BIRC3 抗体
Our Local Distributor
北京 101111
Quick Overview for BIRC3 抗体 (ABIN7073179)
抗原
See all BIRC3 抗体适用
宿主
克隆类型
标记
应用范围
-
-
交叉反应
- 大鼠
-
纯化方法
- Affinity purification
-
免疫原
- KLH conjugated Synthetic peptide corresponding to Mouse cIAP2
-
-
-
-
应用备注
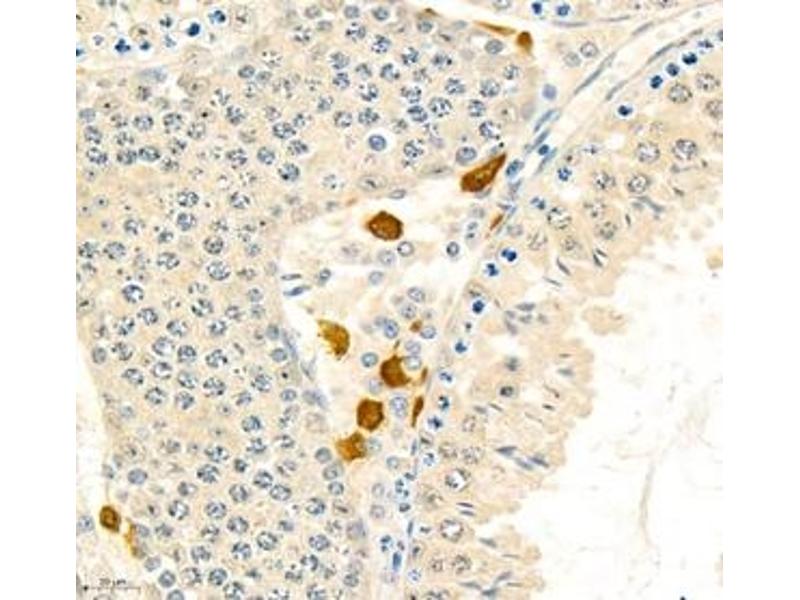
- WB (M,R) 1: 500-1: 1000, IHC/IF (M,R) 1:1500-1:3000/1:750-1:1500
-
限制
- 仅限研究用
-
-
-
状态
- Liquid
-
缓冲液
- PBS, pH 7.4, 0.02 % sodium azide
-
储存液
- Sodium azide
-
注意事项
- This product contains Sodium azide: a POISONOUS AND HAZARDOUS SUBSTANCE which should be handled by trained staff only.
-
储存条件
- -20 °C
-
-
- BIRC3 (Baculoviral IAP Repeat Containing 3 (BIRC3))
-
别名
- cIAP2
-
背景
- Multi-functional protein which regulates not only caspases and apoptosis, but also modulates inflammatory signaling and immunity, mitogenic kinase signaling and cell proliferation, as well as cell invasion and metastasis. Acts as an E3 ubiquitin- protein ligase regulating NF-kappa-B signaling and regulates both canonical and non-canonical NF-kappa-B signaling by acting in opposite directions: acts as a positive regulator of the canonical pathway and suppresses constitutive activation of non-canonical NF-kappa-B signaling. Protects cells from spontaneous formation of the ripoptosome, a large multi-protein complex that has the capability to kill cancer cells in a caspase dependent and caspase independent manner.
-
分子量
- 67 kDa
-
基因ID
- 11796
-
NCBI登录号
- NP_031490
-
UniProt
- O08863
-
途径
- Apoptosis, Caspase Cascade in Apoptosis, Activation of Innate immune Response, Toll-Like Receptors Cascades
抗原
-