电话:
+86 (0512) 65829739
传真:
+86 (010) 6788 5057
电子邮件:
orders@antibodies-online.cn

CD51 抗体

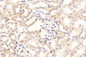
This 兔 多克隆 antibody specifically detects CD51 in IHC 和 IF. It exhibits reactivity toward 人, 小鼠 和 大鼠.
产品编号 ABIN7074314
发货至: 中国
Contact our Customer Service for availability and price in your country. Contact Info

Our Local Distributor

中国
北京 101111
No. 88 KeChuang 6th Street
Beijing Economic Technological Development Area
Room 801-803
4A Biotech Co.,Ltd.
Tel +86 (0512) 65829739 传真 +86 (010) 6788 5057

Quick Overview for CD51 抗体 (ABIN7074314)

抗原

See all CD51 (ITGAV) 抗体
CD51 (ITGAV) (Integrin alpha V (ITGAV))

适用

  • 153
  • 87
  • 54
  • 16
  • 5
  • 5
  • 5
  • 2
  • 2
  • 2
  • 2
  • 1
  • 1
  • 1
人, 小鼠, 大鼠

宿主

  • 102
  • 51
  • 13

克隆类型

  • 105
  • 60
多克隆

标记

  • 77
  • 10
  • 9
  • 6
  • 5
  • 5
  • 5
  • 5
  • 5
  • 5
  • 3
  • 3
  • 3
  • 2
  • 2
  • 1
  • 1
  • 1
  • 1
  • 1
  • 1
  • 1
  • 1
  • 1
  • 1
  • 1
  • 1
  • 1
  • 1
  • 1
  • 1
  • 1
  • 1
  • 1
  • 1
  • 1
This CD51 antibody is un-conjugated

应用范围

  • 99
  • 76
  • 62
  • 36
  • 34
  • 32
  • 21
  • 15
  • 14
  • 13
  • 12
  • 9
  • 4
  • 4
  • 2
  • 1
  • 1
Immunohistochemistry (IHC), Immunofluorescence (IF)
  • 交叉反应

    人, 大鼠

    纯化方法

    Affinity purification

    免疫原

    KLH conjugated Synthetic peptide corresponding to Mouse Integrin alpha-V
  • 应用备注

    IHC/IF (H,M,R) 1:500-1:2000/1:500-1:1000

    限制

    仅限研究用
  • 状态

    Liquid

    缓冲液

    PBS, pH 7.4, 0.02 % sodium azide

    储存液

    Sodium azide

    注意事项

    This product contains Sodium azide: a POISONOUS AND HAZARDOUS SUBSTANCE which should be handled by trained staff only.

    储存条件

    -20 °C
  • 抗原

    CD51 (ITGAV) (Integrin alpha V (ITGAV))

    别名

    Integrin alpha V

    背景

    The alpha-V (ITGAV) integrins are receptors for vitronectin, cytotactin, fibronectin, fibrinogen, laminin, matrix metalloproteinase-2, osteopontin, osteomodulin, prothrombin, thrombospondin and vWF. They recognize the sequence R-G-D in a wide array of ligands. ITGAV:ITGB3 binds to fractalkine (CX3CL1) and may act as its coreceptor in CX3CR1-dependent fractalkine signaling . ITGAV:ITGB3 binds to NRG1 (via EGF domain) and this binding is essential for NRG1-ERBB signaling. ITGAV:ITGB3 binds to FGF1 and this binding is essential for FGF1 signaling . ITGAV:ITGB3 binds to IGF1 and this binding is essential for IGF1 signaling. ITGAV:ITGB3 binds to PLA2G2A via a site (site 2) which is distinct from the classical ligand-binding site (site 1) and this induces integrin conformational changes and enhanced ligand binding to site 1.

    基因ID

    16410

    NCBI登录号

    NP_032428

    UniProt

    P43406

    途径

    Cell-Cell Junction Organization, Signaling Events mediated by VEGFR1 and VEGFR2, Growth Factor Binding, Integrin Complex
You are here: