CREB1 抗体 (pSer133)
Our Local Distributor
北京 101111
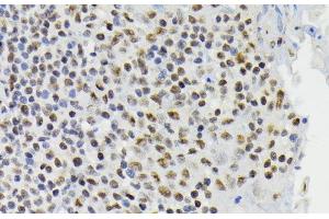
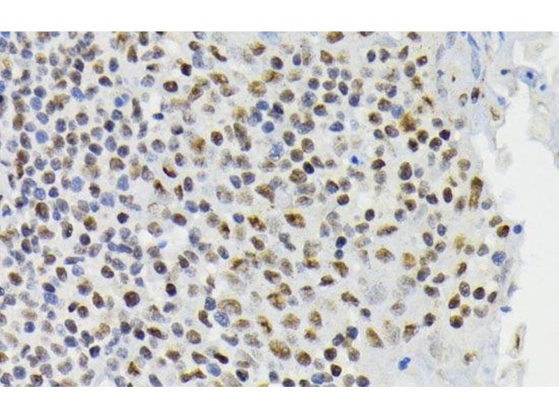
Quick Overview for CREB1 抗体 (pSer133) (ABIN7265170)
抗原
See all CREB1 抗体适用
宿主
克隆类型
标记
应用范围
-
-
抗原表位
- pSer133
-
产品特性
- Phosphorylated antibody
-
纯化方法
- Affinity purification
-
免疫原
- A phospho specific peptide corresponding to residues surrounding S133 of human CREB1
-
亚型
- IgG
-
-
-
-
应用备注
- WB 1:500-1:1000 IHC 1:50-1:100
-
限制
- 仅限研究用
-
-
-
状态
- Liquid
-
浓度
- 1 mg/mL
-
缓冲液
- PBS with 0.02 % sodium azide, 50 % glycerol, pH 7.3
-
储存液
- Sodium azide
-
注意事项
- This product contains Sodium azide: a POISONOUS AND HAZARDOUS SUBSTANCE which should be handled by trained staff only.
-
储存条件
- -20 °C
-
储存方法
- Store at -20°C. Avoid freeze / thaw cycles.
-
-
- CREB1 (cAMP Responsive Element Binding Protein 1 (CREB1))
-
别名
- CREB1
-
背景
- This gene encodes a transcription factor that is a member of the leucine zipper family of DNA binding proteins. This protein binds as a homodimer to the cAMP-responsive element, an octameric palindrome. The protein is phosphorylated by several protein kinases, and induces transcription of genes in response to hormonal stimulation of the cAMP pathway. Alternate splicing of this gene results in several transcript variants encoding different isoforms.
-
分子量
-
Observed_MW: 43 kDa
Calculated_MW: 25 kDa/35 kDa/36 kDa
-
基因ID
- 1385
-
UniProt
- P16220
-
途径
- TLR signaling, Fc-epsilon Receptor Signaling Pathway, EGFR Signaling Pathway, Neurotrophin Signaling Pathway, Thyroid Hormone Synthesis, Activation of Innate immune Response, Myometrial Relaxation and Contraction, Regulation of Cell Size, Toll-Like Receptors Cascades, G-protein mediated Events, Interaction of EGFR with phospholipase C-gamma, Positive Regulation of fat Cell Differentiation
抗原
-