电话:
+86 (0512) 65829739
传真:
+86 (010) 6788 5057
电子邮件:
orders@antibodies-online.cn

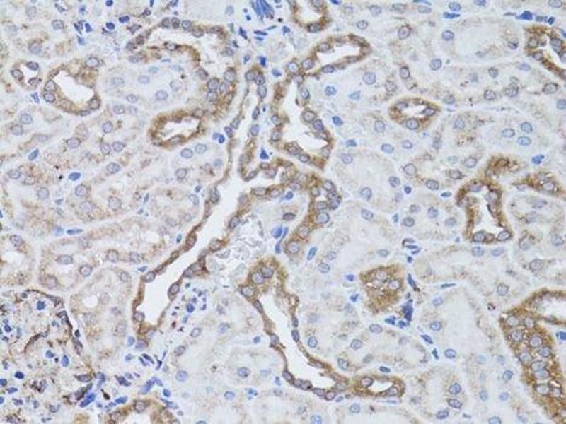
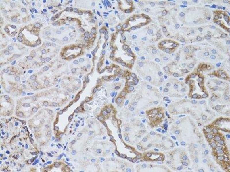
CD51 抗体 (C-Term)

This 兔 多克隆 antibody specifically detects CD51 in WB, IHC 和 IP. It exhibits reactivity toward 人.
产品编号 ABIN3022888
发货至: 中国
Contact our Customer Service for availability and price in your country. Contact Info

Our Local Distributor

中国
北京 101111
No. 88 KeChuang 6th Street
Beijing Economic Technological Development Area
Room 801-803
4A Biotech Co.,Ltd.
Tel +86 (0512) 65829739 传真 +86 (010) 6788 5057

Quick Overview for CD51 抗体 (C-Term) (ABIN3022888)

抗原

See all CD51 (ITGAV) 抗体
CD51 (ITGAV) (Integrin alpha V (ITGAV))

适用

  • 153
  • 88
  • 55
  • 16
  • 5
  • 5
  • 5
  • 2
  • 2
  • 2
  • 2
  • 1
  • 1
  • 1

宿主

  • 102
  • 51
  • 13

克隆类型

  • 105
  • 60
多克隆

标记

  • 77
  • 10
  • 9
  • 6
  • 5
  • 5
  • 5
  • 5
  • 5
  • 5
  • 3
  • 3
  • 3
  • 2
  • 2
  • 1
  • 1
  • 1
  • 1
  • 1
  • 1
  • 1
  • 1
  • 1
  • 1
  • 1
  • 1
  • 1
  • 1
  • 1
  • 1
  • 1
  • 1
  • 1
  • 1
  • 1
This CD51 antibody is un-conjugated

应用范围

  • 98
  • 76
  • 62
  • 35
  • 35
  • 32
  • 21
  • 15
  • 14
  • 13
  • 12
  • 9
  • 4
  • 4
  • 2
  • 1
  • 1
Western Blotting (WB), Immunohistochemistry (IHC), Immunoprecipitation (IP)
  • 抗原表位

    • 16
    • 7
    • 5
    • 5
    • 3
    • 3
    • 2
    • 2
    • 2
    • 1
    • 1
    • 1
    • 1
    • 1
    • 1
    • 1
    • 1
    • 1
    C-Term

    序列

    LKSSASFNVI EFPYKNLPIE DITNSTLVTT NVTWGIQPAP MPVPVWVIIL AVLAGLLLLA VLVFVMYRMG FFKRVRPPQE EQEREQLQPH ENGEGNSET

    交叉反应

    人, 小鼠, 大鼠

    产品特性

    Polyclonal Antibodies

    免疫原

    A synthetic peptide corresponding to a sequence within amino acids 950 to the C-terminus of human Integrin alpha V (ITGAV/CD51) (NP_002201.1).

    亚型

    IgG
  • 应用备注

    WB,1:500 - 1:2000,IHC,1:50 - 1:200,IP,1:50 - 1:200

    限制

    仅限研究用
  • 状态

    Liquid

    缓冲液

    PBS with 0.02 % sodium azide,50 % glycerol, pH 7.3.

    储存液

    Sodium azide

    注意事项

    This product contains Sodium azide: a POISONOUS AND HAZARDOUS SUBSTANCE which should be handled by trained staff only.

    注意事项

    Avoid freeze / thaw cycles

    储存条件

    -20 °C

    储存方法

    Store at -20°C. Avoid freeze / thaw cycles.
  • 抗原

    CD51 (ITGAV) (Integrin alpha V (ITGAV))

    别名

    ITGAV

    背景

    The product of this gene belongs to the integrin alpha chain family. Integrins are heterodimeric integral membrane proteins composed of an alpha subunit and a beta subunit that function in cell surface adhesion and signaling. The encoded preproprotein is proteolytically processed to generate light and heavy chains that comprise the alpha V subunit. This subunit associates with beta 1, beta 3, beta 5, beta 6 and beta 8 subunits. The heterodimer consisting of alpha V and beta 3 subunits is also known as the vitronectin receptor. This integrin may regulate angiogenesis and cancer progression. Alternative splicing results in multiple transcript variants. Note that the integrin alpha 5 and integrin alpha V subunits are encoded by distinct genes.,CD51,MSK8,VNRA,VTNR,Integrin alpha V,ITGAV,Signal Transduction,G protein signaling,G2/M DNA Damage Checkpoint,PI3K-Akt Signaling Pathway,MAPK-Erk Signaling Pathway,Cell Biology & Developmental Biology,Immunology & Inflammation,CD markers,ITGAV

    分子量

    111 kDa/112 kDa/116 kDa

    基因ID

    3685

    UniProt

    P06756

    途径

    Cell-Cell Junction Organization, Signaling Events mediated by VEGFR1 and VEGFR2, Growth Factor Binding, Integrin Complex
You are here: