PPARG 抗体 (AA 1-16)
Our Local Distributor
北京 101111
Quick Overview for PPARG 抗体 (AA 1-16) (ABIN351540)
抗原
See all PPARG 抗体适用
宿主
克隆类型
标记
应用范围
-
-
抗原表位
- AA 1-16
-
特异性
- Recognizes mouse PPARg2. Does not cross-react with PPARa or PPARd.
-
预测反应
- Percent identity by BLAST analysis: Human, Gibbon, Monkey, Marmoset (100%) Gorilla, Cat, Bat, Dog (94%) Pig (88%) Elephant (81%).
-
纯化方法
- Immunoaffinity purified
-
免疫原
-
Synthetic peptide corresponding to aa1-16 (MGETLGDSPIDPESDS) of human PPARg2 (peroxisome proliferator activated receptor g2). Percent identity by BLAST analysis: Human, Gibbon, Monkey, Marmoset (100%), Gorilla, Cat, Bat, Dog (94%), Pig (88%), Elephant (81%).
Type of Immunogen: Synthetic peptide -
亚型
- IgG
-
-
-
-
应用备注
-
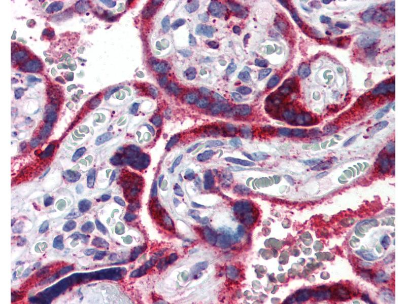
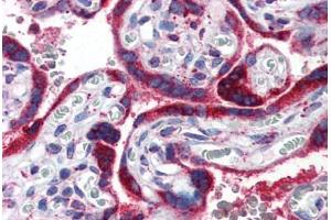
Approved: GS, ICC (1:500), IHC, IHC-P (2.5 - 5 μg/mL), WB (1:500)
Usage: Immunohistochemistry: This antibody was validated for use in immunohistochemistry on a panel of 21 formalin-fixed, paraffin-embedded (FFPE) human tissues after heat induced antigen retrieval in pH 6.0 citrate buffer. After incubation with the primary antibody, slides were incubated with biotinylated secondary antibody, followed by alkaline phosphatase-streptavidin and chromogen. The stained slides were evaluated by a pathologist to confirm staining specificity. The optimal working concentration for this antibody was determined to be 2.5-5 μg/mL. Western Blot: 1:500. Detects a band of ~56kD. -
说明
-
Target Species of Antibody: Human
-
限制
- 仅限研究用
-
-
-
状态
- Liquid
-
浓度
- Lot specific
-
缓冲液
- PBS, 1 mg/mL BSA, 0.05 % sodium azide.
-
储存液
- Sodium azide
-
注意事项
- This product contains Sodium azide: a POISONOUS AND HAZARDOUS SUBSTANCE which should be handled by trained staff only.
-
注意事项
- Avoid repeated freezing and thawing.
-
储存条件
- 4 °C,-20 °C
-
储存方法
- 4°C or -20°C, Avoid freeze-thaw cycles.
-
-
- PPARG (Peroxisome Proliferator-Activated Receptor gamma (PPARG))
-
别名
- PPARG / PPAR Gamma
-
背景
-
Name/Gene ID: PPARG
Subfamily: NR1 Thyroid hormone-like
Family: NHR
Synonyms: PPARG, NR1C3, PPAR gamma, PPAR gamma 2, PPARG1, PPARG2, PPARgamma, CIMT1, GLM1, PPAR-gamma -
基因ID
- 5468
-
UniProt
- P37231
-
途径
- MAPK Pathway, Nuclear Receptor Transcription Pathway, Steroid Hormone Mediated Signaling Pathway, Negative Regulation of Hormone Secretion, Carbohydrate Homeostasis, Regulation of Lipid Metabolism by PPARalpha, Positive Regulation of Endopeptidase Activity, Brown Fat Cell Differentiation, Positive Regulation of fat Cell Differentiation
抗原
-