PHIP 抗体
Our Local Distributor
北京 101111
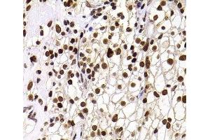
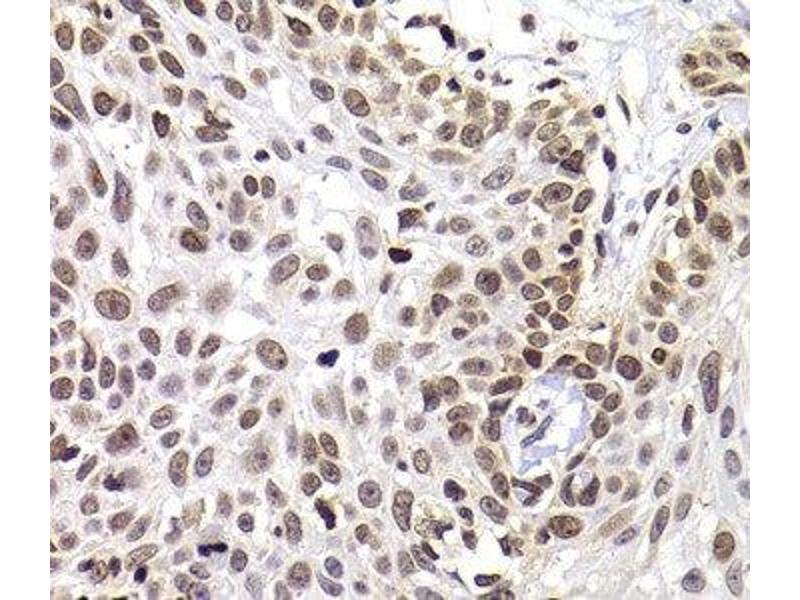
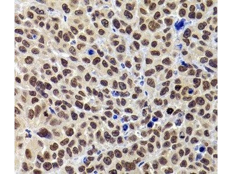
Quick Overview for PHIP 抗体 (ABIN7263187)
抗原
See all PHIP 抗体适用
宿主
克隆类型
标记
应用范围
-
-
产品特性
- Polyclonal Antibody
-
纯化方法
- Affinity purification
-
免疫原
- Recombinant fusion protein of human PHIP (NP_060404.3).
-
亚型
- IgG
-
-
-
-
应用备注
- IHC 1:50-1:200 IF 1:50-1:100
-
限制
- 仅限研究用
-
-
-
状态
- Liquid
-
浓度
- 1 mg/mL
-
缓冲液
- PBS with 0.02 % sodium azide, 50 % glycerol, pH 7.3
-
储存液
- Sodium azide
-
注意事项
- This product contains Sodium azide: a POISONOUS AND HAZARDOUS SUBSTANCE which should be handled by trained staff only.
-
储存条件
- -20 °C
-
储存方法
- Store at -20°C. Avoid freeze / thaw cycles.
-
-
- PHIP (Pleckstrin Homology Domain Interacting Protein (PHIP))
-
别名
- PHIP
-
背景
- This gene encodes a protein that binds to the insulin receptor substrate 1 protein and regulates glucose transporter translocation in skeletal muscle cells. The encoded protein may also regulate growth and survival of pancreatic beta cells. Elevated copy number of this gene may be associated with melanoma severity and the encoded protein may promote melanoma metastasis in human patients.
-
基因ID
- 55023
-
UniProt
- Q8WWQ0
-
途径
- Protein targeting to Nucleus
抗原
-