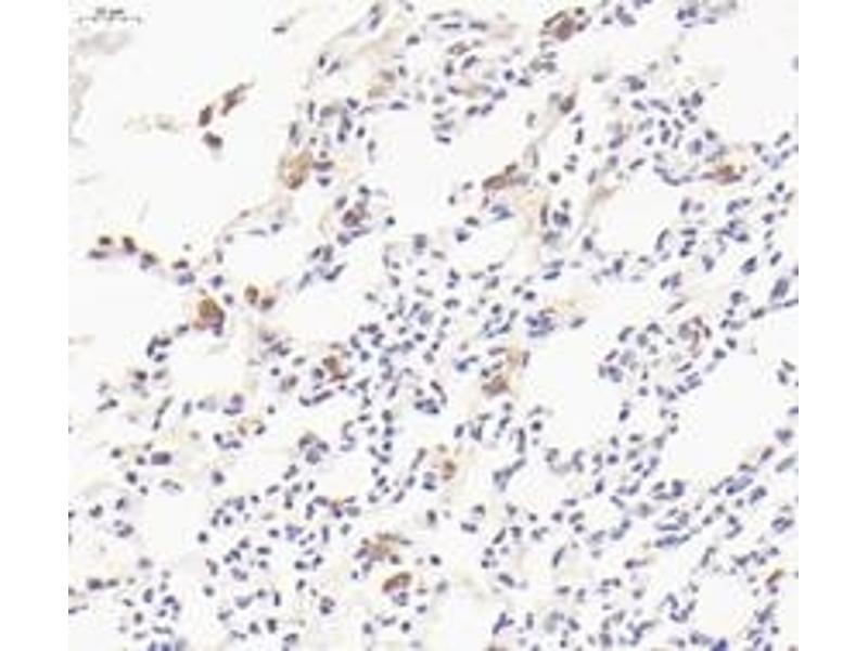
The 兔 多克隆 anti-Mannose Receptor antibody (ABIN7074550) specifically detects Mannose Receptor in IHC 和 IF. The antibody is reactive with 小鼠 samples.
产品编号 ABIN7074550
发货至: 中国
Contact our Customer Service for availability and price in your country. Contact Info

Our Local Distributor

中国
北京 101111
No. 88 KeChuang 6th Street
Beijing Economic Technological Development Area
Room 801-803
4A Biotech Co.,Ltd.
Tel +86 (0512) 65829739 传真 +86 (010) 6788 5057

Quick Overview for Mannose Receptor 抗体 (ABIN7074550)

抗原

See all Mannose Receptor (MR) 抗体
Mannose Receptor (MR)

适用

  • 31
  • 17
  • 2
  • 1
小鼠

宿主

  • 22
  • 9
  • 8

克隆类型

  • 26
  • 13
多克隆

标记

  • 16
  • 5
  • 3
  • 3
  • 2
  • 1
  • 1
  • 1
  • 1
  • 1
  • 1
  • 1
  • 1
  • 1
  • 1
This Mannose Receptor antibody is un-conjugated

应用范围

  • 20
  • 18
  • 10
  • 9
  • 8
  • 6
  • 3
  • 2
  • 1
  • 1
  • 1
  • 1
Immunohistochemistry (IHC), Immunofluorescence (IF)
  • 纯化方法

    Affinity purification

    免疫原

    KLH conjugated Synthetic peptide corresponding to Mouse Mannose Receptor
  • 应用备注

    IHC/IF (M) 1:400-1:800

    限制

    仅限研究用
  • 状态

    Liquid

    缓冲液

    PBS, pH 7.4, 0.02 % sodium azide

    储存液

    Sodium azide

    注意事项

    This product contains Sodium azide: a POISONOUS AND HAZARDOUS SUBSTANCE which should be handled by trained staff only.

    储存条件

    -20 °C
  • 抗原

    Mannose Receptor (MR)

    别名

    Mannose Receptor

    背景

    CD206, also named as MMR, CLEC13D and MRC1, is a type I membrane receptor that mediates the endocytosis of glycoproteins by macrophages. CD206 has been shown to bind high-mannose structures on the surface of potentially pathogenic viruses, bacteria, and fungi so that they can be neutralized by phagocytic engulfment. CD206 is a 170 kDa transmembrane glycoprotein which contains 5 domains: an amino-terminal cysteine-rich region, a fibronectin type II repeat, a series of eight tandem lectin-like carbohydrate recognition domains (responsible for the recognition of mannose and fucose), a transmembrane domain, and an intracellular carboxy-terminal tail.

    基因ID

    17533

    UniProt

    Q61830
You are here: