电话:
+86 (0512) 65829739
传真:
+86 (010) 6788 5057
电子邮件:
orders@antibodies-online.cn

CD51 抗体 (C-Term)

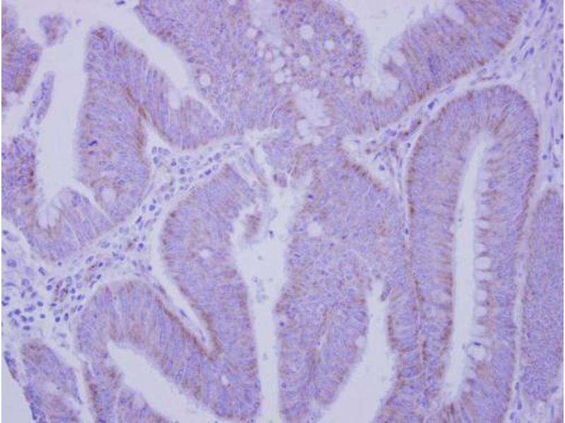
The 兔 多克隆 anti-CD51 antibody is suitable to detect CD51 in samples from 人 和 小鼠. It has been validated for WB, ELISA 和 IHC (p).
产品编号 ABIN2854865
发货至: 中国
Contact our Customer Service for availability and price in your country. Contact Info

Our Local Distributor

中国
北京 101111
No. 88 KeChuang 6th Street
Beijing Economic Technological Development Area
Room 801-803
4A Biotech Co.,Ltd.
Tel +86 (0512) 65829739 传真 +86 (010) 6788 5057

Quick Overview for CD51 抗体 (C-Term) (ABIN2854865)

抗原

See all CD51 (ITGAV) 抗体
CD51 (ITGAV) (Integrin alpha V (ITGAV))

适用

  • 153
  • 87
  • 55
  • 16
  • 5
  • 5
  • 5
  • 2
  • 2
  • 2
  • 2
  • 1
  • 1
  • 1
人, 小鼠

宿主

  • 102
  • 51
  • 13

克隆类型

  • 105
  • 60
多克隆

标记

  • 77
  • 10
  • 9
  • 6
  • 5
  • 5
  • 5
  • 5
  • 5
  • 5
  • 3
  • 3
  • 3
  • 2
  • 2
  • 1
  • 1
  • 1
  • 1
  • 1
  • 1
  • 1
  • 1
  • 1
  • 1
  • 1
  • 1
  • 1
  • 1
  • 1
  • 1
  • 1
  • 1
  • 1
  • 1
  • 1
This CD51 antibody is un-conjugated

应用范围

  • 98
  • 76
  • 63
  • 36
  • 35
  • 31
  • 21
  • 15
  • 14
  • 13
  • 12
  • 8
  • 4
  • 4
  • 2
  • 1
  • 1
Western Blotting (WB), ELISA, Immunohistochemistry (Paraffin-embedded Sections) (IHC (p))
  • 抗原表位

    • 16
    • 7
    • 5
    • 5
    • 3
    • 3
    • 2
    • 2
    • 2
    • 1
    • 1
    • 1
    • 1
    • 1
    • 1
    • 1
    • 1
    • 1
    C-Term

    交叉反应

    猪, 牛

    交叉反应 (详细)

    Pig (92 %), Bovine (91 %)

    产品特性

    Rabbit Polyclonal antibody to Integrin alpha V (integrin, alpha V (vitronectin receptor, alpha polypeptide, antigen CD51))
    Integrin alpha V antibody [C2C3], C-term

    纯化方法

    Purified by antigen-affinity chromatography.

    免疫原

    Recombinant protein encompassing a sequence within the C-terminus region of human Integrin alpha V. The exact sequence is proprietary.

    亚型

    IgG
  • 应用备注

    Suggested dilution Reference ELISA Assay-dependent dilution IHC (Formalin-fixed paraffin-embedded sections) 1:100-1:1000* Western blot 1:500-1:3000* Not tested in other applications. *Optimal dilutions/concentrations should be determined by the researcher.Suggested dilutionReferenceELISAAssay-dependent dilution IHC (Formalin-fixed paraffin-embedded sections)1:100-1:1000* Western blot1:500-1:3000*

    说明

    Positive Control: RD (Rhabdomyosarcoma) cell (Mock control) , RD transfected scramble siRNA , HUVEC

    限制

    仅限研究用
  • 状态

    Liquid

    浓度

    0.58 mg/mL

    缓冲液

    0.1M Tris, 0.1M Glycine, 10 % Glycerol ( pH 7). 0.01 % Thimerosal was added as a preservative.

    储存液

    Thimerosal (Merthiolate)

    注意事项

    This product contains Thimerosal (Merthiolate): a POISONOUS AND HAZARDOUS SUBSTANCE which should be handled by trained staff only.

    储存条件

    -20 °C

    储存方法

    Keep as concentrated solution. Aliquot and store at -20°C or below. Avoid multiple freeze-thaw cycles.
  • 抗原

    CD51 (ITGAV) (Integrin alpha V (ITGAV))

    别名

    Integrin alpha V

    背景

    ITAGV encodes integrin alpha chain V. Integrins are heterodimeric integral membrane proteins composed of an alpha chain and a beta chain. The I-domain containing integrin alpha V undergoes post-translational cleavage to yield disulfide-linked heavy and light chains, that combine with multiple integrin beta chains to form different integrins. Among the known associating beta chains (beta chains 1,3,5,6, and 8, 'ITGB1', 'ITGB3', 'ITGB5', 'ITGB6', and 'ITGB8'), each can interact with extracellular matrix ligands, the alpha V beta 3 integrin, perhaps the most studied of these, is referred to as the Vitronectin receptor (VNR). In addition to adhesion, many integrins are known to facilitate signal transduction. Alternative splicing results in multiple transcript variants.

    Cellular Localization: Membrane, Single-pass type I membrane protein

    分子量

    116 kDa

    基因ID

    3685

    途径

    Cell-Cell Junction Organization, Signaling Events mediated by VEGFR1 and VEGFR2, Growth Factor Binding, Integrin Complex
You are here: