PPARG 抗体 (pSer112)
Our Local Distributor
北京 101111
Quick Overview for PPARG 抗体 (pSer112) (ABIN703405)
抗原
See all PPARG 抗体适用
宿主
克隆类型
标记
应用范围
-
-
抗原表位
- pSer112
-
交叉反应
- 犬, 人, 小鼠, 大鼠
-
预测反应
- Pig,Rabbit,Guinea Pig
-
纯化方法
- Purified by Protein A.
-
免疫原
- KLH conjugated synthetic phosphopeptide derived from human PPAR Gamma around the phosphorylation site of ser112
-
亚型
- IgG
-
-
-
-
应用备注
-
WB 1:300-5000
ELISA 1:500-1000
FCM 1:20-100
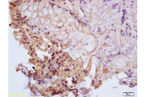
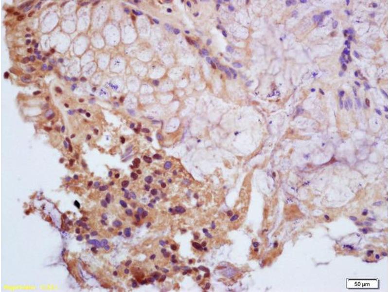
IHC-P 1:200-400
IHC-F 1:100-500
IF(IHC-P) 1:50-200
IF(IHC-F) 1:50-200
IF(ICC) 1:50-200 -
限制
- 仅限研究用
-
-
-
状态
- Liquid
-
浓度
- 1 μg/μL
-
缓冲液
- 0.01M TBS( pH 7.4) with 1 % BSA, 0.02 % Proclin300 and 50 % Glycerol.
-
储存液
- ProClin
-
注意事项
- This product contains ProClin: a POISONOUS AND HAZARDOUS SUBSTANCE, which should be handled by trained staff only.
-
储存条件
- 4 °C,-20 °C
-
储存方法
- Shipped at 4°C. Store at -20°C for one year. Avoid repeated freeze/thaw cycles.
-
有效期
- 12 months
-
-
-
: "Upregulation of transient receptor potential melastatin 6 channel expression by rosiglitazone and all-trans-retinoic acid in erlotinib-treated renal tubular epithelial cells." in: Journal of cellular physiology, Vol. 234, Issue 6, pp. 8951-8962, (2019) (PubMed).
: "Features of an altered AMPK metabolic pathway in Gilbert's Syndrome, and its role in metabolic health." in: Scientific reports, Vol. 6, pp. 30051, (2016) (PubMed).
-
-
- PPARG (Peroxisome Proliferator-Activated Receptor gamma (PPARG))
-
别名
- PPAR Gamma
-
背景
-
Synonyms: GLM1, CIMT1, NR1C3, PPARG1, PPARG2, PPARgamma, Peroxisome proliferator-activated receptor gamma, PPAR-gamma, Nuclear receptor subfamily 1 group C member 3, PPARG
Background: Nuclear receptor that binds peroxisome proliferators such as hypolipidemic drugs and fatty acids. Once activated by a ligand, the nuclear receptor binds to DNA specific PPAR response elements (PPRE) and modulates the transcription of its target genes, such as acyl-CoA oxidase. It therefore controls the peroxisomal beta-oxidation pathway of fatty acids. Key regulator of adipocyte differentiation and glucose homeostasis. ARF6 acts as a key regulator of the tissue-specific adipocyte P2 (aP2) enhancer. Acts as a critical regulator of gut homeostasis by suppressing NF-kappa-B-mediated proinflammatory responses.
-
基因ID
- 5468
-
UniProt
- P37231
-
途径
- MAPK Pathway, Nuclear Receptor Transcription Pathway, Steroid Hormone Mediated Signaling Pathway, Negative Regulation of Hormone Secretion, Carbohydrate Homeostasis, Regulation of Lipid Metabolism by PPARalpha, Positive Regulation of Endopeptidase Activity, Brown Fat Cell Differentiation, Positive Regulation of fat Cell Differentiation
抗原
-